> Antigen, Antibodies, ELISA, Western Blot > Primary Antibody > Polyclonal Antibodies > NKCC1 (extracellular) AntibodyBrand |
Leading Biology | Catalog Number |
AMM06702G |
Product Type |
Polyclonal Antibodies | Field of Research |
|
Product Overview |
We constantly strive to ensure we provide our customers with the best antibodies. As a result of this work we offer this antibody in purified format.
We are in the process of updating our datasheets. If you have any questions regarding this update, please feel free to contact our technical support team.
This product is a high quality NKCC1 (extracellular) antibody.
|
||
Molecular Weight |
131447 Da
|
||
Host |
Rabbit
|
||
Species Reactivity |
Human, Mouse, Rat
|
||
Target |
Peptide (C)RRQAMKEMSIDQAK, corresponding to amino acid residues 828-841 of human NKCC1 (Accession P55011). 6th extracellular loop.
|
||
GeneID |
|||
UniProt ID |
|||
Summary |
The Na-K-Cl cotransporters are a class of membrane proteins that transport Na, K, and Cl ions into and out of cells in an electrically neutral manner, in most cases with a stoichiometry of 1Na+:1K+:2Cl-. Na-K-Cl cotransporters are present in a wide variety of cells and tissues, including reabsorptive and secretory epithelia, nerve and muscle cells, endothelial cells, fibroblasts, and blood cells. Na-K-Cl cotransport plays a vital role in renal salt reabsorption and in salt secretion by intestinal, airway, salivary gland, and other secretory epithelia1. Na-K-Cl cotransport activity is inhibited by "loop" diuretics, including the clinically efficacious agents, bumetanide and furosemide. The regulation of Na-K-Cl cotransport is mediated, at least in some cases, through direct phosphorylation of the cotransport protein2.NKCC1 is one of two Na-K-Cl cotransporter isoforms that have been identified. NKCC1 is present in a wide variety of secretory epithelia and non-epithelial cells3. NKCC1 is expressed in virtually all mammalian cells and is thought to play a housekeeping role in cell volume homeostasis and the common control of cytosolic ion content. NKCC1 does not use ATP but operates using electrochemical gradient for Na+ and K+ produced by Na+-K+-ATPase4. There is considerable evidence that uptake of Cl− in immature neurons is mediated by NKCC1. High expression of NKCC1 in immature neurons plays an important role in maintaining high intracellular Cl−5.
|
||
Form |
Affinity purified antibody, Liquid |
||
Storage & Stability |
Store at +4°C short term. For long-term storage, aliquot and store at -20°C or below. Stable for 12 months at -20°C. Avoid repeated freeze-thaw cycles.
|
||
Applications |
WB, LCI
|
||
Dilution |
WB~~1:200-1:2000
IHC~~1:100
ICC~~1:50
|
||
Synonyms |
Solute carrier family 12 member 2, Basolateral Na-K-Cl symporter, Bumetanide-sensitive sodium-(potassium)-chloride cotransporter 1, SLC12A2, NKCC1
|
||
Images |
Western blot analysis of rat brain membranes (lanes 1 and 4), mouse brain membranes (lanes 2 and 5) and rat lung lysate (lanes 3 and 6): 1-3. Anti-NKCC1 (extracellular) antibody ( AMM06702G), (1:200). 4-6. Anti-NKCC1 (extracellular) antibody, preincubated with the control peptide antigen.
Expression of NKCC1 in rat cerebellum Immunohistochemical staining of immersion-fixed, free floating rat brain frozen sections using Anti-NKCC1 (extracellular) antibody ( AMM06702G), (1:100). A. NKCC1 staining (red) is detected in the cerebellar molecular layer (Mol). B. DAPI counterstain (blue) reveals the outline of cerebellar layers. C. Merge of the two images.
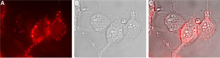
Expression of NKCC1 in human U-87 MG cells Immunocytochemical staining of live intact human U-87 MG glioblastoma cells. A. Extracellular staining of cells with Anti-NKCC1 (extracellular) antibody ( AMM06702G), (1:50), followed by goat anti-rabbit-AlexaFluor-594 secondary antibody (red). B. Live view of the cells. C. Merge of the two pictures. |
||
Specification |
|||
Quantity |
|
||
| Select | Brand | Catalog No. | Product Name | Pack Size | Type | Field of Research | Specification | Quantity | Price(USD) | |
| 1 | Leading Biology | APR03440G | ITGA11 Antibody (N-term) | 100 μl | Polyclonal Antibodies |
|
$495.00 | Add Ask | ||
| 2 | Leading Biology | APR04537G | CMIP Antibody (C-term) | 100 μl | Polyclonal Antibodies |
|
$495.00 | Add Ask | ||
| 3 | Leading Biology | APR12422G | Human H4 Histamine Receptor (extracellular) Antibody | 50 μl | Polyclonal Antibodies |
|
$695.00 | Add Ask | ||
| 4 | Leading Biology | APR03844G | UBE2W Antibody (C-term) | 100 μl | Polyclonal Antibodies |
|
$495.00 | Add Ask | ||
| 5 | Leading Biology | APR04349G | HECTD2 Antibody (N-term) | 100 μl | Polyclonal Antibodies |
|
$495.00 | Add Ask | ||
| 6 | Leading Biology | APR03502G | IGHG1 Antibody (Center) | 100 μl | Polyclonal Antibodies |
|
$495.00 | Add Ask |
Leading Biology Inc.
2600 Hilltop DR, Building G, B Suite C138
Richmond, CA, 94806
Tel: 1-661-524(LBI)-0262
Email: info@leadingbiology.com
Complete this form and click send to ask us a question, request a quote or simply say hello.

You have 0 item in your cart

You have 0 item in your inquiry list