> Antigen, Antibodies, ELISA, Western Blot > Primary Antibody > Polyclonal Antibodies > LMX1A Antibody (C-Terminus)Brand |
Leading Biology | Catalog Number |
AMM06316G |
Product Type |
Polyclonal Antibodies | Field of Research |
|
Product Overview |
We constantly strive to ensure we provide our customers with the best antibodies. As a result of this work we offer this antibody in purified format.
We are in the process of updating our datasheets. If you have any questions regarding this update, please feel free to contact our technical support team.
This product is a high quality LMX1A antibody (C-Terminus).
|
||
Molecular Weight |
43kDa
|
||
Cellular Localization |
Antigen Cellular Localization:
Nucleus {ECO:0000255|PROSITE- ProRule:PRU00108}
|
||
Host |
Rabbit
|
||
Species Reactivity |
Human
|
||
Target |
Human LMX1A. At least two isoforms are known to exist. This antibody is predicted to not cross-react with LMX1B.
|
||
GeneID |
|||
UniProt ID |
|||
Function |
Acts as a transcriptional activator by binding to an A/T-rich sequence, the FLAT element, in the insulin gene promoter. Required for development of the roof plate and, in turn, for specification of dorsal cell fates in the CNS and developing vertebrae (By similarity).
|
||
Summary |
Acts as a transcriptional activator by binding to an A/T-rich sequence, the FLAT element, in the insulin gene promoter. Required for development of the roof plate and, in turn, for specification of dorsal cell fates in the CNS and developing vertebrae (By similarity).
|
||
Form |
Liquid |
||
Storage & Stability |
Store at +4°C short term. For long-term storage, aliquot and store at -20°C or below. Stable for 12 months at -20°C. Avoid repeated freeze-thaw cycles.
|
||
Applications |
WB, IHC-P, IF
|
||
Dilution |
IHC-P (5 μg/ml), WB (1-2 μg/ml),
|
||
Synonyms |
LIM homeobox transcription factor 1-alpha, LIM/homeobox protein 1.1, LMX-1.1, LIM/homeobox protein LMX1A, LMX1A
|
||
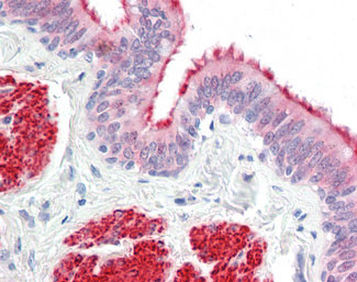
Images |
Anti-LMX1A antibody IHC staining of human lung, bronchiole.
Immunofluorescence of LMX1A in human brain tissue with LMX1A antibody at 20 ug/ml.
Western blot analysis of LMX1A in rat brain tissue lysate with LMX1A antibody at (A) 1 and (B) 2... |
||
Specification |
|||
Quantity |
|
||
| Select | Brand | Catalog No. | Product Name | Pack Size | Type | Field of Research | Specification | Quantity | Price(USD) | |
| 1 | Leading Biology | APR03440G | ITGA11 Antibody (N-term) | 100 μl | Polyclonal Antibodies |
|
$495.00 | Add Ask | ||
| 2 | Leading Biology | APR04537G | CMIP Antibody (C-term) | 100 μl | Polyclonal Antibodies |
|
$495.00 | Add Ask | ||
| 3 | Leading Biology | APR12422G | Human H4 Histamine Receptor (extracellular) Antibody | 50 μl | Polyclonal Antibodies |
|
$695.00 | Add Ask | ||
| 4 | Leading Biology | APR03844G | UBE2W Antibody (C-term) | 100 μl | Polyclonal Antibodies |
|
$495.00 | Add Ask | ||
| 5 | Leading Biology | APR04349G | HECTD2 Antibody (N-term) | 100 μl | Polyclonal Antibodies |
|
$495.00 | Add Ask | ||
| 6 | Leading Biology | APR03502G | IGHG1 Antibody (Center) | 100 μl | Polyclonal Antibodies |
|
$495.00 | Add Ask |
Leading Biology Inc.
2600 Hilltop DR, Building G, B Suite C138
Richmond, CA, 94806
Tel: 1-661-524(LBI)-0262
Email: info@leadingbiology.com
Complete this form and click send to ask us a question, request a quote or simply say hello.

You have 0 item in your cart

You have 0 item in your inquiry list