> Antigen, Antibodies, ELISA, Western Blot > Primary Antibody > Polyclonal Antibodies > TGFB1 Antibody (N-term)Brand |
Leading Biology | Catalog Number |
APR07196G |
Product Type |
Polyclonal Antibodies | Field of Research |
|
Product Overview |
We constantly strive to ensure we provide our customers with the best antibodies. As a result of this work we offer this antibody in purified format.
We are in the process of updating our datasheets. If you have any questions regarding this update, please feel free to contact our technical support team.
This product is a high quality TGFB1 antibody (N-term).
|
||
Molecular Weight |
44341 Da
|
||
Cellular Localization |
Antigen Cellular Localization:
Secreted, extracellular space, extracellular matrix
|
||
Host |
Rabbit
|
||
Species Reactivity |
Human, Mouse
|
||
Immunogen |
22-50 aa
|
||
Target |
This TGFB1 antibody is generated from rabbits immunized with a KLH conjugated synthetic peptide between 22-50 amino acids from the N-terminal region of human TGFB1.
|
||
Isotype |
Rabbit Ig
|
||
Symbol |
TGFB
|
||
GeneID |
|||
UniProt ID |
|||
Function |
Multifunctional protein that controls proliferation, differentiation and other functions in many cell types. Many cells synthesize TGFB1 and have specific receptors for it. It positively and negatively regulates many other growth factors. It plays an important role in bone remodeling as it is a potent stimulator of osteoblastic bone formation, causing chemotaxis, proliferation and differentiation in committed osteoblasts.
|
||
Summary |
TGFB1 is a member of the transforming growth factor beta (TGFB) family of cytokines, which are multifunctional peptides that regulate proliferation, differentiation, adhesion, migration, and other functions in many cell types. Many cells have TGFB receptors, and the protein positively and negatively regulates many other growth factors. The secreted protein is cleaved into a latency-associated peptide (LAP) and a mature TGFB1 peptide, and is found in either a latent form composed of a TGFB1 homodimer, a LAP homodimer, and a latent TGFB1-binding protein, or in an active form composed of a TGFB1 homodimer. The mature peptide may also form heterodimers with other TGFB family members. This gene is frequently upregulated in tumor cells, and mutations in this gene result in Camurati-Engelmann disease.
|
||
Form |
Purified polyclonal antibody supplied in PBS with 0.09% (W/V) sodium azide. This antibody is purified through a protein A column, followed by peptide affinity purification. |
||
Storage & Stability |
Store at +4°C short term. For long-term storage, aliquot and store at -20°C or below. Stable for 12 months at -20°C. Avoid repeated freeze-thaw cycles.
|
||
Applications |
WB, IHC-P, IF, E
|
||
Dilution |
WB~~1:1000
IHC-P~~1:10~50
IF~~1:10~50
|
||
Synonyms |
Transforming growth factor beta-1, TGF-beta-1, Latency-associated peptide, LAP, TGFB1, TGFB
|
||
Images |
All lanes : Anti-TGFB1 Antibody (N-term) at 1:2000 dilution Lane 1: HepG2 whole cell lysate Lane 2: K562 whole cell lysate Lane 3: Raji whole cell lysate Lysates/proteins at 20 μg per lane. Secondary Goat Anti-Rabbit IgG, (H+L), Peroxidase conjugated at 1/10000 dilution. Predicted band size : 44 kDa Blocking/Dilution buffer: 5% NFDM/TBST.
TGFB1 Antibody (N-term) (Cat. APR07196G) western blot analysis in mouse heart tissue lysates (35ug/lane).This demonstrates the TGFB1 antibody detected the TGFB1 protein (arrow).
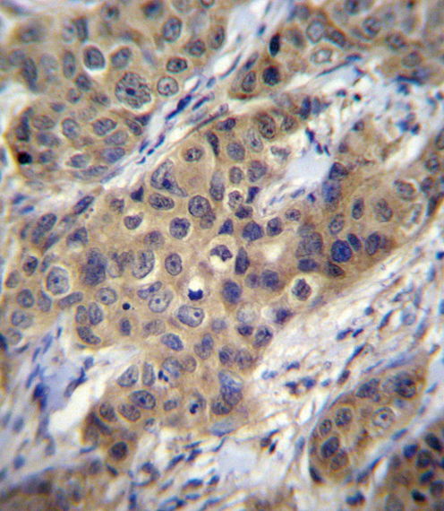
TGFB1 Antibody (N-term) (Cat. APR07196G)immunohistochemistry analysis in formalin fixed and paraffin embedded human breast carcinoma followed by peroxidase conjugation of the secondary antibody and DAB staining.This data demonstrates the use of TGFB1 Antibody (N-term) for immunohistochemistry. Clinical relevance has not been evaluated. |
||
Specification |
|||
Quantity |
|
||
| Select | Brand | Catalog No. | Product Name | Pack Size | Type | Field of Research | Specification | Quantity | Price(USD) | |
| 1 | Leading Biology | APR03440G | ITGA11 Antibody (N-term) | 100 μl | Polyclonal Antibodies |
|
$495.00 | Add Ask | ||
| 2 | Leading Biology | APR04537G | CMIP Antibody (C-term) | 100 μl | Polyclonal Antibodies |
|
$495.00 | Add Ask | ||
| 3 | Leading Biology | APR12422G | Human H4 Histamine Receptor (extracellular) Antibody | 50 μl | Polyclonal Antibodies |
|
$695.00 | Add Ask | ||
| 4 | Leading Biology | APR03844G | UBE2W Antibody (C-term) | 100 μl | Polyclonal Antibodies |
|
$495.00 | Add Ask | ||
| 5 | Leading Biology | APR04349G | HECTD2 Antibody (N-term) | 100 μl | Polyclonal Antibodies |
|
$495.00 | Add Ask | ||
| 6 | Leading Biology | APR03502G | IGHG1 Antibody (Center) | 100 μl | Polyclonal Antibodies |
|
$495.00 | Add Ask |
Leading Biology Inc.
2600 Hilltop DR, Building G, B Suite C138
Richmond, CA, 94806
Tel: 1-661-524(LBI)-0262
Email: info@leadingbiology.com
Complete this form and click send to ask us a question, request a quote or simply say hello.

You have 0 item in your cart

You have 0 item in your inquiry list