> Antigen, Antibodies, ELISA, Western Blot > Primary Antibody > Polyclonal Antibodies > TRAPPC6A Antibody (aa31-80)Brand |
Leading Biology | Catalog Number |
AMM08317G |
Product Type |
Polyclonal Antibodies | Field of Research |
|
Product Overview |
We constantly strive to ensure we provide our customers with the best antibodies. As a result of this work we offer this antibody in purified format.
We are in the process of updating our datasheets. If you have any questions regarding this update, please feel free to contact our technical support team.
This product is a high quality TRAPPC6A antibody (aa31-80).
|
||
Molecular Weight |
18kDa
|
||
Cellular Localization |
Antigen Cellular Localization:
Golgi apparatus, cis-Golgi network. Endoplasmic reticulum
|
||
Host |
Rabbit
|
||
Species Reactivity |
Human
|
||
Target |
TRAPPC6A Antibody detects endogenous levels of total TRAPPC6A protein.
|
||
GeneID |
|||
UniProt ID |
|||
Function |
May play a role in vesicular transport during the biogenesis of melanosomes.
|
||
Summary |
May play a role in vesicular transport during the biogenesis of melanosomes.
|
||
Form |
Liquid. In PBS containing 0.02% sodium azide. |
||
Storage & Stability |
Store at +4°C short term. For long-term storage, aliquot and store at -20°C or below. Stable for 12 months at -20°C. Avoid repeated freeze-thaw cycles.
|
||
Applications |
IHC-P, E
|
||
Dilution |
ELISA (1:40000), IHC-P (1:50-1:100),
|
||
Synonyms |
Trafficking protein particle complex subunit 6A, TRAPP complex subunit 6A, TRAPPC6A
|
||
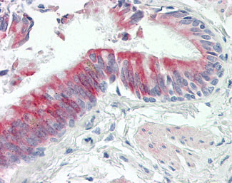
Images |
Anti-TRAPPC6A antibody IHC of human lung, respiratory epithelium. |
||
Specification |
|||
Quantity |
|
||
| Select | Brand | Catalog No. | Product Name | Pack Size | Type | Field of Research | Specification | Quantity | Price(USD) | |
| 1 | Leading Biology | APR03440G | ITGA11 Antibody (N-term) | 100 μl | Polyclonal Antibodies |
|
$495.00 | Add Ask | ||
| 2 | Leading Biology | APR04537G | CMIP Antibody (C-term) | 100 μl | Polyclonal Antibodies |
|
$495.00 | Add Ask | ||
| 3 | Leading Biology | APR12422G | Human H4 Histamine Receptor (extracellular) Antibody | 50 μl | Polyclonal Antibodies |
|
$695.00 | Add Ask | ||
| 4 | Leading Biology | APR03844G | UBE2W Antibody (C-term) | 100 μl | Polyclonal Antibodies |
|
$495.00 | Add Ask | ||
| 5 | Leading Biology | APR04349G | HECTD2 Antibody (N-term) | 100 μl | Polyclonal Antibodies |
|
$495.00 | Add Ask | ||
| 6 | Leading Biology | APR03502G | IGHG1 Antibody (Center) | 100 μl | Polyclonal Antibodies |
|
$495.00 | Add Ask |
Leading Biology Inc.
2600 Hilltop DR, Building G, B Suite C138
Richmond, CA, 94806
Tel: 1-661-524(LBI)-0262
Email: info@leadingbiology.com
Complete this form and click send to ask us a question, request a quote or simply say hello.

You have 0 item in your cart

You have 0 item in your inquiry list