> Antigen, Antibodies, ELISA, Western Blot > Primary Antibody > Polyclonal Antibodies > LALBA Antibody (Center)Brand |
Leading Biology | Catalog Number |
APR04025G |
Product Type |
Polyclonal Antibodies | Field of Research |
|
Product Overview |
We constantly strive to ensure we provide our customers with the best antibodies. As a result of this work we offer this antibody in purified format.
We are in the process of updating our datasheets. If you have any questions regarding this update, please feel free to contact our technical support team.
This product is a high quality LALBA Antibody (Center).
|
||
Molecular Weight |
16225 Da
|
||
Cellular Localization |
Antigen Cellular Localization:
Secreted.
|
||
Host |
Rabbit
|
||
Species Reactivity |
Human
|
||
Immunogen |
39-68 aa
|
||
Target |
This LALBA antibody is generated from rabbits immunized with a KLH conjugated synthetic peptide between 39-68 amino acids from the Central region of human LALBA.
|
||
Isotype |
Rabbit Ig
|
||
Symbol |
LYZL7
|
||
GeneID |
|||
UniProt ID |
|||
Function |
Regulatory subunit of lactose synthase, changes the substrate specificity of galactosyltransferase in the mammary gland making glucose a good acceptor substrate for this enzyme. This enables LS to synthesize lactose, the major carbohydrate component of milk. In other tissues, galactosyltransferase transfers galactose onto the N-acetylglucosamine of the oligosaccharide chains in glycoproteins.
|
||
Summary |
This gene encodes alpha-lactalbumin, a principal proteinof milk. Alpha-lactalbumin forms the regulatory subunit of thelactose synthase (LS) heterodimer and beta1,4-galactosyltransferase (beta4Gal-T1) forms the catalyticcomponent. Together, these proteins enable LS to produce lactose bytransfering galactose moieties to glucose. As a monomer,alpha-lactalbumin strongly binds calcium and zinc ions and maypossess bactericidal or antitumor activity. A folding variant ofalpha-lactalbumin, called HAMLET, likely induces apoptosis in tumorand immature cells.
|
||
Storage & Stability |
Store at +4°C short term. For long-term storage, aliquot and store at -20°C or below. Stable for 12 months at -20°C. Avoid repeated freeze-thaw cycles.
|
||
Applications |
WB, IHC-P, E
|
||
Dilution |
IHC-P~~1:10~50
WB~~1:1000
|
||
Images |
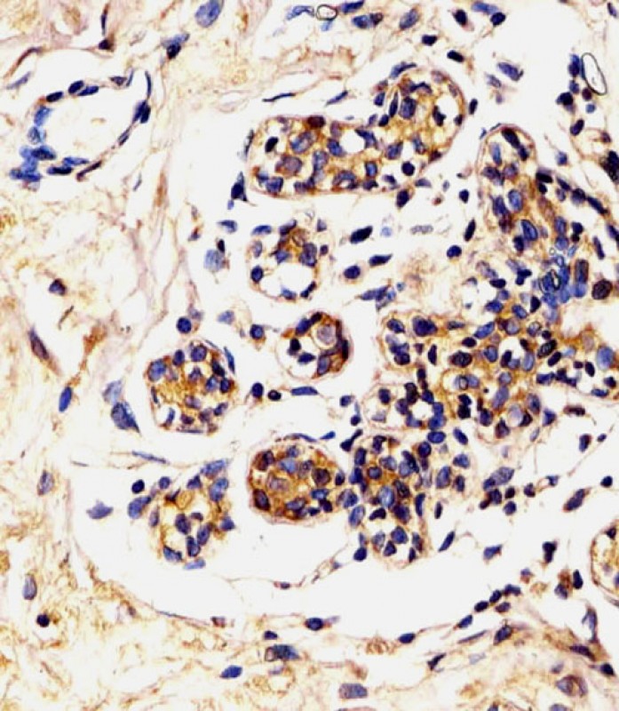
APR04025G staining LALBA in Human breast tissue sections by Immunohistochemistry (IHC-P - paraformaldehyde-fixed, paraffin-embedded sections). Tissue was fixed with formaldehyde and blocked with 3% BSA for 0. 5 hour at room temperature; antigen retrieval was by heat mediation with a citrate buffer (pH6). Samples were incubated with primary antibody (1/25) for 1 hours at 37°C. A undiluted biotinylated goat polyvalent antibody was used as the secondary antibody.
Anti-LALBA Antibody (Center)at 1:2000 dilution + human breast lysates Lysates/proteins at 20 μg per lane. Secondary Goat Anti-Rabbit IgG, (H+L), Peroxidase conjugated at 1/10000 dilution Predicted band size : 16 kDa Blocking/Dilution buffer: 5% NFDM/TBST.
Anti-LALBA Antibody (Center)at 1:2000 dilution + human breast lysates Lysates/proteins at 20 μg per lane. Secondary Goat Anti-Rabbit IgG, (H+L), Peroxidase conjugated at 1/10000 dilution Predicted band size : 16 kDa Blocking/Dilution buffer: 5% NFDM/TBST. |
||
Specification |
|||
Quantity |
|
||
| Select | Brand | Catalog No. | Product Name | Pack Size | Type | Field of Research | Specification | Quantity | Price(USD) | |
| 1 | Leading Biology | APR03440G | ITGA11 Antibody (N-term) | 100 μl | Polyclonal Antibodies |
|
$495.00 | Add Ask | ||
| 2 | Leading Biology | APR04537G | CMIP Antibody (C-term) | 100 μl | Polyclonal Antibodies |
|
$495.00 | Add Ask | ||
| 3 | Leading Biology | APR12422G | Human H4 Histamine Receptor (extracellular) Antibody | 50 μl | Polyclonal Antibodies |
|
$695.00 | Add Ask | ||
| 4 | Leading Biology | APR03844G | UBE2W Antibody (C-term) | 100 μl | Polyclonal Antibodies |
|
$495.00 | Add Ask | ||
| 5 | Leading Biology | APR04349G | HECTD2 Antibody (N-term) | 100 μl | Polyclonal Antibodies |
|
$495.00 | Add Ask | ||
| 6 | Leading Biology | APR03502G | IGHG1 Antibody (Center) | 100 μl | Polyclonal Antibodies |
|
$495.00 | Add Ask |
Leading Biology Inc.
2600 Hilltop DR, Building G, B Suite C138
Richmond, CA, 94806
Tel: 1-661-524(LBI)-0262
Email: info@leadingbiology.com
Complete this form and click send to ask us a question, request a quote or simply say hello.

You have 0 item in your cart

You have 0 item in your inquiry list