> Antigen, Antibodies, ELISA, Western Blot > Primary Antibody > Polyclonal Antibodies > Metabotropic Glutamate Receptor 2/3 AntibodyBrand |
Leading Biology | Catalog Number |
AMM06383G |
Product Type |
Polyclonal Antibodies | Field of Research |
|
Product Overview |
We constantly strive to ensure we provide our customers with the best antibodies. As a result of this work we offer this antibody in purified format.
We are in the process of updating our datasheets. If you have any questions regarding this update, please feel free to contact our technical support team.
This product is a high quality Metabotropic Glutamate Receptor 2/3 antibody.
|
||
Molecular Weight |
110/220 KDa
|
||
Host |
Rabbit
|
||
Species Reactivity |
Rat
|
||
Target |
Synthetic peptide corresponding to amino acid residues from the C-terminal region conjugated to KLH.
|
||
GeneID |
|||
UniProt ID |
|||
Summary |
The metabotropic glutamate receptors (mGluRs) are key receptors in the modulation of excitatory synaptic transmission in the central nervous system. They are implicated in many forms of neural plasticity as well as learning and memory and drug abuse (Bhattacharya et al., 2004; Francesconi et al., 2004; Wilson and Nicoll, 2001). Group I metabotropic glutamate receptors (consisting of mGluR1 and mGluR5) are G-protein-coupled neurotransmitter receptors that are localized in the perisynaptic region of the postsynaptic membrane. When activated, Group I mGluRs lead to stimulation of phospholipase and activation of Protein Kinase C. In contrast, activation of Group II metabotropic receptors (mGluR2 and mGluR3) leads to inhibition of adenylate cyclase. The mGluR2 subunit has been shown to be required for long-term potentiation at the mossy fiber input in the hippocampus (Yokoi et al., 1996).
|
||
Form |
Prepared from rabbit serum by affinity purification using a column to which the peptide immunogen was coupled. |
||
Storage & Stability |
Store at +4°C short term. For long-term storage, aliquot and store at -20°C or below. Stable for 12 months at -20°C. Avoid repeated freeze-thaw cycles.
|
||
Applications |
WB, IHC
|
||
Dilution |
IHC~~1:500
WB~~ 1:1000
|
||
Synonyms |
Metabotropic glutamate receptor 2, mGluR2, Grm2, Gprc1b, Mglur2
|
||
Images |
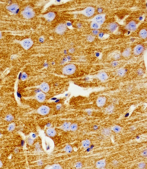
Immunohistochemical analysis of paraffin-embedded R. brain section using Metabotropic Glutamate Receptor 2/3 Antibody ( AMM06383G). AMM06383G was diluted at 1:500 dilution. A peroxidase-conjugated goat anti-rabbit IgG at 1:400 dilution was used as the secondary antibody, followed by DAB staining.
Immunohistochemical analysis of paraffin-embedded H. brain section using Metabotropic Glutamate Receptor 2/3 Antibody ( AMM06383G). AMM06383G was diluted at 1:500 dilution. A peroxidase-conjugated goat anti-rabbit IgG at 1:400 dilution was used as the secondary antibody, followed by DAB staining.
Immunohistochemical analysis of paraffin-embedded M. brain section using Metabotropic Glutamate Receptor 2/3 Antibody ( AMM06383G). AMM06383G was diluted at 1:500 dilution. A peroxidase-conjugated goat anti-rabbit IgG at 1:400 dilution was used as the secondary antibody, followed by DAB staining. |
||
Specification |
|||
Quantity |
|
||
| Select | Brand | Catalog No. | Product Name | Pack Size | Type | Field of Research | Specification | Quantity | Price(USD) | |
| 1 | Leading Biology | APR03440G | ITGA11 Antibody (N-term) | 100 μl | Polyclonal Antibodies |
|
$495.00 | Add Ask | ||
| 2 | Leading Biology | APR04537G | CMIP Antibody (C-term) | 100 μl | Polyclonal Antibodies |
|
$495.00 | Add Ask | ||
| 3 | Leading Biology | APR12422G | Human H4 Histamine Receptor (extracellular) Antibody | 50 μl | Polyclonal Antibodies |
|
$695.00 | Add Ask | ||
| 4 | Leading Biology | APR03844G | UBE2W Antibody (C-term) | 100 μl | Polyclonal Antibodies |
|
$495.00 | Add Ask | ||
| 5 | Leading Biology | APR04349G | HECTD2 Antibody (N-term) | 100 μl | Polyclonal Antibodies |
|
$495.00 | Add Ask | ||
| 6 | Leading Biology | APR03502G | IGHG1 Antibody (Center) | 100 μl | Polyclonal Antibodies |
|
$495.00 | Add Ask |
Leading Biology Inc.
2600 Hilltop DR, Building G, B Suite C138
Richmond, CA, 94806
Tel: 1-661-524(LBI)-0262
Email: info@leadingbiology.com
Complete this form and click send to ask us a question, request a quote or simply say hello.

You have 0 item in your cart

You have 0 item in your inquiry list