> Antigen, Antibodies, ELISA, Western Blot > Primary Antibody > Polyclonal Antibodies > Human NaV1.5 AntibodyBrand |
Leading Biology | Catalog Number |
APR12424G |
Product Type |
Polyclonal Antibodies | Field of Research |
|
Product Overview |
We constantly strive to ensure we provide our customers with the best antibodies. As a result of this work we offer this antibody in purified format.
We are in the process of updating our datasheets. If you have any questions regarding this update, please feel free to contact our technical support team.
This product is a high quality Human NaV1.5 antibody.
|
||
Molecular Weight |
226940 Da
|
||
Host |
Rabbit
|
||
Species Reactivity |
Human, Rat
|
||
Target |
GST??fusion protein with amino acid residues 1978-2016 of human Nav1.5 (Accession# Q14524), (MW: 33 kDa.). Intracellular, C-terminus.
|
||
GeneID |
|||
UniProt ID |
|||
Summary |
Voltage-gated Na+ channels (Nav) are responsible for myocardial conduction andmaintenance of the cardiac rhythm and are essential for the generation of actionpotentials and cell excitability.1Dysfunction or disregulation of cardiac sodium channels can cause several disorders,including cardiac arrhythmias. The majority of Na+ channels in the mammalian heart are Tetrodotoxin (TTX) insensitive Nav1.5.2The putative structure of NaV1.5 consists of four homologous domain (I-IV),each containing six transmembrane segments (S1-S6).Mutations in the C-terminus of NaV1.5 were described in connection to Long QTsyndrome and Brugada syndrome.1-2Recent data have demonstrated selective expression of NaV1.5 in the mouse centralnervous system and implicated a role for NaV1.5 in the physiology of the centralnervous system.1
|
||
Form |
Affinity purified antibody, Liquid |
||
Storage & Stability |
Store at +4°C short term. For long-term storage, aliquot and store at -20°C or below. Stable for 12 months at -20°C. Avoid repeated freeze-thaw cycles.
|
||
Applications |
WB
|
||
Dilution |
WB~~1:200-1:2000
IHC~~1:100
|
||
Synonyms |
Sodium channel protein type 5 subunit alpha, HH1, Sodium channel protein cardiac muscle subunit alpha, Sodium channel protein type V subunit alpha, Voltage-gated sodium channel subunit alpha Nav15, SCN5A
|
||
Images |
Western blot analysis of Na 1.5 in human-Na 1.5 transfected HEK-293 cells: 1. Anti-Human-Na 1.5 antibody ( APR12424G), (1:200). 2. Anti-Human-Na 1.5 antibody, preincubated with the control peptide antigen
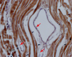
Expression of Na 1.5 in rat cardiac muscle Immunohistochemical staining of Na 1.5 in rat myocardium paraffin-embedded section using Anti-Human Na 1.5 antibody ( APR12424G), (1:100). Staining is specific for cardiomyocytes while smooth muscles cells in the artery walls are negative (red arrows). Hematoxilin is used as the counterstain. |
||
Specification |
|||
Quantity |
|
||
| Select | Brand | Catalog No. | Product Name | Pack Size | Type | Field of Research | Specification | Quantity | Price(USD) | |
| 1 | Leading Biology | APR03440G | ITGA11 Antibody (N-term) | 100 μl | Polyclonal Antibodies |
|
$495.00 | Add Ask | ||
| 2 | Leading Biology | APR04537G | CMIP Antibody (C-term) | 100 μl | Polyclonal Antibodies |
|
$495.00 | Add Ask | ||
| 3 | Leading Biology | APR12422G | Human H4 Histamine Receptor (extracellular) Antibody | 50 μl | Polyclonal Antibodies |
|
$695.00 | Add Ask | ||
| 4 | Leading Biology | APR03844G | UBE2W Antibody (C-term) | 100 μl | Polyclonal Antibodies |
|
$495.00 | Add Ask | ||
| 5 | Leading Biology | APR04349G | HECTD2 Antibody (N-term) | 100 μl | Polyclonal Antibodies |
|
$495.00 | Add Ask | ||
| 6 | Leading Biology | APR03502G | IGHG1 Antibody (Center) | 100 μl | Polyclonal Antibodies |
|
$495.00 | Add Ask |
Leading Biology Inc.
2600 Hilltop DR, Building G, B Suite C138
Richmond, CA, 94806
Tel: 1-661-524(LBI)-0262
Email: info@leadingbiology.com
Complete this form and click send to ask us a question, request a quote or simply say hello.

You have 0 item in your cart

You have 0 item in your inquiry list