> Antigen, Antibodies, ELISA, Western Blot > Primary Antibody > Polyclonal Antibodies > CHMP2B Polyclonal AntibodyBrand |
Leading Biology | Catalog Number |
APR20003N |
Product Type |
Polyclonal Antibodies | Field of Research |
Cell Biology & Developmental Biology>Autophagy |
Product Overview |
We constantly strive to ensure we provide our customers with the best antibodies. As a result of this work we offer this antibody in purified format.
We are in the process of updating our datasheets. If you have any questions regarding this update, please feel free to contact our technical support team.
This product is a high quality CHMP2B Polyclonal Antibody.
|
||
Molecular Weight |
Calculated MW:
19kDa/23kDa
Observed MW:
28kDa
|
||
Species Reactivity |
Rabbit
|
||
Immunogen |
Recombinant fusion protein of human CHMP2B (NP_054762.2).
|
||
Cross Reactivity |
Human,Mouse
|
||
Isotype |
IgG
|
||
GeneID |
|||
UniProt ID |
|||
Purity |
Affinity purification |
||
Storage & Stability |
Store at +4°C short term. For long-term storage, aliquot and store at -20°C or below. Stable for 12 months at -20°C. Avoid repeated freeze-thaw cycles.
|
||
Storage Buffer |
Buffer: PBS with 50% glycerol, pH7.3.
|
||
Applications |
WB,IHC,IF
|
||
Dilution |
WB 1:500 - 1:2000
IHC 1:50 - 1:200
IF 1:50 - 1:200
|
||
Product Description |
This gene encodes a component of the heteromeric ESCRT-III complex (Endosomal Sorting Complex Required for Transport III) that functions in the recycling or degradation of cell surface receptors. ESCRT-III functions in the concentration and invagination of ubiquitinated endosomal cargos into intralumenal vesicles. The protein encoded by this gene is found as a monomer in the cytosol or as an oligomer in ESCRT-III complexes on endosomal membranes. It is expressed in neurons of all major regions of the brain. Mutations in this gene result in one form of familial frontotemporal lobar degeneration.
|
||
Synonyms |
CHMP2B; ALS17; CHMP2.5; DMT1; VPS2-2; VPS2B; charged multivesicular body protein 2b
|
||
Images |
Western blot analysis of extracts of various cell lines, using CHMP2B antibody.
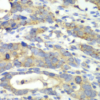
Immunohistochemistry of paraffin-embedded human gastric cancer using CHMP2B antibody.
Immunofluorescence analysis of MCF-7 cells using CHMP2B antibody. |
||
Specification |
|||
Quantity |
|
||
| Select | Brand | Catalog No. | Product Name | Pack Size | Type | Field of Research | Specification | Quantity | Price(USD) | |
| 1 | Leading Biology | APR03440G | ITGA11 Antibody (N-term) | 100 μl | Polyclonal Antibodies |
|
$495.00 | Add Ask | ||
| 2 | Leading Biology | APR04537G | CMIP Antibody (C-term) | 100 μl | Polyclonal Antibodies |
|
$495.00 | Add Ask | ||
| 3 | Leading Biology | APR12422G | Human H4 Histamine Receptor (extracellular) Antibody | 50 μl | Polyclonal Antibodies |
|
$695.00 | Add Ask | ||
| 4 | Leading Biology | APR03844G | UBE2W Antibody (C-term) | 100 μl | Polyclonal Antibodies |
|
$495.00 | Add Ask | ||
| 5 | Leading Biology | APR04349G | HECTD2 Antibody (N-term) | 100 μl | Polyclonal Antibodies |
|
$495.00 | Add Ask | ||
| 6 | Leading Biology | APR03502G | IGHG1 Antibody (Center) | 100 μl | Polyclonal Antibodies |
|
$495.00 | Add Ask |
Leading Biology Inc.
2600 Hilltop DR, Building G, B Suite C138
Richmond, CA, 94806
Tel: 1-661-524(LBI)-0262
Email: info@leadingbiology.com
Complete this form and click send to ask us a question, request a quote or simply say hello.

You have 0 item in your cart

You have 0 item in your inquiry list