> Antigen, Antibodies, ELISA, Western Blot > Primary Antibody > Polyclonal Antibodies > NDUFB4 Antibody (N-term)Brand |
Leading Biology | Catalog Number |
APR08668G |
Product Type |
Polyclonal Antibodies | Field of Research |
|
Product Overview |
We constantly strive to ensure we provide our customers with the best antibodies. As a result of this work we offer this antibody in purified format.
We are in the process of updating our datasheets. If you have any questions regarding this update, please feel free to contact our technical support team.
This product is a high quality NDUFB4 antibody (N-term).
|
||
Molecular Weight |
15209 Da
|
||
Cellular Localization |
Antigen Cellular Localization:
Mitochondrion inner membrane; Single-pass membrane protein; Matrix side
|
||
Host |
Rabbit
|
||
Species Reactivity |
Human
|
||
Target |
This NDUFB4 antibody is generated from a rabbit immunized with a KLH conjugated synthetic peptide between 3-36 amino acids from the N-terminal region of human NDUFB4.
|
||
Isotype |
Rabbit Ig
|
||
GeneID |
|||
UniProt ID |
|||
Function |
Accessory subunit of the mitochondrial membrane respiratory chain NADH dehydrogenase (Complex I), that is believed not to be involved in catalysis. Complex I functions in the transfer of electrons from NADH to the respiratory chain. The immediate electron acceptor for the enzyme is believed to be ubiquinone.
|
||
Summary |
Accessory subunit of the mitochondrial membrane respiratory chain NADH dehydrogenase (Complex I), that is believed not to be involved in catalysis. Complex I functions in the transfer of electrons from NADH to the respiratory chain. The immediate electron acceptor for the enzyme is believed to be ubiquinone.
|
||
Form |
Purified polyclonal antibody supplied in PBS with 0.09% (W/V) sodium azide. This antibody is purified through a protein A column, followed by peptide affinity purification. |
||
Storage & Stability |
Store at +4°C short term. For long-term storage, aliquot and store at -20°C or below. Stable for 12 months at -20°C. Avoid repeated freeze-thaw cycles.
|
||
Applications |
WB, FC, IF, IHC-P, E
|
||
Dilution |
IHC-P~~1:25
IF~~1:25
FC~~1:25
WB~~1:1000
|
||
Synonyms |
NADH dehydrogenase [ubiquinone] 1 beta subcomplex subunit 4, Complex I-B15, CI-B15, NADH-ubiquinone oxidoreductase B15 subunit, NDUFB4
|
||
Images |
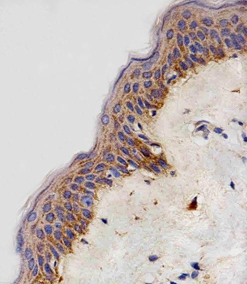
Immunohistochemical analysis of paraffin-embedded H. skin section using NDUFB4 Antibody (N-term)( APR08668G). APR08668G was diluted at 1:100 dilution. A peroxidase-conjugated goat anti-rabbit IgG at 1:400 dilution was used as the secondary antibody, followed by DAB staining.
Fluorescent image of Hela cells stained with NDUFB4 Antibody (N-term)( APR08668G). APR08668G was diluted at 1:25 dilution. An Alexa Fluor 488-conjugated goat anti-rabbit lgG at 1:400 dilution was used as the secondary antibody (green). DAPI was used to stain the cell nuclear (blue). Cytoplasmic actin was counterstained with Alexa Fluor? 555 conjugated with Phalloidin (red).
Flow cytometric analysis of Hela cells using NDUFB4 Antibody (N-term)(green, APR08668G) compared to an isotype control of rabbit IgG(blue). APR08668G was diluted at 1:25 dilution. An Alexa Fluor? 488 goat anti-rabbit lgG at 1:400 dilution was used as the secondary antibody. |
||
Specification |
|||
Quantity |
|
||
| Select | Brand | Catalog No. | Product Name | Pack Size | Type | Field of Research | Specification | Quantity | Price(USD) | |
| 1 | Leading Biology | APR03440G | ITGA11 Antibody (N-term) | 100 μl | Polyclonal Antibodies |
|
$495.00 | Add Ask | ||
| 2 | Leading Biology | APR04537G | CMIP Antibody (C-term) | 100 μl | Polyclonal Antibodies |
|
$495.00 | Add Ask | ||
| 3 | Leading Biology | APR12422G | Human H4 Histamine Receptor (extracellular) Antibody | 50 μl | Polyclonal Antibodies |
|
$695.00 | Add Ask | ||
| 4 | Leading Biology | APR03844G | UBE2W Antibody (C-term) | 100 μl | Polyclonal Antibodies |
|
$495.00 | Add Ask | ||
| 5 | Leading Biology | APR04349G | HECTD2 Antibody (N-term) | 100 μl | Polyclonal Antibodies |
|
$495.00 | Add Ask | ||
| 6 | Leading Biology | APR03502G | IGHG1 Antibody (Center) | 100 μl | Polyclonal Antibodies |
|
$495.00 | Add Ask |
Leading Biology Inc.
2600 Hilltop DR, Building G, B Suite C138
Richmond, CA, 94806
Tel: 1-661-524(LBI)-0262
Email: info@leadingbiology.com
Complete this form and click send to ask us a question, request a quote or simply say hello.

You have 0 item in your cart

You have 0 item in your inquiry list