Pichia pastoris expression system introduction
The expression system of Pichia pastoris is a rapidly developed and widely used eukaryotic expression system. It is a methanol nutrition yeast and have two Alcohol oxidase (AOX) coding genes AOX1 and AOX2. The two sequences are similar to each other, but the AOX1 gene is strictly regulated by methanol induction and regulation. When methanol is the only carbon source, the AOX1 promoter can be induced by methanol and initiate the expression of ethanol oxidase, which can be metabolized by methanol. The plasmid containing the AOX1 promoter can be used to promote the expression of the target gene which encoding foreign protein.
Characteristics of expression strain
GS115: Both AOX1 and AOX2 gene could express AOX protein (Alcohol Oxidase), high methanol utilization, close to the wild type, belong to methanol rapid use type (Mut+).
KM71: Most AOX1 gene was knocked out, only AOX2 coding the AOX protein, the rate of using methanol is slow, belong to methanol slow use type (Muts).
different integration of the exogenous gene will cause different phenotypes of expression strains:
|
Restriction enzyme |
Insertion site
|
GS115 phenotype |
KM71 phenotype |
|
Sa1I/Stul |
HIS4 |
HIS+Mut+ |
HIS+MutS |
|
Sacl |
5’AOX1 |
HIS+Mut+ |
HIS+MutS |
|
Bg1II |
Replace AOX1 |
HIS+MutS |
HIS+MutS |
Common expression vectors and Tags
|
Expression type |
Vector |
Tag |
Promoter |
|
Intracellular expression |
pAO815 |
HIS4 |
AOX1 |
|
pPIC3K |
HIS4 |
AOX1 |
|
|
pPUC3.5K |
HIS4 |
AOX1 |
|
|
Secretory expression |
pPICZα,A,B,C |
Bler |
AOX1 |
|
pPIC9K |
HIS4 |
AOX1 |
Signal peptide
For extracellular expression proteins, besides the signal peptide carried by the vectors, there are following signal peptides to select:
Signal peptides sequence
|
Signal peptides |
Protein sequence |
|
αMP* |
MRFPS IFTAV LFAAS SALAA PVNTT TEDET AQIPA EAVIG YSDLE GDFDV AVLPF SNSTN NGLLF INTTI ASIAA KEEGV SLEKR EAEA |
|
Dse4 |
MSFSS NVPQL FLLLV LLTNI VSG |
|
Exgl |
MNLYL ITLLF ASLCS A |
|
Scw11 |
MLSTI LNIFI LLLFI QASLQ |
|
Salb |
MKWVT FISLL FLFSS AYS |
The advantages of Pichia pastoris expression system
1. Contain aspecific powerful AOX(Alcohol oxidase gene) Promoter, the expression of the exogenous gene could be strictly regulated by methanol.
2. Low cost of culture, and easily separated products. The cost of the Pichia pastoris fermentation medium is reasonable, the general carbon source is glycerol, glucose or methanol, the rest is an inorganic salt, there is no protein in the medium, beneficial to the separation and purification of the downstream products.
3. The genetic stability of the extraneous protein gene. Exogenous genes can be integrated into the genome of Pichia pastoris with high copies, the gene is hard to lose and be able to get high expression strains.
4. As a eukaryotic expression system, Pichia pastoris has all the subcellular structures of eukaryotes, could do post-translational modifications, such as glycosylation, fatty acylation, protein phosphorylation, etc.
Advantages of yeast expression system service in Leading Biology
1. Having a complete Pichia pastoris expression platform could design different experimental schemes according to customers requirements.
2. Having a high throughput screening platform could find the best expression conditions quickly and effectively;
3. Could do large-scale fermentation production.
Service Package
Service
Items
Time(weeks)
Protein
analysis and Codon optimization
Before
project starts
Gene
synthesis
2-4
Subclone
1
Gene
expression and purification
2
Fermentation
and purification
1-2
Total
6-9
Classic case
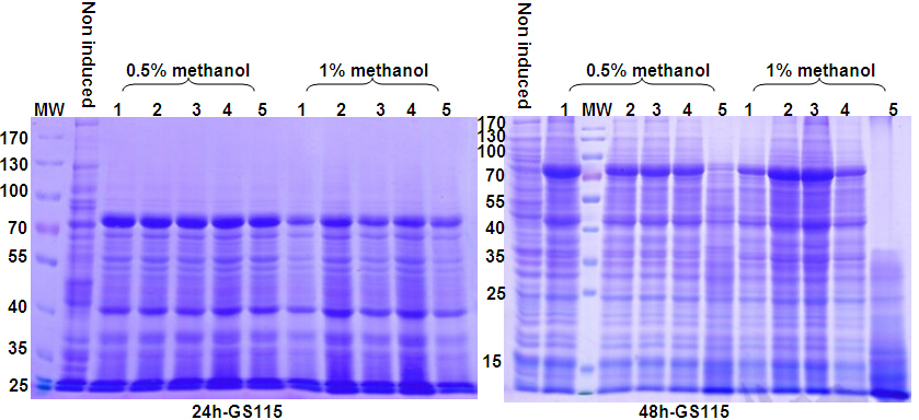
Expression vector: pPIC3.5K (intracellular expression), target protein 32.49 kD (theoretical value)
Expression strain: GS115/KM71
Induction condition: Methanol concentration: 0.5%/1%, induction time 24h/48h/72h
Result analysis: From SDS-PAGE result, the expressions of target protein (40KDa after glycosylation) were observed, GS115-5#-24h, 0.5% methanol, GS115-2#-48h, 1% methanol, GS115-3#-48h, 1% methanol, KM71-1#-72h,1% methanol, each group could show significant band, indicate the target protein is successfully expressed.


Related Services
Protein Expression in Bacteria
Unique Protein Production Service
Protein Expression in Cell-Free System
Rich in Disulfide Bond Protein Expression
Protein Expression in Mammalian Cells
Protein Expression in Baculovirus
Protein Expression in Bacillus subtilis
Why Leading Biology?
At Leading Biology, we custom protein purification design for every single protein to ensure the production and recovery rate as high as possible.
Working with us, you will get stability, and it means a reliable partner to help streamline your R&D process.
Working with us, you will get the guaranteed service to accommodate your requirements.
- Innovative configurations of chromatography columns custom tailored to each protein
- Vigorous quality control system to ensure the required quality and reproducibility
- Production capacity of up to tens of grams
- Flexible scale-up protein production
- Competitive price with fast turnaround time
Contact Information
Please obtain a quote before ordering, and refer to the quote number when you place an order.
Orders are typically confirmed within 12 hours.
Have a Question? Email us info@leadingbiology.com
Order Products: Order Related Products
By Phone: 1-661-524(LBI)-0262 (USA)
| No | Headline | Click | Author | Date |
| 1 | Ubiquitination | 1592 | Leading Biology | 2020-06-24 |
| 2 | Acetylation | 1136 | Leading Biology | 2020-06-23 |
| 3 | Single Molecule Protein Detection | 1398 | Leading Biology | 2020-06-22 |
| 4 | Phosphorylation | 1397 | Leading Biology | 2020-06-22 |
| 5 | Methylation | 1582 | Leading Biology | 2020-06-22 |
| 6 | Protein Detection and Immunoassay | 1546 | Leading Biology | 2020-06-17 |