> Antigen, Antibodies, ELISA, Western Blot > Primary Antibody > Polyclonal Antibodies > MAPKAP1 AntibodyBrand |
Leading Biology | Catalog Number |
APR17305G |
Product Type |
Polyclonal Antibodies | Field of Research |
|
Product Overview |
We constantly strive to ensure we provide our customers with the best antibodies. As a result of this work we offer this antibody in purified format.
We are in the process of updating our datasheets. If you have any questions regarding this update, please feel free to contact our technical support team.
This product is a high quality MAPKAP1 antibody.
|
||
Molecular Weight |
59123 Da
|
||
Cellular Localization |
Antigen Cellular Localization:
Cell membrane; Peripheral membrane protein. Cytoplasmic vesicle. Nucleus
|
||
Host |
Rabbit
|
||
Species Reactivity |
Human, Mouse, Rat
|
||
Target |
MAPKAP1;
|
||
Isotype |
IgG
|
||
Symbol |
MIP1, SIN1
|
||
GeneID |
|||
UniProt ID |
|||
Function |
Subunit of mTORC2, which regulates cell growth and survival in response to hormonal signals. mTORC2 is activated by growth factors, but, in contrast to mTORC1, seems to be nutrient- insensitive. mTORC2 seems to function upstream of Rho GTPases to regulate the actin cytoskeleton, probably by activating one or more Rho-type guanine nucleotide exchange factors. mTORC2 promotes the serum-induced formation of stress-fibers or F-actin. mTORC2 plays a critical role in AKT1 'Ser-473' phosphorylation, which may facilitate the phosphorylation of the activation loop of AKT1 on 'Thr-308' by PDK1 which is a prerequisite for full activation. mTORC2 regulates the phosphorylation of SGK1 at 'Ser-422'. mTORC2 also modulates the phosphorylation of PRKCA on 'Ser-657'. Within mTORC2, MAPKAP1 is required for complex formation and mTORC2 kinase activity. MAPKAP1 inhibits MAP3K2 by preventing its dimerization and autophosphorylation. Inhibits HRAS and KRAS signaling. Enhances osmotic stress-induced phosphorylation of ATF2 and ATF2-mediated transcription. Involved in ciliogenesis, regulates cilia length through its interaction with CCDC28B independently of mTORC2 complex.
|
||
Summary |
MAPKAP1 Antibody: MAPKAP1 was initially identified as the human homolog of S. pombe SIN1. Recent evidence has shown that it identical to Mip1, a protein that interacts with MEKK2, a member of the mitogen-activated protein kinase (MAPK) intracellular signaling network. MAPKAP1 is thought to prevent MEKK2 activation and dimerization by forming a complex with the inactive and non-phosphorylated MEKK2, thereby blocking the JNK1/2, ERK1/2, p38 and ERK5 MAPKs. MAPKAP1 has also been shown to play a role in the TOR signaling process, a pathway that is involved in controlling cell growth and proliferation in response to environmental cues such as nutrients, growth factors and hormones. Experiments showed that MAPKAP1 helped to maintain the TOR/rictor assembly but not the TOR/RAPTOR complex, which allowed specific phosphorylation of Akt, a kinase that is believed to couple the growth factor-PI3K signaling pathway to the nutrient-regulated TOR signaling pathway. Multiple alternatively spliced isoforms of MAPKAP1 have been identified.
|
||
Form |
Liquid |
||
Storage & Stability |
Store at +4°C short term. For long-term storage, aliquot and store at -20°C or below. Stable for 12 months at -20°C. Avoid repeated freeze-thaw cycles.
|
||
Applications |
WB, IHC-P, E
|
||
Synonyms |
MAPKAP1 Antibody: MIP1, SIN1, JC310, SIN1b, SIN1g, MIP1, Target of rapamycin complex 2 subunit MAPKAP1, Mitogen-activated protein kinase 2-associated protein 1, TORC2 subunit MAPKAP1, mitogen-activated protein kinase associated protein 1
|
||
Images |
Western blot analysis of MAPKAP1 in human skeletal muscle tissue lysate with MAPKAP1 antibody at (A) 1 and (B) 2 μg/mL.
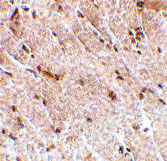
Immunohistochemistry of MAPKAP1 in human skeletal muscle tissue with MAPKAP1 antibody at 5 μg/mL. |
||
Specification |
|||
Quantity |
|
||
| Select | Brand | Catalog No. | Product Name | Pack Size | Type | Field of Research | Specification | Quantity | Price(USD) | |
| 1 | Leading Biology | APR03440G | ITGA11 Antibody (N-term) | 100 μl | Polyclonal Antibodies |
|
$495.00 | Add Ask | ||
| 2 | Leading Biology | APR04537G | CMIP Antibody (C-term) | 100 μl | Polyclonal Antibodies |
|
$495.00 | Add Ask | ||
| 3 | Leading Biology | APR12422G | Human H4 Histamine Receptor (extracellular) Antibody | 50 μl | Polyclonal Antibodies |
|
$695.00 | Add Ask | ||
| 4 | Leading Biology | APR03844G | UBE2W Antibody (C-term) | 100 μl | Polyclonal Antibodies |
|
$495.00 | Add Ask | ||
| 5 | Leading Biology | APR04349G | HECTD2 Antibody (N-term) | 100 μl | Polyclonal Antibodies |
|
$495.00 | Add Ask | ||
| 6 | Leading Biology | APR03502G | IGHG1 Antibody (Center) | 100 μl | Polyclonal Antibodies |
|
$495.00 | Add Ask |
Leading Biology Inc.
2600 Hilltop DR, Building G, B Suite C138
Richmond, CA, 94806
Tel: 1-661-524(LBI)-0262
Email: info@leadingbiology.com
Complete this form and click send to ask us a question, request a quote or simply say hello.

You have 0 item in your cart

You have 0 item in your inquiry list