> Antigen, Antibodies, ELISA, Western Blot > Primary Antibody > Polyclonal Antibodies > TIRAP Polyclonal AntibodyBrand |
Leading Biology | Catalog Number |
APR19235N |
Product Type |
Polyclonal Antibodies | Field of Research |
Immunology & Inflammation>Cell Intrinsic Innate Immunity Signaling Pathway |
Product Overview |
We constantly strive to ensure we provide our customers with the best antibodies. As a result of this work we offer this antibody in purified format.
We are in the process of updating our datasheets. If you have any questions regarding this update, please feel free to contact our technical support team.
This product is a high quality TIRAP Polyclonal Antibody.
|
||
Molecular Weight |
Calculated MW:
23kDa/25kDa/27kDa
Observed MW:
32kDa
|
||
Species Reactivity |
Rabbit
|
||
Immunogen |
Recombinant fusion protein of human TIRAP (NP_001034750.1).
|
||
Cross Reactivity |
Human,Mouse,Rat
|
||
Isotype |
IgG
|
||
GeneID |
|||
UniProt ID |
|||
Purity |
Affinity purification |
||
Storage & Stability |
Store at +4°C short term. For long-term storage, aliquot and store at -20°C or below. Stable for 12 months at -20°C. Avoid repeated freeze-thaw cycles.
|
||
Storage Buffer |
Buffer: PBS with 50% glycerol, pH7.3.
|
||
Applications |
WB,IHC,IF
|
||
Dilution |
WB 1:500 - 1:2000
IHC 1:50 - 1:200
IF 1:50 - 1:200
|
||
Product Description |
The innate immune system recognizes microbial pathogens through Toll-like receptors (TLRs), which identify pathogen-associated molecular patterns. Different TLRs recognize different pathogen-associated molecular patterns and all TLRs have a Toll-interleukin 1 receptor (TIR) domain, which is responsible for signal transduction. The protein encoded by this gene is a TIR adaptor protein involved in the TLR4 signaling pathway of the immune system. It activates NF-kappa-B, MAPK1, MAPK3 and JNK, which then results in cytokine secretion and the inflammatory response. Alternative splicing of this gene results in several transcript variants; however, not all variants have been fully described.
|
||
Synonyms |
TIRAP; BACTS1; Mal; MyD88-2; wyatt; TIR domain containing adaptor protein
|
||
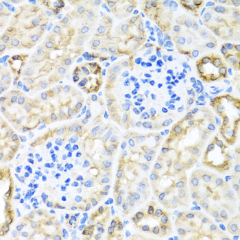
Images |
Western blot analysis of extracts of various cell lines, using TIRAP antibody.
Immunohistochemistry of paraffin-embedded mouse kidney using TIRAP antibody.
Immunohistochemistry of paraffin-embedded rat kidney using TIRAP antibody. |
||
Specification |
|||
Quantity |
|
||
| Select | Brand | Catalog No. | Product Name | Pack Size | Type | Field of Research | Specification | Quantity | Price(USD) | |
| 1 | Leading Biology | APR03440G | ITGA11 Antibody (N-term) | 100 μl | Polyclonal Antibodies |
|
$495.00 | Add Ask | ||
| 2 | Leading Biology | APR04537G | CMIP Antibody (C-term) | 100 μl | Polyclonal Antibodies |
|
$495.00 | Add Ask | ||
| 3 | Leading Biology | APR12422G | Human H4 Histamine Receptor (extracellular) Antibody | 50 μl | Polyclonal Antibodies |
|
$695.00 | Add Ask | ||
| 4 | Leading Biology | APR03844G | UBE2W Antibody (C-term) | 100 μl | Polyclonal Antibodies |
|
$495.00 | Add Ask | ||
| 5 | Leading Biology | APR04349G | HECTD2 Antibody (N-term) | 100 μl | Polyclonal Antibodies |
|
$495.00 | Add Ask | ||
| 6 | Leading Biology | APR03502G | IGHG1 Antibody (Center) | 100 μl | Polyclonal Antibodies |
|
$495.00 | Add Ask |
Leading Biology Inc.
2600 Hilltop DR, Building G, B Suite C138
Richmond, CA, 94806
Tel: 1-661-524(LBI)-0262
Email: info@leadingbiology.com
Complete this form and click send to ask us a question, request a quote or simply say hello.

You have 0 item in your cart

You have 0 item in your inquiry list