> Antigen, Antibodies, ELISA, Western Blot > Primary Antibody > Polyclonal Antibodies > CEBPA Polyclonal AntibodyBrand |
Leading Biology | Catalog Number |
APR17579N |
Product Type |
Polyclonal Antibodies | Field of Research |
Cardiovascular>Lipids |
Product Overview |
We constantly strive to ensure we provide our customers with the best antibodies. As a result of this work we offer this antibody in purified format.
We are in the process of updating our datasheets. If you have any questions regarding this update, please feel free to contact our technical support team.
This product is a high quality CEBPA Polyclonal Antibody.
|
||
Molecular Weight |
Calculated MW:
25kDa/35kDa/37kDa/41kDa
Observed MW:
41kDa
|
||
Species Reactivity |
Rabbit
|
||
Immunogen |
Recombinant fusion protein of human CEBPA (NP_004355.2).
|
||
Cross Reactivity |
Human,Mouse,Rat
|
||
Isotype |
IgG
|
||
GeneID |
|||
UniProt ID |
|||
Purity |
Affinity purification |
||
Storage & Stability |
Store at +4°C short term. For long-term storage, aliquot and store at -20°C or below. Stable for 12 months at -20°C. Avoid repeated freeze-thaw cycles.
|
||
Storage Buffer |
Buffer: PBS with 50% glycerol, pH7.3.
|
||
Applications |
WB,IHC
|
||
Dilution |
WB 1:500 - 1:2000
IHC 1:50 - 1:200
|
||
Product Description |
This intronless gene encodes a transcription factor that contains a basic leucine zipper (bZIP) domain and recognizes the CCAAT motif in the promoters of target genes. The encoded protein functions in homodimers and also heterodimers with CCAAT/enhancer-binding proteins beta and gamma. Activity of this protein can modulate the expression of genes involved in cell cycle regulation as well as in body weight homeostasis. Mutation of this gene is associated with acute myeloid leukemia. The use of alternative in-frame non-AUG (GUG) and AUG start codons results in protein isoforms with different lengths. Differential translation initiation is mediated by an out-of-frame, upstream open reading frame which is located between the GUG and the first AUG start codons.
|
||
Synonyms |
CEBPA; C/EBP-alpha; CEBP; CCAAT/enhancer-binding protein alpha
|
||
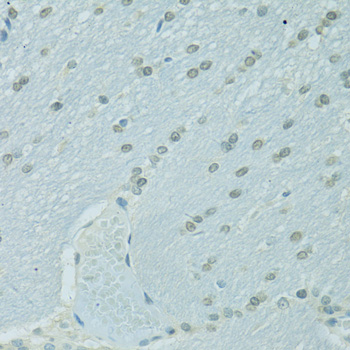
Images |
Western blot analysis of extracts of mouse lung, using CEBPA antibody.
Immunohistochemistry of paraffin-embedded rat liver using CEBPA antibody.
Immunohistochemistry of paraffin-embedded rat brain using CEBPA antibody. |
||
Specification |
|||
Quantity |
|
||
| Select | Brand | Catalog No. | Product Name | Pack Size | Type | Field of Research | Specification | Quantity | Price(USD) | |
| 1 | Leading Biology | APR03440G | ITGA11 Antibody (N-term) | 100 μl | Polyclonal Antibodies |
|
$495.00 | Add Ask | ||
| 2 | Leading Biology | APR04537G | CMIP Antibody (C-term) | 100 μl | Polyclonal Antibodies |
|
$495.00 | Add Ask | ||
| 3 | Leading Biology | APR12422G | Human H4 Histamine Receptor (extracellular) Antibody | 50 μl | Polyclonal Antibodies |
|
$695.00 | Add Ask | ||
| 4 | Leading Biology | APR03844G | UBE2W Antibody (C-term) | 100 μl | Polyclonal Antibodies |
|
$495.00 | Add Ask | ||
| 5 | Leading Biology | APR04349G | HECTD2 Antibody (N-term) | 100 μl | Polyclonal Antibodies |
|
$495.00 | Add Ask | ||
| 6 | Leading Biology | APR03502G | IGHG1 Antibody (Center) | 100 μl | Polyclonal Antibodies |
|
$495.00 | Add Ask |
Leading Biology Inc.
2600 Hilltop DR, Building G, B Suite C138
Richmond, CA, 94806
Tel: 1-661-524(LBI)-0262
Email: info@leadingbiology.com
Complete this form and click send to ask us a question, request a quote or simply say hello.

You have 0 item in your cart

You have 0 item in your inquiry list