> Antigen, Antibodies, ELISA, Western Blot > Primary Antibody > Polyclonal Antibodies > Lin28 AntibodyBrand |
Leading Biology | Catalog Number |
AMM06296G |
Product Type |
Polyclonal Antibodies | Field of Research |
|
Product Overview |
We constantly strive to ensure we provide our customers with the best antibodies. As a result of this work we offer this antibody in purified format.
We are in the process of updating our datasheets. If you have any questions regarding this update, please feel free to contact our technical support team.
This product is a high quality Lin28 antibody.
|
||
Molecular Weight |
22743 Da
|
||
Cellular Localization |
Antigen Cellular Localization:
Cytoplasm. Nucleus, nucleolus. Note=Nucleolar localization observed in 10-15% of the nuclei in differentiated myotubes (By similarity). Shuttles between the cytoplasm and the nucleus. Localizes to cytoplasmic processing bodies and stress granules.
|
||
Host |
Rabbit
|
||
Species Reactivity |
Human
|
||
Target |
LIN28;
|
||
Isotype |
IgG
|
||
Symbol |
CSDD1, LIN28, ZCCHC1
|
||
GeneID |
|||
UniProt ID |
|||
Function |
Acts as a 'translational enhancer', driving specific mRNAs to polysomes and thus increasing the efficiency of protein synthesis. Its association with the translational machinery and target mRNAs results in an increased number of initiation events per molecule of mRNA and, indirectly, in stabilizing the mRNAs. Binds IGF2 mRNA, MYOD1 mRNA, ARBP/36B4 ribosomal protein mRNA and its own mRNA. Essential for skeletal muscle differentiation program through the translational up-regulation of IGF2 expression (By similarity). Acts as a suppressor of microRNA (miRNA) biogenesis by specifically binding the precursor let-7 (pre-let- 7), a miRNA precursor. Acts by binding pre-let-7 and recruiting ZCCHC11/TUT4 uridylyltransferase, leading to the terminal uridylation of pre-let-7. Uridylated pre-let-7 miRNAs fail to be processed by Dicer and undergo degradation. Degradation of pre- let-7 in embryonic stem (ES) cells contributes to the maintenance of ES cells. In contrast, LIN28A down-regulation in neural stem cells by miR-125, allows the processing of pre-let-7. Specifically recognizes the 5'-GGAG-3' motif in the terminal loop of pre-let-7. Also recognizes and binds non pre-let-7 pre-miRNAs that contain the 5'-GGAG-3' motif in the terminal loop, leading to their terminal uridylation and subsequent degradation.
|
||
Summary |
Lin28 Antibody: Lin28 is a transcription factor that was first identified through its key role in the pathway of developmental timing in C. elegans. The role of Lin28 in development suggested that it might be useful in the creation of stem cells that might be beneficial in cell replacement therapies in the treatment of several degenerative diseases. Artificial stem cells, termed induced pluripotent stem (iPS) cells, can be created by expressing Lin28 in addition to the transcription factors POU5F1, Sox2, and NANOG in mouse fibroblasts. More recently, experiments have demonstrated that iPS cells could be generated using expression plasmids expressing Lin28, Sox2, POU5F1 and c-Myc, eliminating the need for virus introduction, thereby addressing a safety concern for potential use of iPS cells in regenerative medicine.
|
||
Form |
Liquid |
||
Storage & Stability |
Store at +4°C short term. For long-term storage, aliquot and store at -20°C or below. Stable for 12 months at -20°C. Avoid repeated freeze-thaw cycles.
|
||
Applications |
WB, IHC-P, IF, E
|
||
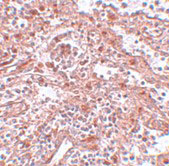
Images |
Western blot analysis of Lin28 in Raji cell lysate with Lin28 antibody at (A) 1 and (B) 2 μg/mL.
Immunohistochemistry of KLF4 in human spleen tissue with KLF4 antibody at 5 μg/mL.
Immunofluorescence of LIN28 in human spleen tissue with LIN28 antibody at 20 μg/mL. |
||
Specification |
|||
Quantity |
|
||
| Select | Brand | Catalog No. | Product Name | Pack Size | Type | Field of Research | Specification | Quantity | Price(USD) | |
| 1 | Leading Biology | APR03440G | ITGA11 Antibody (N-term) | 100 μl | Polyclonal Antibodies |
|
$495.00 | Add Ask | ||
| 2 | Leading Biology | APR04537G | CMIP Antibody (C-term) | 100 μl | Polyclonal Antibodies |
|
$495.00 | Add Ask | ||
| 3 | Leading Biology | APR12422G | Human H4 Histamine Receptor (extracellular) Antibody | 50 μl | Polyclonal Antibodies |
|
$695.00 | Add Ask | ||
| 4 | Leading Biology | APR03844G | UBE2W Antibody (C-term) | 100 μl | Polyclonal Antibodies |
|
$495.00 | Add Ask | ||
| 5 | Leading Biology | APR04349G | HECTD2 Antibody (N-term) | 100 μl | Polyclonal Antibodies |
|
$495.00 | Add Ask | ||
| 6 | Leading Biology | APR03502G | IGHG1 Antibody (Center) | 100 μl | Polyclonal Antibodies |
|
$495.00 | Add Ask |
Leading Biology Inc.
2600 Hilltop DR, Building G, B Suite C138
Richmond, CA, 94806
Tel: 1-661-524(LBI)-0262
Email: info@leadingbiology.com
Complete this form and click send to ask us a question, request a quote or simply say hello.

You have 0 item in your cart

You have 0 item in your inquiry list