> Antigen, Antibodies, ELISA, Western Blot > Primary Antibody > Polyclonal Antibodies > PRICKLE2 Antibody (Internal)Brand |
Leading Biology | Catalog Number |
APR17849G |
Product Type |
Polyclonal Antibodies | Field of Research |
|
Product Overview |
We constantly strive to ensure we provide our customers with the best antibodies. As a result of this work we offer this antibody in purified format.
We are in the process of updating our datasheets. If you have any questions regarding this update, please feel free to contact our technical support team.
This product is a high quality PRICKLE2 antibody (Internal).
|
||
Molecular Weight |
95615 Da
|
||
Cellular Localization |
Antigen Cellular Localization:
Nucleus membrane.
|
||
Host |
Rabbit
|
||
Species Reactivity |
Human, Mouse, Rat
|
||
Target |
Human PRICKLE2. Two isoforms of PRICKLE2 are known to exist. PRICKLE2 antibody is predicted to not cross-react with other PRICKLE protein family members.
|
||
GeneID |
|||
UniProt ID |
|||
Form |
Liquid |
||
Storage & Stability |
Store at +4°C short term. For long-term storage, aliquot and store at -20°C or below. Stable for 12 months at -20°C. Avoid repeated freeze-thaw cycles.
|
||
Applications |
WB, IHC-P, IF, E
|
||
Dilution |
IF (20 μg/ml), IHC-P (5 μg/ml), WB (1 μg/ml),
|
||
Synonyms |
PRICKLE2, EPM5, Prickle homolog 2 (Drosophila), Prickle-like protein 2, Prickle-like 2 (Drosophila)
|
||
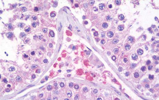
Images |
Anti-PRICKLE2 antibody IHC staining of human testis.
Immunofluorescence of PRICKLE2 in rat brain cells with PRICKLE2 antibody at 20 g/mL.
Western blot analysis of PRICKLE2 in A-20 lysate with PRICKLE2 antibody at 1 ug/ml. |
||
Specification |
|||
Quantity |
|
||
| Select | Brand | Catalog No. | Product Name | Pack Size | Type | Field of Research | Specification | Quantity | Price(USD) | |
| 1 | Leading Biology | APR03440G | ITGA11 Antibody (N-term) | 100 μl | Polyclonal Antibodies |
|
$495.00 | Add Ask | ||
| 2 | Leading Biology | APR04537G | CMIP Antibody (C-term) | 100 μl | Polyclonal Antibodies |
|
$495.00 | Add Ask | ||
| 3 | Leading Biology | APR12422G | Human H4 Histamine Receptor (extracellular) Antibody | 50 μl | Polyclonal Antibodies |
|
$695.00 | Add Ask | ||
| 4 | Leading Biology | APR03844G | UBE2W Antibody (C-term) | 100 μl | Polyclonal Antibodies |
|
$495.00 | Add Ask | ||
| 5 | Leading Biology | APR04349G | HECTD2 Antibody (N-term) | 100 μl | Polyclonal Antibodies |
|
$495.00 | Add Ask | ||
| 6 | Leading Biology | APR03502G | IGHG1 Antibody (Center) | 100 μl | Polyclonal Antibodies |
|
$495.00 | Add Ask |
Leading Biology Inc.
2600 Hilltop DR, Building G, B Suite C138
Richmond, CA, 94806
Tel: 1-661-524(LBI)-0262
Email: info@leadingbiology.com
Complete this form and click send to ask us a question, request a quote or simply say hello.

You have 0 item in your cart

You have 0 item in your inquiry list