> Antigen, Antibodies, ELISA, Western Blot > Primary Antibody > Polyclonal Antibodies > Syndapin I / PACSIN1 AntibodyBrand |
Leading Biology | Catalog Number |
AMM08058G |
Product Type |
Polyclonal Antibodies | Field of Research |
|
Product Overview |
We constantly strive to ensure we provide our customers with the best antibodies. As a result of this work we offer this antibody in purified format.
We are in the process of updating our datasheets. If you have any questions regarding this update, please feel free to contact our technical support team.
This product is a high quality Syndapin I / PACSIN1 antibody.
|
||
Molecular Weight |
51kDa
|
||
Cellular Localization |
Antigen Cellular Localization:
Cytoplasm. Cell projection. Cell junction, synapse, synaptosome Cell projection, ruffle membrane. Membrane; Peripheral membrane protein. Cytoplasmic vesicle membrane; Peripheral membrane protein. Cell junction, synapse. Cytoplasm, cytosol Cell membrane; Peripheral membrane protein; Cytoplasmic side. Note=Colocalizes with MAPT in axons. In primary neuronal cultures, present at a high level in presynaptic nerve terminals and in the cell body Colocalizes with DNM1 at vesicular structures in the cell body and neurites (By similarity). Associates with membranes via its F-BAR domain.
|
||
Host |
Goat
|
||
Species Reactivity |
Human, Pig
|
||
Target |
Human PACSIN1. Reported variants represent identical protein (NP_065855.1; NP_001186512.1).
|
||
Symbol |
KIAA1379
|
||
GeneID |
|||
UniProt ID |
|||
Function |
Plays a role in the reorganization of the microtubule cytoskeleton via its interaction with MAPT; this decreases microtubule stability and inhibits MAPT-induced microtubule polymerization. Plays a role in cellular transport processes by recruiting DNM1, DNM2 and DNM3 to membranes. Plays a role in the reorganization of the actin cytoskeleton and in neuron morphogenesis via its interaction with COBL and WASL, and by recruiting COBL to the cell cortex. Plays a role in the regulation of neurite formation, neurite branching and the regulation of neurite length. Required for normal synaptic vesicle endocytosis; this process retrieves previously released neurotransmitters to accommodate multiple cycles of neurotransmission. