> Antigen, Antibodies, ELISA, Western Blot > Primary Antibody > Polyclonal Antibodies > CAD Antibody (Center)Brand |
Leading Biology | Catalog Number |
APG02331G |
Product Type |
Polyclonal Antibodies | Field of Research |
|
Product Overview |
We constantly strive to ensure we provide our customers with the best antibodies. As a result of this work we offer this antibody in purified format.
We are in the process of updating our datasheets. If you have any questions regarding this update, please feel free to contact our technical support team.
This product is a high quality CAD antibody (Center).
|
||
Molecular Weight |
242984 Da
|
||
Cellular Localization |
Antigen Cellular Localization:
Cytoplasm. Nucleus. Note=Cytosolic and unphosphorylated in resting cells, translocates to the nucleus in response to EGF stimulation, nuclear import promotes optimal cell growth
|
||
Host |
Rabbit
|
||
Species Reactivity |
Human
|
||
Immunogen |
780-809 aa
|
||
Target |
This CAD antibody is generated from rabbits immunized with a KLH conjugated synthetic peptide between 780-809 amino acids from the Central region of human CAD.
|
||
Isotype |
Rabbit Ig
|
||
GeneID |
|||
UniProt ID |
|||
Function |
This protein is a "fusion" protein encoding four enzymatic activities of the pyrimidine pathway (GATase, CPSase, ATCase and DHOase).
|
||
Summary |
The de novo synthesis of pyrimidine nucleotides isrequired for mammalian cells to proliferate. This gene encodes atrifunctional protein which is associated with the enzymaticactivities of the first 3 enzymes in the 6-step pathway ofpyrimidine biosynthesis: carbamoylphosphate synthetase (CPS II),aspartate transcarbamoylase, and dihydroorotase. This protein isregulated by the mitogen-activated protein kinase (MAPK) cascade,which indicates a direct link between activation of the MAPKcascade and de novo biosynthesis of pyrimidine nucleotides.
|
||
Form |
Purified polyclonal antibody supplied in PBS with 0.09% (W/V) sodium azide. This antibody is purified through a protein A column, followed by peptide affinity purification. |
||
Storage & Stability |
Store at +4°C short term. For long-term storage, aliquot and store at -20°C or below. Stable for 12 months at -20°C. Avoid repeated freeze-thaw cycles.
|
||
Applications |
FC, IHC-P, WB, E
|
||
Dilution |
FC~~1:25
IHC-P~~1:10~50
WB~~1:1000
|
||
Synonyms |
CAD protein, Glutamine-dependent carbamoyl-phosphate synthase, Aspartate carbamoyltransferase, Dihydroorotase, CAD
|
||
Images |
Overlay histogram showing Hela cells stained with APG02331G (green line). The cells were fixed with 2% paraformaldehyde (10 min) and then permeabilized with 90% methanol for 10 min. The cells were then icubated in 2% bovine serum albumin to block non-specific protein-protein interactions followed by the antibody (APG02331G, 1:25 dilution) for 60 min at 37?C. The secondary antibody used was Goat-Anti-Rabbit IgG, DyLight? 488 Conjugated Highly Cross-Adsorbed(OH191631) at 1/200 dilution for 40 min at 37?C. Isotype control antibody (blue line) was rabbit IgG (1μg/1x10^6 cells) used under the same conditions. Acquisition of >10, 000 events was performed.
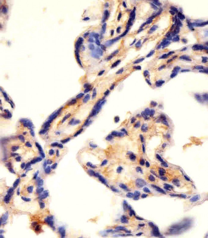
APG02331G staining CAD in human placenta tissue sections by Immunohistochemistry (IHC-P - paraformaldehyde-fixed, paraffin-embedded sections). Tissue was fixed with formaldehyde and blocked with 3% BSA for 0. 5 hour at room temperature; antigen retrieval was by heat mediation with a citrate buffer (pH6). Samples were incubated with primary antibody (1/25) for 1 hours at 37°C. A undiluted biotinylated goat polyvalent antibody was used as the secondary antibody.
Anti-CAD Antibody (Center) at 1:2000 dilution + 293T/17 whole cell lysate Lysates/proteins at 20 μg per lane. Secondary Goat Anti-Rabbit IgG, (H+L), Peroxidase conjugated at 1/10000 dilution. Predicted band size : 243 kDa Blocking/Dilution buffer: 5% NFDM/TBST. |
||
Specification |
|||
Quantity |
|
||
| Select | Brand | Catalog No. | Product Name | Pack Size | Type | Field of Research | Specification | Quantity | Price(USD) | |
| 1 | Leading Biology | APR03440G | ITGA11 Antibody (N-term) | 100 μl | Polyclonal Antibodies |
|
$495.00 | Add Ask | ||
| 2 | Leading Biology | APR04537G | CMIP Antibody (C-term) | 100 μl | Polyclonal Antibodies |
|
$495.00 | Add Ask | ||
| 3 | Leading Biology | APR12422G | Human H4 Histamine Receptor (extracellular) Antibody | 50 μl | Polyclonal Antibodies |
|
$695.00 | Add Ask | ||
| 4 | Leading Biology | APR03844G | UBE2W Antibody (C-term) | 100 μl | Polyclonal Antibodies |
|
$495.00 | Add Ask | ||
| 5 | Leading Biology | APR04349G | HECTD2 Antibody (N-term) | 100 μl | Polyclonal Antibodies |
|
$495.00 | Add Ask | ||
| 6 | Leading Biology | APR03502G | IGHG1 Antibody (Center) | 100 μl | Polyclonal Antibodies |
|
$495.00 | Add Ask |
Leading Biology Inc.
2600 Hilltop DR, Building G, B Suite C138
Richmond, CA, 94806
Tel: 1-661-524(LBI)-0262
Email: info@leadingbiology.com
Complete this form and click send to ask us a question, request a quote or simply say hello.

You have 0 item in your cart

You have 0 item in your inquiry list