> Antigen, Antibodies, ELISA, Western Blot > Primary Antibody > Polyclonal Antibodies > SIRT2 AntibodyBrand |
Leading Biology | Catalog Number |
AMM07822G |
Product Type |
Polyclonal Antibodies | Field of Research |
|
Product Overview |
We constantly strive to ensure we provide our customers with the best antibodies. As a result of this work we offer this antibody in purified format.
We are in the process of updating our datasheets. If you have any questions regarding this update, please feel free to contact our technical support team.
This product is a high quality SIRT2 antibody.
|
||
Molecular Weight |
Predicted: 43 kDa Observed: 52 kDa
|
||
Cellular Localization |
Antigen Cellular Localization:
Nucleus. Cytoplasm, perinuclear region. Cytoplasm. Cytoplasm, cytoskeleton. Cytoplasm, cytoskeleton, microtubule organizing center, centrosome. Cytoplasm, cytoskeleton, microtubule organizing center, centrosome, centriole. Cytoplasm, cytoskeleton, spindle. Midbody. Chromosome Perikaryon. Cell projection. Cell projection, growth cone. Myelin membrane. Note=Deacetylates FOXO3 in the cytoplasm Colocalizes with PLP1 in internodal regions, at paranodal axoglial junction and Schmidt-Lanterman incisures of myelin sheat Colocalizes with CDK5R1 in the perikaryon, neurites and growth cone of hippocampal neurons. Colocalizes with alpha-tubulin in neuronal growth cone. Localizes in the cytoplasm and nucleus of germinal vesicle (GV) stage oocytes. Colocalizes with alpha- tubulin on the meiotic spindle as the oocytes enter into metaphase, and also during meiotic anaphase and telophase, especially with the midbody. Colocalizes with PARD3 in internodal region of axons. Colocalizes with acetylated alpha-tubulin in cell projection processes during primary oligodendrocyte precursor (OLP) differentiation (By similarity). Localizes in the cytoplasm during most of the cell cycle except in the G2/M transition and during mitosis, where it is localized in association with chromatin and induces deacetylation of histone at 'Lys-16' (H4K16ac). Colocalizes with SETD8 at mitotic foci. Colocalizes with CDK1 at centrosome during prophase and splindle fibers during metaphase. Colocalizes with Aurora kinase AURKA at centrosome during early prophase and in the centrioles and growing mitotic spindle throughout metaphase. Colocalizes with Aurora kinase AURKB during cytokinesis with the midbody. Colocalizes with microtubules. Detected in perinuclear foci that may be aggresomes containing misfolded, ubiquitinated proteins. Shuttles between the cytoplasm and the nucleus through the CRM1 export pathway Colocalizes with EP300 in the nucleus. Translocates to the nucleus and chromatin upon bacterium Listeria monocytogenes infection in interphase cells. Isoform 2: Cytoplasm. Nucleus. Note=Predominantly localized in the cytoplasmic
|
||
Host |
Rabbit
|
||
Species Reactivity |
Human, Mouse, Rat
|
||
Target |
SIRT2;
|
||
Isotype |
IgG
|
||
Symbol |
SIR2L, SIR2L2
|
||
GeneID |
|||
UniProt ID |
|||
Function |
NAD-dependent protein deacetylase, which deacetylates internal lysines on histone and alpha-tubulin as well as many other proteins such as key transcription factors. Participates in the modulation of multiple and diverse biological processes such as cell cycle control, genomic integrity, microtubule dynamics, cell differentiation, metabolic networks, and autophagy. Plays a major role in the control of cell cycle progression and genomic stability. Functions in the antephase checkpoint preventing precocious mitotic entry in response to microtubule stress agents, and hence allowing proper inheritance of chromosomes. Positively regulates the anaphase promoting complex/cyclosome (APC/C) ubiquitin ligase complex activity by deacetylating CDC20 and FZR1, then allowing progression through mitosis. Associates both with chromatin at transcriptional start sites (TSSs) and enhancers of active genes. Plays a role in cell cycle and chromatin compaction through epigenetic modulation of the regulation of histone H4 'Lys-20' methylation (H4K20me1) during early mitosis. Specifically deacetylates histone H4 at 'Lys-16' (H4K16ac) between the G2/M transition and metaphase enabling H4K20me1 deposition by SETD8 leading to ulterior levels of H4K20me2 and H4K20me3 deposition throughout cell cycle, and mitotic S-phase progression. Deacetylates SETD8 modulating SETD8 chromatin localization during the mitotic stress response. Deacetylates also histone H3 at 'Lys- 57' (H3K56ac) during the mitotic G2/M transition. Upon bacterium Listeria monocytogenes infection, deacetylates 'Lys-18' of histone H3 in a receptor tyrosine kinase MET- and PI3K/Akt-dependent manner, thereby inhibiting transcriptional activity and promoting late stages of listeria infection. During oocyte meiosis progression, may deacetylate histone H4 at 'Lys-16' (H4K16ac) and alpha-tubulin, regulating spindle assembly and chromosome alignment by influencing microtubule dynamics and kinetochore function. Deacetylates alpha-tubulin at 'Lys-40' and hence controls neuronal