> Antigen, Antibodies, ELISA, Western Blot > Primary Antibody > Polyclonal Antibodies > DBX2 AntibodyBrand |
Leading Biology | Catalog Number |
APR11702G |
Product Type |
Polyclonal Antibodies | Field of Research |
|
Product Overview |
We constantly strive to ensure we provide our customers with the best antibodies. As a result of this work we offer this antibody in purified format.
We are in the process of updating our datasheets. If you have any questions regarding this update, please feel free to contact our technical support team.
This product is a high quality DBX2 antibody.
|
||
Molecular Weight |
36555 Da
|
||
Cellular Localization |
Antigen Cellular Localization:
Nucleus {ECO:0000255|PROSITE- ProRule:PRU00108}
|
||
Host |
Rabbit
|
||
Species Reactivity |
Human
|
||
Target |
DBX2; DBX2 antibody is human specific. At least two isoforms of DBX2 are known to exist; this antibody will only detect the shortest isoform.
|
||
Isotype |
IgG
|
||
GeneID |
|||
UniProt ID |
|||
Summary |
DBX2 Antibody: DBX2 is a member of the developing brain homeobox (DBX) protein family, but while the related protein DBX1 is expressed in various regions of the developing brain, DBX2 shows a more restricted pattern of expression in the brain, and is also expressed in some mesenchymal cells such as limb buds and tooth germs. It is thought that DBX1 and DBX2 promote the development of a subset of interneurons, some of which help mediate left-right coordination of locomotor activity. In Xenopus, DBX2 is involved in primary neurogenesis and early neural plate patterning, and is thought to act as a cross-repressive partner of NKX6-2 in the patterning of the ventral neural tube.
|
||
Form |
Liquid |
||
Storage & Stability |
Store at +4°C short term. For long-term storage, aliquot and store at -20°C or below. Stable for 12 months at -20°C. Avoid repeated freeze-thaw cycles.
|
||
Applications |
WB, IHC-P, IF, E
|
||
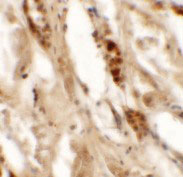
Images |
Western blot analysis of WDR18 in rat lung tissue lysate with WDR18 antibody at (A) 1 and (B) 2 μg/mL.
Immunohistochemistry of DBX2 in human kidney tissue with DBX2 antibody at 5 μg/mL.
Immunofluorescence of DBX2 in human kidney tissue with DBX2 antibody at 20 μg/mL. |
||
Specification |
|||
Quantity |
|
||
| Select | Brand | Catalog No. | Product Name | Pack Size | Type | Field of Research | Specification | Quantity | Price(USD) | |
| 1 | Leading Biology | APR03440G | ITGA11 Antibody (N-term) | 100 μl | Polyclonal Antibodies |
|
$495.00 | Add Ask | ||
| 2 | Leading Biology | APR04537G | CMIP Antibody (C-term) | 100 μl | Polyclonal Antibodies |
|
$495.00 | Add Ask | ||
| 3 | Leading Biology | APR12422G | Human H4 Histamine Receptor (extracellular) Antibody | 50 μl | Polyclonal Antibodies |
|
$695.00 | Add Ask | ||
| 4 | Leading Biology | APR03844G | UBE2W Antibody (C-term) | 100 μl | Polyclonal Antibodies |
|
$495.00 | Add Ask | ||
| 5 | Leading Biology | APR04349G | HECTD2 Antibody (N-term) | 100 μl | Polyclonal Antibodies |
|
$495.00 | Add Ask | ||
| 6 | Leading Biology | APR03502G | IGHG1 Antibody (Center) | 100 μl | Polyclonal Antibodies |
|
$495.00 | Add Ask |
Leading Biology Inc.
2600 Hilltop DR, Building G, B Suite C138
Richmond, CA, 94806
Tel: 1-661-524(LBI)-0262
Email: info@leadingbiology.com
Complete this form and click send to ask us a question, request a quote or simply say hello.

You have 0 item in your cart

You have 0 item in your inquiry list