> Antigen, Antibodies, ELISA, Western Blot > Primary Antibody > Polyclonal Antibodies > proGDNF AntibodyBrand |
Leading Biology | Catalog Number |
APR12954G |
Product Type |
Polyclonal Antibodies | Field of Research |
|
Product Overview |
We constantly strive to ensure we provide our customers with the best antibodies. As a result of this work we offer this antibody in purified format.
We are in the process of updating our datasheets. If you have any questions regarding this update, please feel free to contact our technical support team.
This product is a high quality proGDNF antibody.
|
||
Molecular Weight |
23720 Da
|
||
Host |
Rabbit
|
||
Species Reactivity |
Human, Mouse, Rat
|
||
Target |
Peptide (C)PEDYPDQFDDVMD, corresponding to amino acid residues 54-66 of human GDNF (precursor) (Accession P39905). Pro-domain of the GDNF protein.The antibody is specific for the pro-domain region of GDNF and will not react with mature GDNF.
|
||
GeneID |
|||
UniProt ID |
|||
Summary |
Glial-Derived Neurotrophic Factor (GDNF) is a member of the TGF-β superfamily. GDNF signals through a multi-component receptor system, composed of a RET protooncogene and one of the four α1-α4 receptors1.GDNF promotes survival of various neuronal cells, including motoneurons2,3, Purkinje cells and sympathetic neurons4. In embryonic midbrain cultures, GDNF promotes the survival and morphological differentiation of dopaminergic neurons and increases their high-affinity dopamine uptake5. Cells that express GDNF include Sertoli cells, type 1 astrocytes, Schwann cells6, neurons, pinealocytes, and skeletal muscle cells7.In vivo, following transection of facial motor neuron axons, locally applied GDNF has been shown to rescue virtually all damaged neurons from death8. GDNF may be of clinical relevance in the treatment of Parkinson's disease that is characterized by progressive degeneration of midbrain dopaminergic neurons9,10.Recently, it has been hypothesized that functional, carboxy-terminally amidated peptides are processed from the GDNF precursor upon proteolytic cleavage by furin-like endopeptidase11,12,13. Those different peptides (a 5-mer and 11-mer) have not been isolated endogenously to date. However, the rat 11-mer sequence (named brain excitatory peptide, BEP) significantly induced synaptic excitability and possessed some dopaminergic activities in vitro (thus named dopamine neuron stimulating peptides, DNSP)13. Furthermore, the human 11-mer sequence (named DNSP-11) exhibits neurotrophic-like properties13.Thus, the role of the full proDomain of GDNF, which is a product of proteolytic cleavage of proGDNF, is not clearly understood yet.Abgent is pleased to offer a highly specific antibody directed against the prodomain of human GDNF. Anti-proGDNF antibody (#AG1167) can be used in Western blot analysis. It has been designed to recognize proGDNF from human, mouse and rat samples.
|
||
Form |
Affinity purified antibody, Liquid |
||
Storage & Stability |
Store at +4°C short term. For long-term storage, aliquot and store at -20°C or below. Stable for 12 months at -20°C. Avoid repeated freeze-thaw cycles.
|
||
Applications |
WB
|
||
Dilution |
WB~~1:200-1:2000
|
||
Synonyms |
Glial cell line-derived neurotrophic factor, hGDNF, Astrocyte-derived trophic factor, ATF, GDNF
|
||
Images |
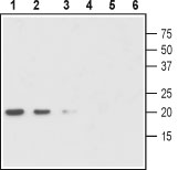
Western blot analysis of human GDNF pro-domain fusion protein at 40 ng (lanes 1 and 4), 30 ng (lanes 2 and 5) and 20ng (lanes 3 and 6): 1-3. Anti-proGDNF antibody ( APR12954G), (1:200). 4-6. Anti-proGDNF antibody, preincubated with the control peptide antigen. Note that the expected MW of the GDNF pro-domain fusion protein is 21kD |
||
Specification |
|||
Quantity |
|
||
| Select | Brand | Catalog No. | Product Name | Pack Size | Type | Field of Research | Specification | Quantity | Price(USD) | |
| 1 | Leading Biology | APR03440G | ITGA11 Antibody (N-term) | 100 μl | Polyclonal Antibodies |
|
$495.00 | Add Ask | ||
| 2 | Leading Biology | APR04537G | CMIP Antibody (C-term) | 100 μl | Polyclonal Antibodies |
|
$495.00 | Add Ask | ||
| 3 | Leading Biology | APR12422G | Human H4 Histamine Receptor (extracellular) Antibody | 50 μl | Polyclonal Antibodies |
|
$695.00 | Add Ask | ||
| 4 | Leading Biology | APR03844G | UBE2W Antibody (C-term) | 100 μl | Polyclonal Antibodies |
|
$495.00 | Add Ask | ||
| 5 | Leading Biology | APR04349G | HECTD2 Antibody (N-term) | 100 μl | Polyclonal Antibodies |
|
$495.00 | Add Ask | ||
| 6 | Leading Biology | APR03502G | IGHG1 Antibody (Center) | 100 μl | Polyclonal Antibodies |
|
$495.00 | Add Ask |
Leading Biology Inc.
2600 Hilltop DR, Building G, B Suite C138
Richmond, CA, 94806
Tel: 1-661-524(LBI)-0262
Email: info@leadingbiology.com
Complete this form and click send to ask us a question, request a quote or simply say hello.

You have 0 item in your cart

You have 0 item in your inquiry list