> Antigen, Antibodies, ELISA, Western Blot > Primary Antibody > Polyclonal Antibodies > LGI1 AntibodyBrand |
Leading Biology | Catalog Number |
AMM06269G |
Product Type |
Polyclonal Antibodies | Field of Research |
|
Product Overview |
We constantly strive to ensure we provide our customers with the best antibodies. As a result of this work we offer this antibody in purified format.
We are in the process of updating our datasheets. If you have any questions regarding this update, please feel free to contact our technical support team.
This product is a high quality LGI1 antibody.
|
||
Molecular Weight |
63818 Da
|
||
Cellular Localization |
Antigen Cellular Localization:
Secreted. Cell junction, synapse. Note=Isoform 1 but not isoform 2 is secreted. Isoform 1 is enriched in the Golgi apparatus while isoform 2 accumulates in the endoplasmic reticulum
|
||
Host |
Rabbit
|
||
Species Reactivity |
Human, Mouse, Rat
|
||
Target |
LGI1; This LGI1 antibody is predicted to be specific to LGI1 and not recognize other LGI proteins.
|
||
Isotype |
IgG
|
||
Symbol |
EPT
|
||
GeneID |
|||
UniProt ID |
|||
Function |
Regulates voltage-gated potassium channels assembled from KCNA1, KCNA4 and KCNAB1. It slows down channel inactivation by precluding channel closure mediated by the KCNAB1 subunit. Ligand for ADAM22 that positively regulates synaptic transmission mediated by AMPA-type glutamate receptors (By similarity). Plays a role in suppressing the production of MMP1/3 through the phosphatidylinositol 3-kinase/ERK pathway. May play a role in the control of neuroblastoma cell survival.
|
||
Summary |
LGI1 Antibody: The leucine-rich, glioma inactivated gene 1 (LGI1) was first identified as a candidate tumor suppressor gene for glioma and may play a role in other cancers. LGI1 is a member of a family of highly related proteins containing leucine-rich repeats (LRRs) which are highly similar to other transmembrane signaling molecules and receptors. LGI1 serves as a ligand to ADAM22, a metalloprotease localized at the synapse. Mutations in LGI1 account for nearly half of autodominant lateral temporal epilepsy (ADTLE), an epileptic syndrome characterized by focal seizures with predominant auditory symptoms. Two isoforms of LGI1 are known to exist; this LGI1 antibody will recognize only the longer form.
|
||
Form |
Liquid |
||
Storage & Stability |
Store at +4°C short term. For long-term storage, aliquot and store at -20°C or below. Stable for 12 months at -20°C. Avoid repeated freeze-thaw cycles.
|
||
Applications |
WB, IHC-P, IF, E
|
||
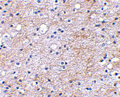
Images |
Western blot analysis of LGI1 in HeLa cell lysate with LGI1 antibody at 2 μg/mL.
Immunohistochemical staining of human brain tissue using LGI1 antibody at 2.5 μg/mL.
Immunofluorescence of LGI1 in Human Brain cells with LGI1 antibody at 20 μg/mL. |
||
Specification |
|||
Quantity |
|
||
| Select | Brand | Catalog No. | Product Name | Pack Size | Type | Field of Research | Specification | Quantity | Price(USD) | |
| 1 | Leading Biology | APR03440G | ITGA11 Antibody (N-term) | 100 μl | Polyclonal Antibodies |
|
$495.00 | Add Ask | ||
| 2 | Leading Biology | APR04537G | CMIP Antibody (C-term) | 100 μl | Polyclonal Antibodies |
|
$495.00 | Add Ask | ||
| 3 | Leading Biology | APR12422G | Human H4 Histamine Receptor (extracellular) Antibody | 50 μl | Polyclonal Antibodies |
|
$695.00 | Add Ask | ||
| 4 | Leading Biology | APR03844G | UBE2W Antibody (C-term) | 100 μl | Polyclonal Antibodies |
|
$495.00 | Add Ask | ||
| 5 | Leading Biology | APR04349G | HECTD2 Antibody (N-term) | 100 μl | Polyclonal Antibodies |
|
$495.00 | Add Ask | ||
| 6 | Leading Biology | APR03502G | IGHG1 Antibody (Center) | 100 μl | Polyclonal Antibodies |
|
$495.00 | Add Ask |
Leading Biology Inc.
2600 Hilltop DR, Building G, B Suite C138
Richmond, CA, 94806
Tel: 1-661-524(LBI)-0262
Email: info@leadingbiology.com
Complete this form and click send to ask us a question, request a quote or simply say hello.

You have 0 item in your cart

You have 0 item in your inquiry list