> Antigen, Antibodies, ELISA, Western Blot > Primary Antibody > Polyclonal Antibodies > PCDH12 AntibodyBrand |
Leading Biology | Catalog Number |
APR12752G |
Product Type |
Polyclonal Antibodies | Field of Research |
|
Product Overview |
We constantly strive to ensure we provide our customers with the best antibodies. As a result of this work we offer this antibody in purified format.
We are in the process of updating our datasheets. If you have any questions regarding this update, please feel free to contact our technical support team.
This product is a high quality PCDH12 antibody.
|
||
Molecular Weight |
128995 Da
|
||
Cellular Localization |
Antigen Cellular Localization:
Cell membrane; Single-pass type I membrane protein. Cell junction
|
||
Host |
Rabbit
|
||
Species Reactivity |
Human, Mouse, Rat
|
||
Target |
PCDH12; This antibody is predicted to not cross-react with PCDH18.
|
||
Isotype |
IgG
|
||
GeneID |
|||
UniProt ID |
|||
Function |
Cellular adhesion molecule that may play an important role in cell-cell interactions at interendothelial junctions. Promotes homotypic calcium-dependent aggregation and adhesion and clusters at intercellular junctions. Unable to bind to catenins, weakly associates with the cytoskeleton (By similarity).
|
||
Summary |
PCDH12 Antibody: Protocadherins comprise the largest group within the cadherin family of calcium-dependent cell-cell adhesion molecules. Protocadherin 12 (PCDH12) was initially identified through PCR screening of mouse heart microvascular endothelial cell RNA; further experiments revealed its mRNA to be strongly expressed in highly vascularized organs such as lung and kidney, in addition to glycogen-rich trophoblasts in the placenta. PCDH12-null mice are viable and fertile, but show reduced placental and embryonic sizes when compared to wild-type mice. Further studies showed significant expression changes in 2, 289 genes, including those involved in tissue morphogenesis, angiogenesis, cell-matrix adhesion and migration, immune response and chromatin remodeling.
|
||
Form |
Liquid |
||
Storage & Stability |
Store at +4°C short term. For long-term storage, aliquot and store at -20°C or below. Stable for 12 months at -20°C. Avoid repeated freeze-thaw cycles.
|
||
Applications |
WB, IHC-P, E
|
||
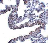
Images |
Western blot analysis of PCDH12 in K562 cell lysate with PCDH12 antibody at 2 μg/mL.
Immunohistochemistry of PCDH12 in rat lung tissue with PCDH12 antibody at 5 μg/mL. |
||
Specification |
|||
Quantity |
|
||
| Select | Brand | Catalog No. | Product Name | Pack Size | Type | Field of Research | Specification | Quantity | Price(USD) | |
| 1 | Leading Biology | APR03440G | ITGA11 Antibody (N-term) | 100 μl | Polyclonal Antibodies |
|
$495.00 | Add Ask | ||
| 2 | Leading Biology | APR04537G | CMIP Antibody (C-term) | 100 μl | Polyclonal Antibodies |
|
$495.00 | Add Ask | ||
| 3 | Leading Biology | APR12422G | Human H4 Histamine Receptor (extracellular) Antibody | 50 μl | Polyclonal Antibodies |
|
$695.00 | Add Ask | ||
| 4 | Leading Biology | APR03844G | UBE2W Antibody (C-term) | 100 μl | Polyclonal Antibodies |
|
$495.00 | Add Ask | ||
| 5 | Leading Biology | APR04349G | HECTD2 Antibody (N-term) | 100 μl | Polyclonal Antibodies |
|
$495.00 | Add Ask | ||
| 6 | Leading Biology | APR03502G | IGHG1 Antibody (Center) | 100 μl | Polyclonal Antibodies |
|
$495.00 | Add Ask |
Leading Biology Inc.
2600 Hilltop DR, Building G, B Suite C138
Richmond, CA, 94806
Tel: 1-661-524(LBI)-0262
Email: info@leadingbiology.com
Complete this form and click send to ask us a question, request a quote or simply say hello.

You have 0 item in your cart

You have 0 item in your inquiry list