> Antigen, Antibodies, ELISA, Western Blot > Primary Antibody > Polyclonal Antibodies > FDXR Polyclonal AntibodyBrand |
Leading Biology | Catalog Number |
APR25338N |
Product Type |
Polyclonal Antibodies | Field of Research |
Endocrine & Metabolism>Mitochondrial metabolism |
Product Overview |
We constantly strive to ensure we provide our customers with the best antibodies. As a result of this work we offer this antibody in purified format.
We are in the process of updating our datasheets. If you have any questions regarding this update, please feel free to contact our technical support team.
This product is a high quality FDXR Polyclonal Antibody.
|
||
Molecular Weight |
Calculated MW:
48kDa/49kDa/52kDa/53kDa/54kDa/57kDa/58kDa
Observed MW:
45kDa
|
||
Species Reactivity |
Rabbit
|
||
Immunogen |
Recombinant fusion protein of human FDXR (NP_077728.3).
|
||
Cross Reactivity |
Human,Mouse,Rat
|
||
Isotype |
IgG
|
||
GeneID |
|||
UniProt ID |
|||
Purity |
Affinity purification |
||
Storage & Stability |
Store at +4°C short term. For long-term storage, aliquot and store at -20°C or below. Stable for 12 months at -20°C. Avoid repeated freeze-thaw cycles.
|
||
Storage Buffer |
Buffer: PBS with 50% glycerol, pH7.3.
|
||
Applications |
WB,IHC
|
||
Dilution |
WB 1:500 - 1:2000
IHC 1:100 - 1:200
|
||
Product Description |
This gene encodes a mitochondrial flavoprotein that initiates electron transport for cytochromes P450 receiving electrons from NADPH. Multiple alternatively spliced transcript variants have been found for this gene.
|
||
Synonyms |
FDXR; ADXR; ferredoxin reductase
|
||
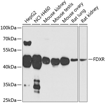
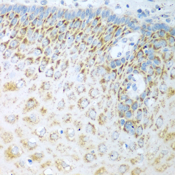
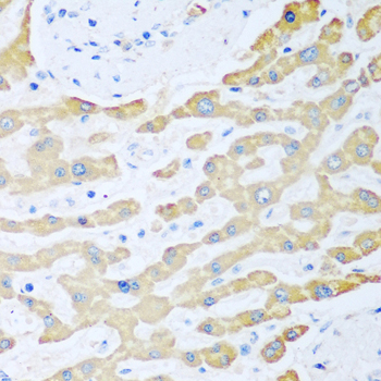
Images |
Western blot analysis of extracts of various cell lines, using FDXR antibody.
Immunohistochemistry of paraffin-embedded human liver cancer using FDXR antibody.
Immunohistochemistry of paraffin-embedded human esophagus using FDXR antibody. |
||
Specification |
|||
Quantity |
|
||
| Select | Brand | Catalog No. | Product Name | Pack Size | Type | Field of Research | Specification | Quantity | Price(USD) | |
| 1 | Leading Biology | APR03440G | ITGA11 Antibody (N-term) | 100 μl | Polyclonal Antibodies |
|
$495.00 | Add Ask | ||
| 2 | Leading Biology | APR04537G | CMIP Antibody (C-term) | 100 μl | Polyclonal Antibodies |
|
$495.00 | Add Ask | ||
| 3 | Leading Biology | APR12422G | Human H4 Histamine Receptor (extracellular) Antibody | 50 μl | Polyclonal Antibodies |
|
$695.00 | Add Ask | ||
| 4 | Leading Biology | APR03844G | UBE2W Antibody (C-term) | 100 μl | Polyclonal Antibodies |
|
$495.00 | Add Ask | ||
| 5 | Leading Biology | APR04349G | HECTD2 Antibody (N-term) | 100 μl | Polyclonal Antibodies |
|
$495.00 | Add Ask | ||
| 6 | Leading Biology | APR03502G | IGHG1 Antibody (Center) | 100 μl | Polyclonal Antibodies |
|
$495.00 | Add Ask |
Leading Biology Inc.
2600 Hilltop DR, Building G, B Suite C138
Richmond, CA, 94806
Tel: 1-661-524(LBI)-0262
Email: info@leadingbiology.com
Complete this form and click send to ask us a question, request a quote or simply say hello.

You have 0 item in your cart

You have 0 item in your inquiry list