> Antigen, Antibodies, ELISA, Western Blot > Primary Antibody > Polyclonal Antibodies > SATB2 AntibodyBrand |
Leading Biology | Catalog Number |
APR13197G |
Product Type |
Polyclonal Antibodies | Field of Research |
|
Product Overview |
We constantly strive to ensure we provide our customers with the best antibodies. As a result of this work we offer this antibody in purified format.
We are in the process of updating our datasheets. If you have any questions regarding this update, please feel free to contact our technical support team.
This product is a high quality SATB2 antibody.
|
||
Molecular Weight |
82555 Da
|
||
Cellular Localization |
Antigen Cellular Localization:
Nucleus matrix {ECO:0000255|PROSITE- ProRule:PRU00108, ECO:0000255|PROSITE-ProRule:PRU00374, ECO:0000269|PubMed:14701874}
|
||
Host |
Rabbit
|
||
Species Reactivity |
Human, Mouse, Rat
|
||
Target |
SATB2; At least two isoforms of SATB2 are known to exist. This SATB2 antibody will not cross-react with SATB1.
|
||
Isotype |
IgG
|
||
Symbol |
KIAA1034
|
||
GeneID |
|||
UniProt ID |
|||
Function |
Binds to DNA, at nuclear matrix- or scaffold-associated regions. Thought to recognize the sugar-phosphate structure of double-stranded DNA. Transcription factor controlling nuclear gene expression, by binding to matrix attachment regions (MARs) of DNA and inducing a local chromatin-loop remodeling. Acts as a docking site for several chromatin remodeling enzymes and also by recruiting corepressors (HDACs) or coactivators (HATs) directly to promoters and enhancers. Required for the initiation of the upper- layer neurons (UL1) specific genetic program and for the inactivation of deep-layer neurons (DL) and UL2 specific genes, probably by modulating BCL11B expression. Repressor of Ctip2 and regulatory determinant of corticocortical connections in the developing cerebral cortex. May play an important role in palate formation. Acts as a molecular node in a transcriptional network regulating skeletal development and osteoblast differentiation.
|
||
Summary |
SATB2 Antibody: Human special AT-rich sequence-binding protein-2 (SATB2) is a nuclear matrix/scaffold-associated region DNA-binding protein. Like its homolog SATB1, SATB2 selectively binds double-stranded, special AT-rich DNA sequences, but is expressed primarily in a subset of postmitotic, differentiating neurons in the neocortex. Mice deficient in SATB exhibit craniofacial abnormalities and defects in osteoblast differentiation and function. SATB2 also interacts with and enhances the activity of Runx2 and ATF4, two transcription factors that regulate osteoblast differentiation, indicating that SATB2 acts as a molecular node in a transcriptional network regulating skeletal development and osteoblast differentiation. Recent experiments have shown that SATB2 interacts with histone deacetylase 1 and metastasis-associated protein 2, two proteins that are involved in chromatin remodeling, suggesting that SATB2 may also be involved in mediating epigenetic influences during cortical development.
|
||
Form |
Liquid |
||
Storage & Stability |
Store at +4°C short term. For long-term storage, aliquot and store at -20°C or below. Stable for 12 months at -20°C. Avoid repeated freeze-thaw cycles.
|
||
Applications |
WB, IHC-P, IF, E
|
||
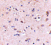
Images |
Western blot analysis of SATB2 in A20 cell lysate with SATB2 antibody at (A) 2 and (B) 4 μg/mL.
Immunohistochemistry of SATB2 in human brain with SATB2 antibody at 5 μg/mL.
Immunofluorescence of SATB2 in Human Brain cells with SATB2 antibody at 50 μg/mL. |
||
Specification |
|||
Quantity |
|
||
| Select | Brand | Catalog No. | Product Name | Pack Size | Type | Field of Research | Specification | Quantity | Price(USD) | |
| 1 | Leading Biology | APR03440G | ITGA11 Antibody (N-term) | 100 μl | Polyclonal Antibodies |
|
$495.00 | Add Ask | ||
| 2 | Leading Biology | APR04537G | CMIP Antibody (C-term) | 100 μl | Polyclonal Antibodies |
|
$495.00 | Add Ask | ||
| 3 | Leading Biology | APR12422G | Human H4 Histamine Receptor (extracellular) Antibody | 50 μl | Polyclonal Antibodies |
|
$695.00 | Add Ask | ||
| 4 | Leading Biology | APR03844G | UBE2W Antibody (C-term) | 100 μl | Polyclonal Antibodies |
|
$495.00 | Add Ask | ||
| 5 | Leading Biology | APR04349G | HECTD2 Antibody (N-term) | 100 μl | Polyclonal Antibodies |
|
$495.00 | Add Ask | ||
| 6 | Leading Biology | APR03502G | IGHG1 Antibody (Center) | 100 μl | Polyclonal Antibodies |
|
$495.00 | Add Ask |
Leading Biology Inc.
2600 Hilltop DR, Building G, B Suite C138
Richmond, CA, 94806
Tel: 1-661-524(LBI)-0262
Email: info@leadingbiology.com
Complete this form and click send to ask us a question, request a quote or simply say hello.

You have 0 item in your cart

You have 0 item in your inquiry list