> Antigen, Antibodies, ELISA, Western Blot > Primary Antibody > Polyclonal Antibodies > PICK1 Polyclonal AntibodyBrand |
Leading Biology | Catalog Number |
APR20156N |
Product Type |
Polyclonal Antibodies | Field of Research |
Signal Transduction>Kinase |
Product Overview |
We constantly strive to ensure we provide our customers with the best antibodies. As a result of this work we offer this antibody in purified format.
We are in the process of updating our datasheets. If you have any questions regarding this update, please feel free to contact our technical support team.
This product is a high quality PICK1 Polyclonal Antibody.
|
||
Molecular Weight |
Calculated MW:
39kDa/46kDa
Observed MW:
_
|
||
Species Reactivity |
Rabbit
|
||
Immunogen |
A synthetic peptide of human PICK1 (NP_036539.1).
|
||
Cross Reactivity |
Human
|
||
Isotype |
IgG
|
||
GeneID |
|||
UniProt ID |
|||
Purity |
Affinity purification |
||
Storage & Stability |
Store at +4°C short term. For long-term storage, aliquot and store at -20°C or below. Stable for 12 months at -20°C. Avoid repeated freeze-thaw cycles.
|
||
Storage Buffer |
Buffer: PBS with 50% glycerol, pH7.3.
|
||
Applications |
IHC,IF
|
||
Dilution |
IHC 1:50 - 1:200
IF 1:50 - 1:200
|
||
Product Description |
The protein encoded by this gene contains a PDZ domain, through which it interacts with protein kinase C, alpha (PRKCA). This protein may function as an adaptor that binds to and organizes the subcellular localization of a variety of membrane proteins. It has been shown to interact with multiple glutamate receptor subtypes, monoamine plasma membrane transporters, as well as non-voltage gated sodium channels, and may target PRKCA to these membrane proteins and thus regulate their distribution and function. This protein has also been found to act as an anchoring protein that specifically targets PRKCA to mitochondria in a ligand-specific manner. Three transcript variants encoding the same protein have been found for this gene.
|
||
Synonyms |
PICK1; PICK; PRKCABP; PRKCA-binding protein
|
||
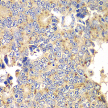
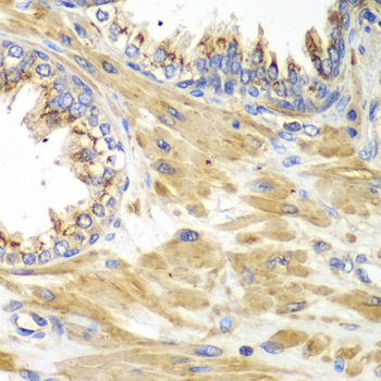
Images |
Immunohistochemistry of paraffin-embedded human colon using PICK1 antibody.
Immunohistochemistry of paraffin-embedded human prostate using PICK1 antibody.
Immunohistochemistry of paraffin-embedded human prostate cancer using PICK1 antibody. |
||
Specification |
|||
Quantity |
|
||
| Select | Brand | Catalog No. | Product Name | Pack Size | Type | Field of Research | Specification | Quantity | Price(USD) | |
| 1 | Leading Biology | APR03440G | ITGA11 Antibody (N-term) | 100 μl | Polyclonal Antibodies |
|
$495.00 | Add Ask | ||
| 2 | Leading Biology | APR04537G | CMIP Antibody (C-term) | 100 μl | Polyclonal Antibodies |
|
$495.00 | Add Ask | ||
| 3 | Leading Biology | APR12422G | Human H4 Histamine Receptor (extracellular) Antibody | 50 μl | Polyclonal Antibodies |
|
$695.00 | Add Ask | ||
| 4 | Leading Biology | APR03844G | UBE2W Antibody (C-term) | 100 μl | Polyclonal Antibodies |
|
$495.00 | Add Ask | ||
| 5 | Leading Biology | APR04349G | HECTD2 Antibody (N-term) | 100 μl | Polyclonal Antibodies |
|
$495.00 | Add Ask | ||
| 6 | Leading Biology | APR03502G | IGHG1 Antibody (Center) | 100 μl | Polyclonal Antibodies |
|
$495.00 | Add Ask |
Leading Biology Inc.
2600 Hilltop DR, Building G, B Suite C138
Richmond, CA, 94806
Tel: 1-661-524(LBI)-0262
Email: info@leadingbiology.com
Complete this form and click send to ask us a question, request a quote or simply say hello.

You have 0 item in your cart

You have 0 item in your inquiry list