> Antigen, Antibodies, ELISA, Western Blot > Primary Antibody > Polyclonal Antibodies > GBL AntibodyBrand |
Leading Biology | Catalog Number |
APR16090G |
Product Type |
Polyclonal Antibodies | Field of Research |
|
Product Overview |
We constantly strive to ensure we provide our customers with the best antibodies. As a result of this work we offer this antibody in purified format.
We are in the process of updating our datasheets. If you have any questions regarding this update, please feel free to contact our technical support team.
This product is a high quality GBL antibody.
|
||
Molecular Weight |
35876 Da
|
||
Cellular Localization |
Antigen Cellular Localization:
Cytoplasm.
|
||
Host |
Rabbit
|
||
Species Reactivity |
Human, Mouse, Rat
|
||
Target |
MLST8;
|
||
Isotype |
IgG
|
||
Symbol |
GBL, LST8
|
||
GeneID |
|||
UniProt ID |
|||
Function |
Subunit of both mTORC1 and mTORC2, which regulates cell growth and survival in response to nutrient and hormonal signals. mTORC1 is activated in response to growth factors or amino acids. Growth factor-stimulated mTORC1 activation involves a AKT1- mediated phosphorylation of TSC1-TSC2, which leads to the activation of the RHEB GTPase that potently activates the protein kinase activity of mTORC1. Amino acid-signaling to mTORC1 requires its relocalization to the lysosomes mediated by the Ragulator complex and the Rag GTPases. Activated mTORC1 up-regulates protein synthesis by phosphorylating key regulators of mRNA translation and ribosome synthesis. mTORC1 phosphorylates EIF4EBP1 and releases it from inhibiting the elongation initiation factor 4E (eiF4E). mTORC1 phosphorylates and activates S6K1 at 'Thr-389', which then promotes protein synthesis by phosphorylating PDCD4 and targeting it for degradation. Within mTORC1, LST8 interacts directly with MTOR and enhances its kinase activity. In nutrient- poor conditions, stabilizes the MTOR-RPTOR interaction and favors RPTOR-mediated inhibition of MTOR activity. mTORC2 is also activated by growth factors, but seems to be nutrient-insensitive. mTORC2 seems to function upstream of Rho GTPases to regulate the actin cytoskeleton, probably by activating one or more Rho-type guanine nucleotide exchange factors. mTORC2 promotes the serum- induced formation of stress-fibers or F-actin. mTORC2 plays a critical role in AKT1 'Ser-473' phosphorylation, which may facilitate the phosphorylation of the activation loop of AKT1 on 'Thr-308' by PDK1 which is a prerequisite for full activation. mTORC2 regulates the phosphorylation of SGK1 at 'Ser-422'. mTORC2 also modulates the phosphorylation of PRKCA on 'Ser-657'.
|
||
Summary |
GBL Antibody: GbetaL (G protein beta protein subunit-like) is a member of a signaling pathway that regulates mammalian cell growth in response to the presence of nutrients and growth factors. It binds to the kinase domain of TOR (Target of rapamycin, also known as mTOR), an evolutionarily conserved serine/threonine kinase that regulates cell growth and cell cycle through its ability to integrate signals from nutrient levels and growth factors. Rapamycin inhibits TOR resulting in reduced cell growth and reduced rates of cell cycle and cell proliferation. TOR is normally associated with GbetaL and an additional regulatory protein RAPTOR, allowing TOR to control protein biosynthesis. The binding of GbetaL to TOR stimulates TOR's kinase activity towards downstream proteins such as RPS6K (ribosomal protein S6 kinase) and the translation factor 4E-BP1 which leads to increased protein translation and cell growth.
|
||
Form |
Liquid |
||
Storage & Stability |
Store at +4°C short term. For long-term storage, aliquot and store at -20°C or below. Stable for 12 months at -20°C. Avoid repeated freeze-thaw cycles.
|
||
Applications |
WB, IHC-P, IF, E
|
||
Synonyms |
GBL Antibody: GBL, LST8, POP3, WAT1, GbetaL, GBL, Target of rapamycin complex subunit LST8, G protein beta subunit-like, TORC subunit LST8, G protein beta subunit-like
|
||
Images |
Western blot analysis of GbL in human brain cell lysate with GbL antibody at (A) 1 and (B) 2 μg/mL.
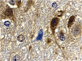
Immunohistochemistry of GbL in mouse brain tissue with GbL antibody at 10 μg/mL.
Immunofluorescence of GBL in Mouse Brain cells with GBL antibody at 10 μg/mL. |
||
Specification |
|||
Quantity |
|
||
| Select | Brand | Catalog No. | Product Name | Pack Size | Type | Field of Research | Specification | Quantity | Price(USD) | |
| 1 | Leading Biology | APR03440G | ITGA11 Antibody (N-term) | 100 μl | Polyclonal Antibodies |
|
$495.00 | Add Ask | ||
| 2 | Leading Biology | APR04537G | CMIP Antibody (C-term) | 100 μl | Polyclonal Antibodies |
|
$495.00 | Add Ask | ||
| 3 | Leading Biology | APR12422G | Human H4 Histamine Receptor (extracellular) Antibody | 50 μl | Polyclonal Antibodies |
|
$695.00 | Add Ask | ||
| 4 | Leading Biology | APR03844G | UBE2W Antibody (C-term) | 100 μl | Polyclonal Antibodies |
|
$495.00 | Add Ask | ||
| 5 | Leading Biology | APR04349G | HECTD2 Antibody (N-term) | 100 μl | Polyclonal Antibodies |
|
$495.00 | Add Ask | ||
| 6 | Leading Biology | APR03502G | IGHG1 Antibody (Center) | 100 μl | Polyclonal Antibodies |
|
$495.00 | Add Ask |
Leading Biology Inc.
2600 Hilltop DR, Building G, B Suite C138
Richmond, CA, 94806
Tel: 1-661-524(LBI)-0262
Email: info@leadingbiology.com
Complete this form and click send to ask us a question, request a quote or simply say hello.

You have 0 item in your cart

You have 0 item in your inquiry list