> Antigen, Antibodies, ELISA, Western Blot > Primary Antibody > Polyclonal Antibodies > APH1 AntibodyBrand |
Leading Biology | Catalog Number |
APR11433G |
Product Type |
Polyclonal Antibodies | Field of Research |
|
Product Overview |
We constantly strive to ensure we provide our customers with the best antibodies. As a result of this work we offer this antibody in purified format.
We are in the process of updating our datasheets. If you have any questions regarding this update, please feel free to contact our technical support team.
This product is a high quality APH1 antibody.
|
||
Molecular Weight |
28996 Da
|
||
Cellular Localization |
Antigen Cellular Localization:
Endoplasmic reticulum membrane; Multi-pass membrane protein. Golgi apparatus, Golgi stack membrane; Multi- pass membrane protein. Note=Predominantly located in the endoplasmic reticulum and in the cis-Golgi
|
||
Host |
Rabbit
|
||
Species Reactivity |
Human, Mouse, Rat
|
||
Target |
APH1A;
|
||
Isotype |
IgG
|
||
Symbol |
PSF
|
||
GeneID |
|||
UniProt ID |
|||
Function |
Essential subunit of the gamma-secretase complex, an endoprotease complex that catalyzes the intramembrane cleavage of integral proteins such as Notch receptors and APP (beta-amyloid precursor protein). It probably represents a stabilizing cofactor for the presenilin homodimer that promotes the formation of a stable complex.
|
||
Summary |
APH1 Antibody: APH1 was initially identified as a component of the Notch pathway in C. elegans. Along with nicastrin, PEN2, and presenilin-1 APH1 is an essential component of the gamma-secretase complex which cleave the amyloid precursor protein (APP) at what are known as the gamma- and epsilon-sites and can lead to the accumulation of the Amyloid beta peptide (Abeta) cleavage product that is associated with Alzheimer's disease. APH1 exists in at least three distinct isoforms with APH1a as the principal isoform present in the gamma-secretase complex. Mice deficient in this isoform, but not the other two, were lethal at E10.5, with impaired vascular and neural development observed.
|
||
Form |
Liquid |
||
Storage & Stability |
Store at +4°C short term. For long-term storage, aliquot and store at -20°C or below. Stable for 12 months at -20°C. Avoid repeated freeze-thaw cycles.
|
||
Applications |
WB, IHC-P, E
|
||
Synonyms |
APH1 Antibody: APH-1, APH-1A, CGI-78, 6530402N02Rik, PSF, UNQ579/PRO1141, Gamma-secretase subunit APH-1A, Aph-1alpha, APH-1a, anterior pharynx defective 1 homolog A (C. elegans)
|
||
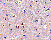
Images |
Western blot analysis of APH1 in human brain tissue lysate with APH1 antibody at (A) 0.5 and (B) 1 μg/mL.
Immunohistochemistry of APH1 in human brain tissue with APH1 antibody at 5 μg/mL. |
||
Specification |
|||
Quantity |
|
||
| Select | Brand | Catalog No. | Product Name | Pack Size | Type | Field of Research | Specification | Quantity | Price(USD) | |
| 1 | Leading Biology | APR03440G | ITGA11 Antibody (N-term) | 100 μl | Polyclonal Antibodies |
|
$495.00 | Add Ask | ||
| 2 | Leading Biology | APR04537G | CMIP Antibody (C-term) | 100 μl | Polyclonal Antibodies |
|
$495.00 | Add Ask | ||
| 3 | Leading Biology | APR12422G | Human H4 Histamine Receptor (extracellular) Antibody | 50 μl | Polyclonal Antibodies |
|
$695.00 | Add Ask | ||
| 4 | Leading Biology | APR03844G | UBE2W Antibody (C-term) | 100 μl | Polyclonal Antibodies |
|
$495.00 | Add Ask | ||
| 5 | Leading Biology | APR04349G | HECTD2 Antibody (N-term) | 100 μl | Polyclonal Antibodies |
|
$495.00 | Add Ask | ||
| 6 | Leading Biology | APR03502G | IGHG1 Antibody (Center) | 100 μl | Polyclonal Antibodies |
|
$495.00 | Add Ask |
Leading Biology Inc.
2600 Hilltop DR, Building G, B Suite C138
Richmond, CA, 94806
Tel: 1-661-524(LBI)-0262
Email: info@leadingbiology.com
Complete this form and click send to ask us a question, request a quote or simply say hello.

You have 0 item in your cart

You have 0 item in your inquiry list