> Antigen, Antibodies, ELISA, Western Blot > Primary Antibody > Polyclonal Antibodies > DNase II AntibodyBrand |
Leading Biology | Catalog Number |
APR07605G |
Product Type |
Polyclonal Antibodies | Field of Research |
|
Product Overview |
We constantly strive to ensure we provide our customers with the best antibodies. As a result of this work we offer this antibody in purified format.
We are in the process of updating our datasheets. If you have any questions regarding this update, please feel free to contact our technical support team.
This product is a high quality DNase II antibody.
|
||
Molecular Weight |
Aprox: 40 kDa
|
||
Cellular Localization |
Antigen Cellular Localization:
Lysosome.
|
||
Host |
Rabbit
|
||
Species Reactivity |
Human
|
||
Target |
DNASE2;
|
||
Isotype |
IgG
|
||
Symbol |
DNASE2A, DNL2
|
||
GeneID |
|||
UniProt ID |
|||
Function |
Hydrolyzes DNA under acidic conditions with a preference for double-stranded DNA. Plays a major role in the degradation of nuclear DNA in cellular apoptosis during development. Necessary for proper fetal development and for definitive erythropoiesis in fetal liver, where it degrades nuclear DNA expelled from erythroid precursor cells.
|
||
Summary |
DNase II Antibody: Apoptosis is characterized by several morphological nuclear changes including chromatin condensation and nuclear fragmentation. These changes are triggered by the activation of members of caspase family, caspase activated DNase, and several novel proteins including AIF and Acinus. DNase II causes both chromatin condensation and DNA fragmentation. The genes encoding human, porcine, and murine DNase II have been cloned. The DNase II gene encodes a 40 kDa proenzyme. The mature enzyme consists of two non-identical subunits, the 32 kDa (alpha) and 12 kDa (beta) chains, generated by proteolytic processing. Overexpression of DNase II induces chromatin condensation. DNase II is ubiquitously expressed in human tissues.
|
||
Form |
Liquid |
||
Storage & Stability |
Store at +4°C short term. For long-term storage, aliquot and store at -20°C or below. Stable for 12 months at -20°C. Avoid repeated freeze-thaw cycles.
|
||
Applications |
WB, IHC-P, E
|
||
Synonyms |
DNase II Antibody: DNL, DNL2, DNASE2A, Deoxyribonuclease-2-alpha, Acid DNase, DNase II alpha, deoxyribonuclease II, lysosomal
|
||
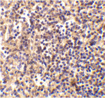
Images |
Western blot analysis of DNase II in human spleen tissue lysate in the absence (lane 1) or presence (lane 2) of blocking peptide with DNase antibody II at 1:500 dilution.
Immunohistochemistry of DNaseII in human spleen tissue with DNaseII antibody at 5 μg/mL. |
||
Specification |
|||
Quantity |
|
||
| Select | Brand | Catalog No. | Product Name | Pack Size | Type | Field of Research | Specification | Quantity | Price(USD) | |
| 1 | Leading Biology | APR03440G | ITGA11 Antibody (N-term) | 100 μl | Polyclonal Antibodies |
|
$495.00 | Add Ask | ||
| 2 | Leading Biology | APR04537G | CMIP Antibody (C-term) | 100 μl | Polyclonal Antibodies |
|
$495.00 | Add Ask | ||
| 3 | Leading Biology | APR12422G | Human H4 Histamine Receptor (extracellular) Antibody | 50 μl | Polyclonal Antibodies |
|
$695.00 | Add Ask | ||
| 4 | Leading Biology | APR03844G | UBE2W Antibody (C-term) | 100 μl | Polyclonal Antibodies |
|
$495.00 | Add Ask | ||
| 5 | Leading Biology | APR04349G | HECTD2 Antibody (N-term) | 100 μl | Polyclonal Antibodies |
|
$495.00 | Add Ask | ||
| 6 | Leading Biology | APR03502G | IGHG1 Antibody (Center) | 100 μl | Polyclonal Antibodies |
|
$495.00 | Add Ask |
Leading Biology Inc.
2600 Hilltop DR, Building G, B Suite C138
Richmond, CA, 94806
Tel: 1-661-524(LBI)-0262
Email: info@leadingbiology.com
Complete this form and click send to ask us a question, request a quote or simply say hello.

You have 0 item in your cart

You have 0 item in your inquiry list