> Antigen, Antibodies, ELISA, Western Blot > Primary Antibody > Polyclonal Antibodies > NaV1.3 AntibodyBrand |
Leading Biology | Catalog Number |
AMM06563G |
Product Type |
Polyclonal Antibodies | Field of Research |
|
Product Overview |
We constantly strive to ensure we provide our customers with the best antibodies. As a result of this work we offer this antibody in purified format.
We are in the process of updating our datasheets. If you have any questions regarding this update, please feel free to contact our technical support team.
This product is a high quality NaV1.3 antibody.
|
||
Molecular Weight |
221387 Da
|
||
Host |
Rabbit
|
||
Species Reactivity |
Human, Mouse, Rat
|
||
Target |
Peptide (C)HLEGNHRADGDRFP, corresponding to amino acid residues 511-524 rat Nav1.3 (Accession P08104).????Intracellular, loop between domains I and II.
|
||
GeneID |
|||
UniProt ID |
|||
Summary |
Voltage-gated sodium channels (Nav) are essential for the generation of actionpotentials and for cell excitability.1 Nav channels are activated in response to depolarization and selectively allow flow of Na+ ions. To date, nine Nav α subunits have been cloned and named Nav1.1-Nav1.9.4-5 The Nav channels are classified into two groups according to their sensitivity to Tetrodotoxin (TTX): TTX-sensitive (Nav1.1, Nav1.2, Nav1.3, Nav1.4, Nav1.6 and Nav1.7) and TTX-resistant (Nav1.5, Nav1.8 and Nav1.9).2-3 Mammalian sodium channels are heterotrimers, composed of a central, pore-forming α subunit and two auxiliary β subunits. The expression of the α subunit isoform is developmentally regulated and tissue specific. Sodium channels in the adult central nervous system and heart contain β1 through β4 subunits, whereas sodium channels in adult skeletal muscle have only the β1 subunit.6,7Nav1.3 is highly expressed in embryonic sensory neurons and CNS,butits level dramatically decreasesin adult rodents.8 Up-regulation of Nav1.3 channel expression was described in injured neurons and injured spinal cord.9-11
|
||
Form |
Affinity purified antibody, Liquid |
||
Storage & Stability |
Store at +4°C short term. For long-term storage, aliquot and store at -20°C or below. Stable for 12 months at -20°C. Avoid repeated freeze-thaw cycles.
|
||
Applications |
WB, IP
|
||
Dilution |
WB~~1:200-1:2000
IHC~~1:100
ICC~~1:200
|
||
Synonyms |
Sodium channel protein type 3 subunit alpha, Sodium channel protein brain III subunit alpha, Sodium channel protein type III subunit alpha, Voltage-gated sodium channel subtype III, Voltage-gated sodium channel subunit alpha Nav13, Scn3a
|
||
Images |
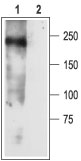
Western blot analysis of rat newborn brain membranes: 1. Anti-Na 1.3 antibody ( AMM06563G), (1:200). 2. Anti-Na 1.3 antibody, preincubated with the control peptide antigen.
Expression of Na 1.3 in rat embryo DRG Immunohistochemical staining of rat embryo dorsal root ganglion (DRG) frozen sections using Anti-Na 1.3 antibody ( AMM06563G), (1:100). Na 1.3 is expressed in DRG embryonic cells (arrows). Calibration bar = 50 m.
Expression of Na 1.3 in rat DRG primary cells Immunocytochemical staining of paraformaldehyde-fixed and permeabilized rat dorsal root ganglia (DRG) primary culture. A. DRG cells were stained using Anti-Na 1.3 antibody ( AMM06563G), (1:200) followed by goat anti-rabbit-AlexaFluor-555 secondary antibody. B. Nuclear staining of cells using the cell-permeable dye Hoechst 33342. C. Merged image of panels A and B. |
||
Specification |
|||
Quantity |
|
||
| Select | Brand | Catalog No. | Product Name | Pack Size | Type | Field of Research | Specification | Quantity | Price(USD) | |
| 1 | Leading Biology | APR03440G | ITGA11 Antibody (N-term) | 100 μl | Polyclonal Antibodies |
|
$495.00 | Add Ask | ||
| 2 | Leading Biology | APR04537G | CMIP Antibody (C-term) | 100 μl | Polyclonal Antibodies |
|
$495.00 | Add Ask | ||
| 3 | Leading Biology | APR12422G | Human H4 Histamine Receptor (extracellular) Antibody | 50 μl | Polyclonal Antibodies |
|
$695.00 | Add Ask | ||
| 4 | Leading Biology | APR03844G | UBE2W Antibody (C-term) | 100 μl | Polyclonal Antibodies |
|
$495.00 | Add Ask | ||
| 5 | Leading Biology | APR04349G | HECTD2 Antibody (N-term) | 100 μl | Polyclonal Antibodies |
|
$495.00 | Add Ask | ||
| 6 | Leading Biology | APR03502G | IGHG1 Antibody (Center) | 100 μl | Polyclonal Antibodies |
|
$495.00 | Add Ask |
Leading Biology Inc.
2600 Hilltop DR, Building G, B Suite C138
Richmond, CA, 94806
Tel: 1-661-524(LBI)-0262
Email: info@leadingbiology.com
Complete this form and click send to ask us a question, request a quote or simply say hello.

You have 0 item in your cart

You have 0 item in your inquiry list