> Antigen, Antibodies, ELISA, Western Blot > Primary Antibody > Polyclonal Antibodies > Human Orai1 (extracellular) AntibodyBrand |
Leading Biology | Catalog Number |
APR07895G |
Product Type |
Polyclonal Antibodies | Field of Research |
|
Product Overview |
We constantly strive to ensure we provide our customers with the best antibodies. As a result of this work we offer this antibody in purified format.
We are in the process of updating our datasheets. If you have any questions regarding this update, please feel free to contact our technical support team.
This product is a high quality Human Orai1 (extracellular) antibody.
|
||
Molecular Weight |
127685 Da
|
||
Host |
Rabbit
|
||
Species Reactivity |
Human
|
||
Target |
Peptide (C)KKQPGQPRPTSK, corresponding to amino acid residues 203-214 of human Orai1 (Accession Q96D31). 2nd extracellular loop.Will not recognize mouse or rat Orai1.
|
||
GeneID |
|||
UniProt ID |
|||
Summary |
The mammalian melastatin-related transient receptor potential (TRPM) is a subfamily of the TRP family. The family was named afterthe first member, melastatin (TRPM1), whose gene was identified in metastatic and benign melanomas.1 The TRPM proteins share structural homology with other members of the TRP superfamily channels; six putative transmembrane domains, and cytoplasmic N-terminus and C-terminus. However, due to theirlong N-terminus and C-terminus they were also named the long TRP channel family.1The TRPM family consists of eight members designated as TRPM1-8 that can be further divided into four pairs: TRPM1 and TRPM3; TRPM2 and TRPM8; TRPM4 and TRPM5; and TRPM6 and TRPM7.1The TRPM8 channel is the cold and menthol receptor activated by either cold temperatures(~28°C) or menthol.2TRPM8 is expressed in dorsal root ganglia (DRGs) where about 5%-10% of the small diameter DRG neurons express the channel.3,4 In DRGs, TRPM8 expressing neurons do not express the TRPV1 channel.5 Overexpression of TRPM8 was found in prostate cancer cells. However, the physiological and pathological roles that these cells play is still elusive.6 In prostate, it was suggested that TRPM8 mightplay a possible role in the progression of cancer to the metastatic stage.6Abgent is pleased to offer a highly specific antibody directed against an extracellular epitope of human TRPM8. Anti-TRPM8 (extracellular) antibody (#ACC-049) can be used in western blot analysis, immunoprecipitation, immunohistochemical and immunocytochemical applications. It recognizes TRPM8 from human, rat and mouse samples.
|
||
Form |
Affinity purified antibody, Liquid |
||
Storage & Stability |
Store at +4°C short term. For long-term storage, aliquot and store at -20°C or below. Stable for 12 months at -20°C. Avoid repeated freeze-thaw cycles.
|
||
Applications |
WB
|
||
Dilution |
WB~~1:200-1:2000
IHC~~1:100
ICC~~1:500
|
||
Synonyms |
Transient receptor potential cation channel subfamily M member 8, Long transient receptor potential channel 6, LTrpC-6, LTrpC6, Transient receptor potential p8, Trp-p8, TRPM8, LTRPC6, TRPP8
|
||
Images |
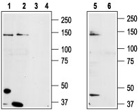
Western blot analysis of prostate carcinoma cell lines; DU145 (lanes 1,3), LNCaP (lanes 2,4) and mouse-TRPM8 transfected HEK-293 (lanes 5,6) cell lysates : 1,2,5. Anti-TRPM8 (extracellular) antibody ( ACC-049), (1:200). 3,4,6. Anti-TRPM8 (extracellular) antibody, preincubated with the control peptide antigen.
Expression of TRPM8 in rat DRG Immunohistochemical staining of rat dorsal root ganglion (DRG) frozen sections using Anti-TRPM8 (extracellular) antibody ( ACC-049), (1:100). TRPM8 is expressed in DRG neurons. Hoechst 33342 is used as the counterstain.
Expression of TRPM8 in LNCaP prostate carcinoma cell line Immunocytochemical staining of LNCaP cells with Anti-TRPM8 (extracellular) antibody ( ACC-049). A. Extracellular staining of intact LNCaP cells with Anti-TRPM8 (extracellular) antibody (1:100), followed by goat anti-rabbit-AlexaFluor-550 (red), (x100). B. Intracellular staining of LNCaP cells with Anti-TRPM8 (extracellular) antibody (1:1000), followed by goat anti-rabbit-AlexaFluor-488 (green), (x100). |
||
Specification |
|||
Quantity |
|
||
| Select | Brand | Catalog No. | Product Name | Pack Size | Type | Field of Research | Specification | Quantity | Price(USD) | |
| 1 | Leading Biology | APR03440G | ITGA11 Antibody (N-term) | 100 μl | Polyclonal Antibodies |
|
$495.00 | Add Ask | ||
| 2 | Leading Biology | APR04537G | CMIP Antibody (C-term) | 100 μl | Polyclonal Antibodies |
|
$495.00 | Add Ask | ||
| 3 | Leading Biology | APR12422G | Human H4 Histamine Receptor (extracellular) Antibody | 50 μl | Polyclonal Antibodies |
|
$695.00 | Add Ask | ||
| 4 | Leading Biology | APR03844G | UBE2W Antibody (C-term) | 100 μl | Polyclonal Antibodies |
|
$495.00 | Add Ask | ||
| 5 | Leading Biology | APR04349G | HECTD2 Antibody (N-term) | 100 μl | Polyclonal Antibodies |
|
$495.00 | Add Ask | ||
| 6 | Leading Biology | APR03502G | IGHG1 Antibody (Center) | 100 μl | Polyclonal Antibodies |
|
$495.00 | Add Ask |
Leading Biology Inc.
2600 Hilltop DR, Building G, B Suite C138
Richmond, CA, 94806
Tel: 1-661-524(LBI)-0262
Email: info@leadingbiology.com
Complete this form and click send to ask us a question, request a quote or simply say hello.

You have 0 item in your cart

You have 0 item in your inquiry list