motility, oligodendroglial cell arbor projection processes and proliferation of non-neuronal cells. Phosphorylation at Ser-368 by a G1/S-specific cyclin E-CDK2 complex inactivates SIRT2-mediated alpha-tubulin deacetylation, negatively regulating cell adhesion, cell migration and neurite outgrowth during neuronal differentiation. Deacetylates PARD3 and participates in the regulation of Schwann cell peripheral myelination formation during early postnatal development and during postinjury remyelination. Involved in several cellular metabolic pathways. Plays a role in the regulation of blood glucose homeostasis by deacetylating and stabilizing phosphoenolpyruvate carboxykinase PCK1 activity in response to low nutrient availability. Acts as a key regulator in the pentose phosphate pathway (PPP) by deacetylating and activating the glucose-6-phosphate G6PD enzyme, and therefore, stimulates the production of cytosolic NADPH to counteract oxidative damage. Maintains energy homeostasis in response to nutrient deprivation as well as energy expenditure by inhibiting adipogenesis and promoting lipolysis. Attenuates adipocyte differentiation by deacetylating and promoting FOXO1 interaction to PPARG and subsequent repression of PPARG-dependent transcriptional activity. Plays a role in the regulation of lysosome-mediated degradation of protein aggregates by autophagy in neuronal cells. Deacetylates FOXO1 in response to oxidative stress or serum deprivation, thereby negatively regulating FOXO1- mediated autophagy. Deacetylates a broad range of transcription factors and co-regulators regulating target gene expression. Deacetylates transcriptional factor FOXO3 stimulating the ubiquitin ligase SCF(SKP2)-mediated FOXO3 ubiquitination and degradation. Deacetylates HIF1A and therefore promotes HIF1A degradation and inhibition of HIF1A transcriptional activity in tumor cells in response to hypoxia. Deacetylates RELA in the cytoplasm inhibiting NF-kappaB-dependent transcription activation upon TNF-alpha stimulation. Inhibits transcriptional activation by deacetylating p53/TP53 and EP300. Deacetylates also EIF5A. Functions as a negative regulator on oxidative stress-tolerance in response to anoxia-reoxygenation conditions. Plays a role as tumor suppressor. Isoform 2: Deacetylates EP300, alpha-tubulin and histone H3 and H4.
|
||
Summary |
SIRT2 Antibody: The founding member of the sirtuin protein family was the silent information regulator 2 protein (Sir2p) of Saccharomyces cervisiae, an NAD+-dependent histone deacetylase (HDAC) that regulates chromatin silencing. The SIR2 family of genes are highly conserved from prokaryotes to eukaryotes. Mammals have seven homologs of Sir2p, SIRT1-7, which are involved in diverse processes ranging from transcriptional regulation, cell cycle progression and DNA-damage repair to aging. SIRT2 is a predominantly cytoplasmic protein that colocalizes with microtubules and can deacetylate alpha-tubulin and regulate progression through the cell cycle. Most Sirtuins are highly expressed in brain and testis, while Sirt2 expression is higher in fetal relative to adult brain. Recent studies on SIRT2 support the therapeutic utility of inhibitors for the treatment of neurodegenerative diseases such as Parkinson's disease.
|
||
Form |
Liquid |
||
Storage & Stability |
Store at +4°C short term. For long-term storage, aliquot and store at -20°C or below. Stable for 12 months at -20°C. Avoid repeated freeze-thaw cycles.
|
||
Applications |
WB, IHC-P, IF, E
|
||
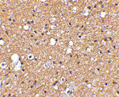
Images |
Western blot analysis of SIRT2 in Mouse brain lysate with SIRT2 antibody at (A) 1 and (B) 2 μg/mL.
Immunohistochemical staining of Human Brain tissue using SIRT2 antibody at 2.5 μg/mL.
Immunofluorescence of SIRT2 in Human Brain tissue with SIRT2 antibody at 5 μg/mL. |
||
Specification |
|||
Quantity |
|
||
| Select | Brand | Catalog No. | Product Name | Pack Size | Type | Field of Research | Specification | Quantity | Price(USD) | |
| 1 | Leading Biology | APR03440G | ITGA11 Antibody (N-term) | 100 μl | Polyclonal Antibodies |
|
$495.00 | Add Ask | ||
| 2 | Leading Biology | APR04537G | CMIP Antibody (C-term) | 100 μl | Polyclonal Antibodies |
|
$495.00 | Add Ask | ||
| 3 | Leading Biology | APR12422G | Human H4 Histamine Receptor (extracellular) Antibody | 50 μl | Polyclonal Antibodies |
|
$695.00 | Add Ask | ||
| 4 | Leading Biology | APR03844G | UBE2W Antibody (C-term) | 100 μl | Polyclonal Antibodies |
|
$495.00 | Add Ask | ||
| 5 | Leading Biology | APR04349G | HECTD2 Antibody (N-term) | 100 μl | Polyclonal Antibodies |
|
$495.00 | Add Ask | ||
| 6 | Leading Biology | APR03502G | IGHG1 Antibody (Center) | 100 μl | Polyclonal Antibodies |
|
$495.00 | Add Ask |
Leading Biology Inc.
2600 Hilltop DR, Building G, B Suite C138
Richmond, CA, 94806
Tel: 1-661-524(LBI)-0262
Email: info@leadingbiology.com
Complete this form and click send to ask us a question, request a quote or simply say hello.

You have 0 item in your cart

You have 0 item in your inquiry list