> Antigen, Antibodies, ELISA, Western Blot > Primary Antibody > Polyclonal Antibodies > PTCHD2 AntibodyBrand |
Leading Biology | Catalog Number |
AMR09592G |
Product Type |
Polyclonal Antibodies | Field of Research |
|
Product Overview |
We constantly strive to ensure we provide our customers with the best antibodies. As a result of this work we offer this antibody in purified format.
We are in the process of updating our datasheets. If you have any questions regarding this update, please feel free to contact our technical support team.
This product is a high quality PTCHD2 antibody.
|
||
Molecular Weight |
153048 Da
|
||
Cellular Localization |
Antigen Cellular Localization:
Membrane; Multi-pass membrane protein
|
||
Host |
Rabbit
|
||
Species Reactivity |
Human, Mouse, Rat
|
||
Target |
PTCHD2; At least two isoforms of PTCHD2 are known to exist. This antibody is specific for PTCHD2 and will not recognize the other DISP family of proteins.
|
||
Isotype |
IgG
|
||
Symbol |
DISP3, KIAA1337
|
||
GeneID |
|||
UniProt ID |
|||
Summary |
PTCHD2 Antibody: PTCHD2, also known as DISP3, is the third of three known homologs of the D. melanogaster protein Dispatched. It is a multi-transmembrane protein containing two PTCH/DISP domains and is thought to be involved in the release of lipid-anchored secreted proteins. Like DISP1 and DISP2, DISP3 has been implicated in signaling pathways during embryogenesis, tissue regeneration, and carcinogenesis. It is highly expressed in Purkinje cells, hippocampal neurons, and retinal ganglion cells. Recently, it has been shown that PTCHD2 localizes within the endoplasmic reticulum and colocalizes with cholesterol, and given that its expression is regulated by thyroid hormone (T3), it has been suggested that DISP3 may be a link between thyroid hormone and cholesterol metabolism.
|
||
Form |
Liquid |
||
Storage & Stability |
Store at +4°C short term. For long-term storage, aliquot and store at -20°C or below. Stable for 12 months at -20°C. Avoid repeated freeze-thaw cycles.
|
||
Applications |
WB, IHC-P, IF, E
|
||
Images |
Western blot analysis of PTCHD2 in mouse kidney tissue lysate with PTCHD2 antibody at (A) 1 and (B) 2 μg/mL.
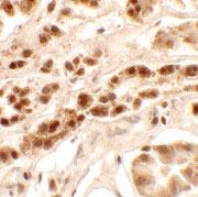
Immunohistochemistry of PTCHD2 in human kidney tissue with PTCHD2 antibody at 2.5 μg/mL.
Immunofluorescence of PTCHD2 in human kidney tissue with PTCHD2 antibody at 20 μg/mL. |
||
Specification |
|||
Quantity |
|
||
| Select | Brand | Catalog No. | Product Name | Pack Size | Type | Field of Research | Specification | Quantity | Price(USD) | |
| 1 | Leading Biology | APR03440G | ITGA11 Antibody (N-term) | 100 μl | Polyclonal Antibodies |
|
$495.00 | Add Ask | ||
| 2 | Leading Biology | APR04537G | CMIP Antibody (C-term) | 100 μl | Polyclonal Antibodies |
|
$495.00 | Add Ask | ||
| 3 | Leading Biology | APR12422G | Human H4 Histamine Receptor (extracellular) Antibody | 50 μl | Polyclonal Antibodies |
|
$695.00 | Add Ask | ||
| 4 | Leading Biology | APR03844G | UBE2W Antibody (C-term) | 100 μl | Polyclonal Antibodies |
|
$495.00 | Add Ask | ||
| 5 | Leading Biology | APR04349G | HECTD2 Antibody (N-term) | 100 μl | Polyclonal Antibodies |
|
$495.00 | Add Ask | ||
| 6 | Leading Biology | APR03502G | IGHG1 Antibody (Center) | 100 μl | Polyclonal Antibodies |
|
$495.00 | Add Ask |
Leading Biology Inc.
2600 Hilltop DR, Building G, B Suite C138
Richmond, CA, 94806
Tel: 1-661-524(LBI)-0262
Email: info@leadingbiology.com
Complete this form and click send to ask us a question, request a quote or simply say hello.

You have 0 item in your cart

You have 0 item in your inquiry list