> Antigen, Antibodies, ELISA, Western Blot > Primary Antibody > Polyclonal Antibodies > NAT2 Polyclonal AntibodyBrand |
Leading Biology | Catalog Number |
APR19384N |
Product Type |
Polyclonal Antibodies | Field of Research |
Endocrine & Metabolism>Drug metabolism |
Product Overview |
We constantly strive to ensure we provide our customers with the best antibodies. As a result of this work we offer this antibody in purified format.
We are in the process of updating our datasheets. If you have any questions regarding this update, please feel free to contact our technical support team.
This product is a high quality NAT2 Polyclonal Antibody.
|
||
Molecular Weight |
Calculated MW:
33kDa
Observed MW:
36kDa
|
||
Species Reactivity |
Rabbit
|
||
Immunogen |
Recombinant fusion protein of human NAT2 (NP_000006.2).
|
||
Cross Reactivity |
Human,Mouse,Rat
|
||
Isotype |
IgG
|
||
GeneID |
|||
UniProt ID |
|||
Purity |
Affinity purification |
||
Storage & Stability |
Store at +4°C short term. For long-term storage, aliquot and store at -20°C or below. Stable for 12 months at -20°C. Avoid repeated freeze-thaw cycles.
|
||
Storage Buffer |
Buffer: PBS with 50% glycerol, pH7.3.
|
||
Applications |
WB,IHC,IF
|
||
Dilution |
WB 1:500 - 1:2000
IHC 1:50 - 1:200
IF 1:50 - 1:200
|
||
Product Description |
This gene encodes an enzyme that functions to both activate and deactivate arylamine and hydrazine drugs and carcinogens. Polymorphisms in this gene are responsible for the N-acetylation polymorphism in which human populations segregate into rapid, intermediate, and slow acetylator phenotypes. Polymorphisms in this gene are also associated with higher incidences of cancer and drug toxicity. A second arylamine N-acetyltransferase gene (NAT1) is located near this gene (NAT2).
|
||
Synonyms |
NAT2; AAC2; NAT-2; PNAT; N-acetyltransferase 2
|
||
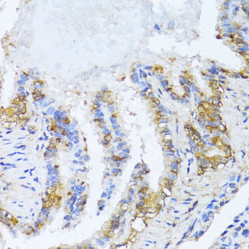
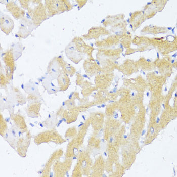
Images |
Western blot analysis of extracts of various cell lines, using NAT2 antibody.
Immunohistochemistry of paraffin-embedded rat lung using NAT2 antibody.
Immunohistochemistry of paraffin-embedded rat heart using NAT2 antibody. |
||
Specification |
|||
Quantity |
|
||
| Select | Brand | Catalog No. | Product Name | Pack Size | Type | Field of Research | Specification | Quantity | Price(USD) | |
| 1 | Leading Biology | APR03440G | ITGA11 Antibody (N-term) | 100 μl | Polyclonal Antibodies |
|
$495.00 | Add Ask | ||
| 2 | Leading Biology | APR04537G | CMIP Antibody (C-term) | 100 μl | Polyclonal Antibodies |
|
$495.00 | Add Ask | ||
| 3 | Leading Biology | APR12422G | Human H4 Histamine Receptor (extracellular) Antibody | 50 μl | Polyclonal Antibodies |
|
$695.00 | Add Ask | ||
| 4 | Leading Biology | APR03844G | UBE2W Antibody (C-term) | 100 μl | Polyclonal Antibodies |
|
$495.00 | Add Ask | ||
| 5 | Leading Biology | APR04349G | HECTD2 Antibody (N-term) | 100 μl | Polyclonal Antibodies |
|
$495.00 | Add Ask | ||
| 6 | Leading Biology | APR03502G | IGHG1 Antibody (Center) | 100 μl | Polyclonal Antibodies |
|
$495.00 | Add Ask |
Leading Biology Inc.
2600 Hilltop DR, Building G, B Suite C138
Richmond, CA, 94806
Tel: 1-661-524(LBI)-0262
Email: info@leadingbiology.com
Complete this form and click send to ask us a question, request a quote or simply say hello.

You have 0 item in your cart

You have 0 item in your inquiry list