> Antigen, Antibodies, ELISA, Western Blot > Primary Antibody > Polyclonal Antibodies > TFF3 AntibodyBrand |
Leading Biology | Catalog Number |
AMM08177G |
Product Type |
Polyclonal Antibodies | Field of Research |
|
Product Overview |
We constantly strive to ensure we provide our customers with the best antibodies. As a result of this work we offer this antibody in purified format.
We are in the process of updating our datasheets. If you have any questions regarding this update, please feel free to contact our technical support team.
This product is a high quality TFF3 antibody.
|
||
Molecular Weight |
Predicted: 10 kDa Observed: 11 kDa
|
||
Cellular Localization |
Antigen Cellular Localization:
Secreted, extracellular space, extracellular matrix. Cytoplasm
|
||
Host |
Rabbit
|
||
Species Reactivity |
Human, Mouse, Rat
|
||
Target |
TFF3; TFF3 antibody is predicted to not cross-react with other TFF family members.
|
||
Isotype |
IgG
|
||
Symbol |
ITF, TFI
|
||
GeneID |
|||
UniProt ID |
|||
Function |
Involved in the maintenance and repair of the intestinal mucosa. Promotes the mobility of epithelial cells in healing processes (motogen).
|
||
Summary |
TFF3 Antibody: Trefoil peptides are protease resistant molecules secreted throughout the gut that play a role in mucosal healing. Trefoil peptides contain three intrachain disulfide bonds, forming the trefoil motif, or P-domain and clustered in human chromosome 21q22.3. Trefoil Factor 3 (TFF3) is one of three trefoil peptides secreted by epithelial cells that line mucus membranes in the large and small intestines and lower respiratory tract. TFF3 is mainly active as a disulfide-linked homodimer and may have a role in promoting cell migration in healing processes. It is involved in the maintenance and repair of the intestinal mucosa.
|
||
Form |
Liquid |
||
Storage & Stability |
Store at +4°C short term. For long-term storage, aliquot and store at -20°C or below. Stable for 12 months at -20°C. Avoid repeated freeze-thaw cycles.
|
||
Applications |
WB, IHC-P, IF, E
|
||
Images |
Western blot analysis of TFF3 in human colon tissue lysate with TFF3 antibody at 1 μg/mL in (A) the absence and (B) the presence of blocking peptide.
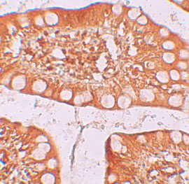
Immunohistochemistry of TFF3 in human small intestine tissue with TFF3 antibody at 2.5 μg/mL.
Immunofluorescence of TFF3 in Human Small Intestine tissue with TFF3 antibody at 20 μg/mL. |
||
Specification |
|||
Quantity |
|
||
| Select | Brand | Catalog No. | Product Name | Pack Size | Type | Field of Research | Specification | Quantity | Price(USD) | |
| 1 | Leading Biology | APR03440G | ITGA11 Antibody (N-term) | 100 μl | Polyclonal Antibodies |
|
$495.00 | Add Ask | ||
| 2 | Leading Biology | APR04537G | CMIP Antibody (C-term) | 100 μl | Polyclonal Antibodies |
|
$495.00 | Add Ask | ||
| 3 | Leading Biology | APR12422G | Human H4 Histamine Receptor (extracellular) Antibody | 50 μl | Polyclonal Antibodies |
|
$695.00 | Add Ask | ||
| 4 | Leading Biology | APR03844G | UBE2W Antibody (C-term) | 100 μl | Polyclonal Antibodies |
|
$495.00 | Add Ask | ||
| 5 | Leading Biology | APR04349G | HECTD2 Antibody (N-term) | 100 μl | Polyclonal Antibodies |
|
$495.00 | Add Ask | ||
| 6 | Leading Biology | APR03502G | IGHG1 Antibody (Center) | 100 μl | Polyclonal Antibodies |
|
$495.00 | Add Ask |
Leading Biology Inc.
2600 Hilltop DR, Building G, B Suite C138
Richmond, CA, 94806
Tel: 1-661-524(LBI)-0262
Email: info@leadingbiology.com
Complete this form and click send to ask us a question, request a quote or simply say hello.

You have 0 item in your cart

You have 0 item in your inquiry list