> Antigen, Antibodies, ELISA, Western Blot > Primary Antibody > Polyclonal Antibodies > UHRF1BP1L AntibodyBrand |
Leading Biology | Catalog Number |
APR06720G |
Product Type |
Polyclonal Antibodies | Field of Research |
|
Product Overview |
We constantly strive to ensure we provide our customers with the best antibodies. As a result of this work we offer this antibody in purified format.
We are in the process of updating our datasheets. If you have any questions regarding this update, please feel free to contact our technical support team.
This product is a high quality UHRF1BP1L Antibody.
|
||
Molecular Weight |
164199 Da
|
||
Host |
Rabbit
|
||
Species Reactivity |
Human, Mouse
|
||
Target |
UHRF1BP1L; At least two isoforms of UHRF1BP1L are known to exist; this antibody will recognize both isoforms. UHRF1BP1L antibody is predicted to not cross-react with UHRF1BP1
|
||
Isotype |
IgG
|
||
Symbol |
KIAA0701
|
||
GeneID |
|||
UniProt ID |
|||
Summary |
UHRF1BP1L Antibody: The Ubiquitin-like containing PHD and RING finger domains 1-binding protein 1-like (UHRF1BP1L) is closely related to UHRF1BP1, also known as ICBP90, a transcription and cell cycle regulator that specifically binds to the histone H3 N-terminal tail. While little is known of UHRF1BP1L, UHRF1BP1 is required for proper heterochromatin formation in mammalian cells. Furthermore, UHRF1BP1 is thought to be a pivotal target for the ERK1/2 signaling pathway to control the proliferation of Jurkat T cells, suggesting that UHRF1BP1L may also be involved in chromatin regulation and cell proliferation.
|
||
Storage & Stability |
Store at +4°C short term. For long-term storage, aliquot and store at -20°C or below. Stable for 12 months at -20°C. Avoid repeated freeze-thaw cycles.
|
||
Applications |
WB, IHC-P, IF, E
|
||
Images |
Western blot analysis of UHRF1BP1L in mouse brain tissue lysate with UHRF1BP1L antibody at 1 μg/mL
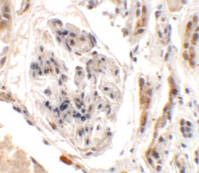
Immunohistochemistry of UHRF1BP1L in human kidney tissue with UHRF1BP1L antibody at 2.5 μg/mL.
Immunofluorescence of UHRF1BP1L in human kidney tissue with UHRF1BP1L antibody at 20 μg/mL. |
||
Specification |
|||
Quantity |
|
||
| Select | Brand | Catalog No. | Product Name | Pack Size | Type | Field of Research | Specification | Quantity | Price(USD) | |
| 1 | Leading Biology | APR03440G | ITGA11 Antibody (N-term) | 100 μl | Polyclonal Antibodies |
|
$495.00 | Add Ask | ||
| 2 | Leading Biology | APR04537G | CMIP Antibody (C-term) | 100 μl | Polyclonal Antibodies |
|
$495.00 | Add Ask | ||
| 3 | Leading Biology | APR12422G | Human H4 Histamine Receptor (extracellular) Antibody | 50 μl | Polyclonal Antibodies |
|
$695.00 | Add Ask | ||
| 4 | Leading Biology | APR03844G | UBE2W Antibody (C-term) | 100 μl | Polyclonal Antibodies |
|
$495.00 | Add Ask | ||
| 5 | Leading Biology | APR04349G | HECTD2 Antibody (N-term) | 100 μl | Polyclonal Antibodies |
|
$495.00 | Add Ask | ||
| 6 | Leading Biology | APR03502G | IGHG1 Antibody (Center) | 100 μl | Polyclonal Antibodies |
|
$495.00 | Add Ask |
Leading Biology Inc.
2600 Hilltop DR, Building G, B Suite C138
Richmond, CA, 94806
Tel: 1-661-524(LBI)-0262
Email: info@leadingbiology.com
Complete this form and click send to ask us a question, request a quote or simply say hello.

You have 0 item in your cart

You have 0 item in your inquiry list