> Antigen, Antibodies, ELISA, Western Blot > Primary Antibody > Polyclonal Antibodies > UHRF1BP1 AntibodyBrand |
Leading Biology | Catalog Number |
APR06719G |
Product Type |
Polyclonal Antibodies | Field of Research |
|
Product Overview |
We constantly strive to ensure we provide our customers with the best antibodies. As a result of this work we offer this antibody in purified format.
We are in the process of updating our datasheets. If you have any questions regarding this update, please feel free to contact our technical support team.
This product is a high quality UHRF1BP1 Antibody.
|
||
Molecular Weight |
159485 Da
|
||
Host |
Rabbit
|
||
Species Reactivity |
Human, Mouse
|
||
Target |
UHRF1BP1; UHRF1BP1 antibody is predicted to not cross-react with UHRF1BP1L
|
||
Isotype |
IgG
|
||
Symbol |
C6orf107
|
||
GeneID |
|||
UniProt ID |
|||
Function |
May act as a negative regulator of cell growth.
|
||
Summary |
UHRF1BP1 Antibody: The Ubiquitin-like containing PHD and RING finger domains 1-binding protein 1 (UHRF1BP1), also known as ICBP90, is a transcription and cell cycle regulator. It specifically binds to the histone H3 N-terminal tail when methylated on K9 by two functional domains, a PHD finger that defines the binding specificity and an SRA (SET- and RING-associated) domain that promotes binding activity. UHRF1BP1 is required for proper heterochromatin formation in mammalian cells. Furthermore, UHRF1BP1 is thought to be a pivotal target for the ERK1/2 signaling pathway to control the proliferation of Jurkat T cells.
|
||
Storage & Stability |
Store at +4°C short term. For long-term storage, aliquot and store at -20°C or below. Stable for 12 months at -20°C. Avoid repeated freeze-thaw cycles.
|
||
Applications |
WB, IHC-P, IF, E
|
||
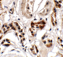
Images |
Western blot analysis of UHRF1BP1 in mouse kidney tissue lysate with UHRF1BP1 antibody at (A) 1 and (B) 2 μg/mL.
Immunohistochemistry of UHRF1BP1 in human kidney tissue with UHRF1BP1 antibody at 2.5 μg/mL.
Immunofluorescence of UHRF1BP1 in human kidney tissue with UHRF1BP1 antibody at 20 μg/mL. |
||
Specification |
|||
Quantity |
|
||
| Select | Brand | Catalog No. | Product Name | Pack Size | Type | Field of Research | Specification | Quantity | Price(USD) | |
| 1 | Leading Biology | APR03440G | ITGA11 Antibody (N-term) | 100 μl | Polyclonal Antibodies |
|
$495.00 | Add Ask | ||
| 2 | Leading Biology | APR04537G | CMIP Antibody (C-term) | 100 μl | Polyclonal Antibodies |
|
$495.00 | Add Ask | ||
| 3 | Leading Biology | APR12422G | Human H4 Histamine Receptor (extracellular) Antibody | 50 μl | Polyclonal Antibodies |
|
$695.00 | Add Ask | ||
| 4 | Leading Biology | APR03844G | UBE2W Antibody (C-term) | 100 μl | Polyclonal Antibodies |
|
$495.00 | Add Ask | ||
| 5 | Leading Biology | APR04349G | HECTD2 Antibody (N-term) | 100 μl | Polyclonal Antibodies |
|
$495.00 | Add Ask | ||
| 6 | Leading Biology | APR03502G | IGHG1 Antibody (Center) | 100 μl | Polyclonal Antibodies |
|
$495.00 | Add Ask |
Leading Biology Inc.
2600 Hilltop DR, Building G, B Suite C138
Richmond, CA, 94806
Tel: 1-661-524(LBI)-0262
Email: info@leadingbiology.com
Complete this form and click send to ask us a question, request a quote or simply say hello.

You have 0 item in your cart

You have 0 item in your inquiry list