> Antigen, Antibodies, ELISA, Western Blot > Primary Antibody > Polyclonal Antibodies > BRSK2 AntibodyBrand |
Leading Biology | Catalog Number |
AMM05641G |
Product Type |
Polyclonal Antibodies | Field of Research |
|
Product Overview |
We constantly strive to ensure we provide our customers with the best antibodies. As a result of this work we offer this antibody in purified format.
We are in the process of updating our datasheets. If you have any questions regarding this update, please feel free to contact our technical support team.
This product is a high quality BRSK2 antibody.
|
||
Molecular Weight |
81633 Da
|
||
Cellular Localization |
Antigen Cellular Localization:
Cytoplasm, cytoskeleton, microtubule organizing center, centrosome. Cytoplasm, perinuclear region Endoplasmic reticulum. Note=Detected at centrosomes during mitosis. Localizes to the endoplasmic reticulum in response to stress caused by tunicamycin
|
||
Host |
Rabbit
|
||
Species Reactivity |
Human, Mouse
|
||
Target |
BRSK2;
|
||
Isotype |
IgG
|
||
Symbol |
C11orf7, PEN11B, SADA, STK29
|
||
GeneID |
|||
UniProt ID |
|||
Function |
Serine/threonine-protein kinase that plays a key role in polarization of neurons and axonogenesis, cell cycle progress and insulin secretion. Phosphorylates CDK16, CDC25C, MAPT/TAU, PAK1 and WEE1. Following phosphorylation and activation by STK11/LKB1, acts as a key regulator of polarization of cortical neurons, probably by mediating phosphorylation of microtubule-associated proteins such as MAPT/TAU at 'Thr-529' and 'Ser-579'. Also regulates neuron polarization by mediating phosphorylation of WEE1 at 'Ser-642' in postmitotic neurons, leading to down-regulate WEE1 activity in polarized neurons. Plays a role in the regulation of the mitotic cell cycle progress and the onset of mitosis. Plays a role in the regulation of insulin secretion in response to elevated glucose levels, probably via phosphorylation of CDK16 and PAK1. While BRSK2 phosphorylated at Thr-174 can inhibit insulin secretion (PubMed:22798068), BRSK2 phosphorylated at Thr-260 can promote insulin secretion (PubMed:22669945). Regulates reorganization of the actin cytoskeleton. May play a role in the apoptotic response triggered by endoplasmatic reticulum (ER) stress.
|
||
Summary |
BRSK2 Antibody: BRSK2 was initially identified through a computer screen of the human genome and shows significant homology to the C. elegans neuronal cell polarity regulator SAD1. BRSK2 is expressed in the brain and to a lesser extent in the testes. BRSK2 is a member of the AMP-activated protein kinase subfamily and can be activated by the tumor suppressor kinase LKB1. More recently, it has been shown that both BRSK2 and the related protein BRSK1 are required for mammalian neuronal polarization. While BRSK1- and BRSK2-null mice were viable, double-mutant mice died within two hours of birth. Neurons from these mice showed uniformly-sized neurites as opposed to the normal long axon and multiple shorter dendrites. These neurites also displayed both axonal and dendritic markers. BRSK2 has also been shown to be an autoantigen in paraneoplastic limbic encephalitis. At least four isoforms of BRSK2 are known to exist.
|
||
Form |
Liquid |
||
Storage & Stability |
Store at +4°C short term. For long-term storage, aliquot and store at -20°C or below. Stable for 12 months at -20°C. Avoid repeated freeze-thaw cycles.
|
||
Applications |
WB, IHC-P, IF, E
|
||
Synonyms |
BRSK2 Antibody: SAD1, SADA, STK29, PEN11B, C11orf7, HUSSY-12, Brain-selective kinase 2, BR serine/threonine kinase 2
|
||
Images |
Western blot analysis of BRSK2 in human brain tissue lysate with BRSK2 antibody at (A) 0.5, (B) 1 and (C) 2 μg/mL.
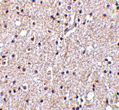
Immunohistochemistry of BRSK2 in human brain tissue with BRSK2 antibody at 5 μg/mL.
Immunofluorescence of BRSK2 in Human Brain cells with BRSK2 antibody at 20 μg/mL. |
||
Specification |
|||
Quantity |
|
||
| Select | Brand | Catalog No. | Product Name | Pack Size | Type | Field of Research | Specification | Quantity | Price(USD) | |
| 1 | Leading Biology | APR03440G | ITGA11 Antibody (N-term) | 100 μl | Polyclonal Antibodies |
|
$495.00 | Add Ask | ||
| 2 | Leading Biology | APR04537G | CMIP Antibody (C-term) | 100 μl | Polyclonal Antibodies |
|
$495.00 | Add Ask | ||
| 3 | Leading Biology | APR12422G | Human H4 Histamine Receptor (extracellular) Antibody | 50 μl | Polyclonal Antibodies |
|
$695.00 | Add Ask | ||
| 4 | Leading Biology | APR03844G | UBE2W Antibody (C-term) | 100 μl | Polyclonal Antibodies |
|
$495.00 | Add Ask | ||
| 5 | Leading Biology | APR04349G | HECTD2 Antibody (N-term) | 100 μl | Polyclonal Antibodies |
|
$495.00 | Add Ask | ||
| 6 | Leading Biology | APR03502G | IGHG1 Antibody (Center) | 100 μl | Polyclonal Antibodies |
|
$495.00 | Add Ask |
Leading Biology Inc.
2600 Hilltop DR, Building G, B Suite C138
Richmond, CA, 94806
Tel: 1-661-524(LBI)-0262
Email: info@leadingbiology.com
Complete this form and click send to ask us a question, request a quote or simply say hello.

You have 0 item in your cart

You have 0 item in your inquiry list