> Antigen, Antibodies, ELISA, Western Blot > Primary Antibody > Polyclonal Antibodies > SCRAPPER AntibodyBrand |
Leading Biology | Catalog Number |
APR13230G |
Product Type |
Polyclonal Antibodies | Field of Research |
|
Product Overview |
We constantly strive to ensure we provide our customers with the best antibodies. As a result of this work we offer this antibody in purified format.
We are in the process of updating our datasheets. If you have any questions regarding this update, please feel free to contact our technical support team.
This product is a high quality SCRAPPER antibody.
|
||
Molecular Weight |
48423 Da
|
||
Cellular Localization |
Antigen Cellular Localization:
Cytoplasm.
|
||
Host |
Rabbit
|
||
Species Reactivity |
Human, Mouse, Rat
|
||
Target |
FBXL20;
|
||
Isotype |
IgG
|
||
Symbol |
FBL2
|
||
GeneID |
|||
UniProt ID |
|||
Function |
Substrate-recognition component of the SCF (SKP1-CUL1-F- box protein)-type E3 ubiquitin ligase complex. Role in neural transmission (By similarity).
|
||
Summary |
SCRAPPER Antibody: Members of the F-box protein family, such as Scrapper, are characterized by an approximately 40-amino acid F-box motif. SCF complexes, formed by SKP1, cullin, and F-box proteins, act as protein-ubiquitin ligases. Scrapper is selectively expressed in the brain, broadly expressed within the mouse CNS and is abundant at presynaptic membrane. Scrapper has orthologs in C. elegans, D. melanogaster, and mammals which suggests that it might function as an important membrane-localized E3 ligase in various species. Scrapper is a major presynaptic E3 ubiquitin ligase that acts through RIM1a via degradation and the ubiquitin-proteasome-system (UPS) pathway to critically regulate synaptic transmission. This identifies protein degradation as a mechanism for holding synaptic communication in check.
|
||
Form |
Liquid |
||
Storage & Stability |
Store at +4°C short term. For long-term storage, aliquot and store at -20°C or below. Stable for 12 months at -20°C. Avoid repeated freeze-thaw cycles.
|
||
Applications |
WB, IHC-P, E
|
||
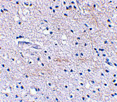
Images |
Western blot analysis of SCRAPPER in A20 cell lysate with SCRAPPER antibody at (A) 0.5 and (B) 1 μg/mL.
Immunohistochemical staining of human brain tissue using Scrapper antibody at 2.5 μg/mL. |
||
Specification |
|||
Quantity |
|
||
| Select | Brand | Catalog No. | Product Name | Pack Size | Type | Field of Research | Specification | Quantity | Price(USD) | |
| 1 | Leading Biology | APR03440G | ITGA11 Antibody (N-term) | 100 μl | Polyclonal Antibodies |
|
$495.00 | Add Ask | ||
| 2 | Leading Biology | APR04537G | CMIP Antibody (C-term) | 100 μl | Polyclonal Antibodies |
|
$495.00 | Add Ask | ||
| 3 | Leading Biology | APR12422G | Human H4 Histamine Receptor (extracellular) Antibody | 50 μl | Polyclonal Antibodies |
|
$695.00 | Add Ask | ||
| 4 | Leading Biology | APR03844G | UBE2W Antibody (C-term) | 100 μl | Polyclonal Antibodies |
|
$495.00 | Add Ask | ||
| 5 | Leading Biology | APR04349G | HECTD2 Antibody (N-term) | 100 μl | Polyclonal Antibodies |
|
$495.00 | Add Ask | ||
| 6 | Leading Biology | APR03502G | IGHG1 Antibody (Center) | 100 μl | Polyclonal Antibodies |
|
$495.00 | Add Ask |
Leading Biology Inc.
2600 Hilltop DR, Building G, B Suite C138
Richmond, CA, 94806
Tel: 1-661-524(LBI)-0262
Email: info@leadingbiology.com
Complete this form and click send to ask us a question, request a quote or simply say hello.

You have 0 item in your cart

You have 0 item in your inquiry list