> Antigen, Antibodies, ELISA, Western Blot > Primary Antibody > Polyclonal Antibodies > OPRK1 Polyclonal AntibodyBrand |
Leading Biology | Catalog Number |
APR20594N |
Product Type |
Polyclonal Antibodies | Field of Research |
Signal Transduction>G protein signaling |
Product Overview |
We constantly strive to ensure we provide our customers with the best antibodies. As a result of this work we offer this antibody in purified format.
We are in the process of updating our datasheets. If you have any questions regarding this update, please feel free to contact our technical support team.
This product is a high quality OPRK1 Polyclonal Antibody.
|
||
Molecular Weight |
Calculated MW:
33kDa/42kDa
Observed MW:
40kDa
|
||
Species Reactivity |
Rabbit
|
||
Immunogen |
A synthetic synthetic peptide of human OPRK1 (NP_000903.2).
|
||
Cross Reactivity |
Human,Mouse,Rat
|
||
Isotype |
IgG
|
||
GeneID |
|||
UniProt ID |
|||
Purity |
Affinity purification |
||
Storage & Stability |
Store at +4°C short term. For long-term storage, aliquot and store at -20°C or below. Stable for 12 months at -20°C. Avoid repeated freeze-thaw cycles.
|
||
Storage Buffer |
Buffer: PBS with 50% glycerol, pH7.3.
|
||
Applications |
WB,IHC,IF
|
||
Dilution |
WB 1:500 - 1:2000
IHC 1:50 - 1:200
IF 1:50 - 1:200
|
||
Product Description |
This gene encodes an opioid receptor, which is a member of the 7 transmembrane-spanning G protein-coupled receptor family. It functions as a receptor for endogenous ligands, as well as a receptor for various synthetic opioids. Ligand binding results in inhibition of adenylate cyclase activity and neurotransmitter release. This opioid receptor plays a role in the perception of pain and mediating the hypolocomotor, analgesic and aversive actions of synthetic opioids. Variations in this gene have also been associated with alcohol dependence and opiate addiction. Alternatively spliced transcript variants encoding different isoforms have been found for this gene. A recent study provided evidence for translational readthrough in this gene and expression of an additional C-terminally extended isoform via the use of an alternative in-frame translation termination codon.
|
||
Synonyms |
OPRK1; K-OR-1; KOR; KOR-1; OPRK; opioid receptor kappa 1
|
||
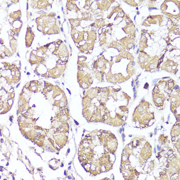
Images |
Western blot analysis of extracts of various cell lines, using OPRK1 antibody.
Immunohistochemistry of paraffin-embedded rat testis using OPRK1 antibody.
Immunohistochemistry of paraffin-embedded human stomach using OPRK1 antibody. |
||
Specification |
|||
Quantity |
|
||
| Select | Brand | Catalog No. | Product Name | Pack Size | Type | Field of Research | Specification | Quantity | Price(USD) | |
| 1 | Leading Biology | APR03440G | ITGA11 Antibody (N-term) | 100 μl | Polyclonal Antibodies |
|
$495.00 | Add Ask | ||
| 2 | Leading Biology | APR04537G | CMIP Antibody (C-term) | 100 μl | Polyclonal Antibodies |
|
$495.00 | Add Ask | ||
| 3 | Leading Biology | APR12422G | Human H4 Histamine Receptor (extracellular) Antibody | 50 μl | Polyclonal Antibodies |
|
$695.00 | Add Ask | ||
| 4 | Leading Biology | APR03844G | UBE2W Antibody (C-term) | 100 μl | Polyclonal Antibodies |
|
$495.00 | Add Ask | ||
| 5 | Leading Biology | APR04349G | HECTD2 Antibody (N-term) | 100 μl | Polyclonal Antibodies |
|
$495.00 | Add Ask | ||
| 6 | Leading Biology | APR03502G | IGHG1 Antibody (Center) | 100 μl | Polyclonal Antibodies |
|
$495.00 | Add Ask |
Leading Biology Inc.
2600 Hilltop DR, Building G, B Suite C138
Richmond, CA, 94806
Tel: 1-661-524(LBI)-0262
Email: info@leadingbiology.com
Complete this form and click send to ask us a question, request a quote or simply say hello.

You have 0 item in your cart

You have 0 item in your inquiry list