> Antigen, Antibodies, ELISA, Western Blot > Primary Antibody > Polyclonal Antibodies > MYH9 Polyclonal AntibodyBrand |
Leading Biology | Catalog Number |
APR17319N |
Product Type |
Polyclonal Antibodies | Field of Research |
Cell Biology & Developmental Biology>Cytoskeleton |
Product Overview |
We constantly strive to ensure we provide our customers with the best antibodies. As a result of this work we offer this antibody in purified format.
We are in the process of updating our datasheets. If you have any questions regarding this update, please feel free to contact our technical support team.
This product is a high quality MYH9 Polyclonal Antibody.
|
||
Molecular Weight |
Calculated MW:
159kDa/226kDa
Observed MW:
250kDa
|
||
Species Reactivity |
Rabbit
|
||
Immunogen |
Recombinant fusion protein of human MYH9 (NP_002464.1).
|
||
Cross Reactivity |
Human,Mouse
|
||
Isotype |
IgG
|
||
GeneID |
|||
UniProt ID |
|||
Purity |
Affinity purification |
||
Storage & Stability |
Store at +4°C short term. For long-term storage, aliquot and store at -20°C or below. Stable for 12 months at -20°C. Avoid repeated freeze-thaw cycles.
|
||
Storage Buffer |
Buffer: PBS with 50% glycerol, pH7.3.
|
||
Applications |
WB,IHC
|
||
Dilution |
WB 1:1000 - 1:2000
IHC 1:50 - 1:100
|
||
Product Description |
This gene encodes a conventional non-muscle myosin; this protein should not be confused with the unconventional myosin-9a or 9b (MYO9A or MYO9B). The encoded protein is a myosin IIA heavy chain that contains an IQ domain and a myosin head-like domain which is involved in several important functions, including cytokinesis, cell motility and maintenance of cell shape. Defects in this gene have been associated with non-syndromic sensorineural deafness autosomal dominant type 17, Epstein syndrome, Alport syndrome with macrothrombocytopenia, Sebastian syndrome, Fechtner syndrome and macrothrombocytopenia with progressive sensorineural deafness.
|
||
Synonyms |
MYH9; BDPLT6; DFNA17; EPSTS; FTNS; MHA; NMHC-II-A; NMMHC-IIA; NMMHCA; myosin-9
|
||
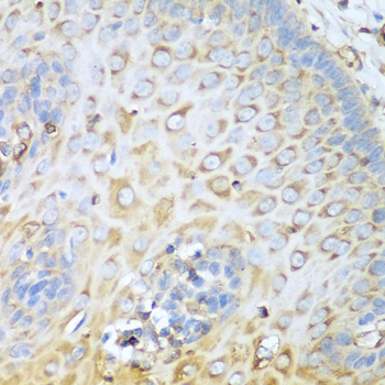
Images |
Western blot analysis of extracts of various cell lines, using MYH9 antibody.
Immunohistochemistry of paraffin-embedded human esophagus using MYH9 antibody.
Immunohistochemistry of paraffin-embedded human stomach using MYH9 antibody. |
||
Specification |
|||
Quantity |
|
||
| Select | Brand | Catalog No. | Product Name | Pack Size | Type | Field of Research | Specification | Quantity | Price(USD) | |
| 1 | Leading Biology | APR03440G | ITGA11 Antibody (N-term) | 100 μl | Polyclonal Antibodies |
|
$495.00 | Add Ask | ||
| 2 | Leading Biology | APR04537G | CMIP Antibody (C-term) | 100 μl | Polyclonal Antibodies |
|
$495.00 | Add Ask | ||
| 3 | Leading Biology | APR12422G | Human H4 Histamine Receptor (extracellular) Antibody | 50 μl | Polyclonal Antibodies |
|
$695.00 | Add Ask | ||
| 4 | Leading Biology | APR03844G | UBE2W Antibody (C-term) | 100 μl | Polyclonal Antibodies |
|
$495.00 | Add Ask | ||
| 5 | Leading Biology | APR04349G | HECTD2 Antibody (N-term) | 100 μl | Polyclonal Antibodies |
|
$495.00 | Add Ask | ||
| 6 | Leading Biology | APR03502G | IGHG1 Antibody (Center) | 100 μl | Polyclonal Antibodies |
|
$495.00 | Add Ask |
Leading Biology Inc.
2600 Hilltop DR, Building G, B Suite C138
Richmond, CA, 94806
Tel: 1-661-524(LBI)-0262
Email: info@leadingbiology.com
Complete this form and click send to ask us a question, request a quote or simply say hello.

You have 0 item in your cart

You have 0 item in your inquiry list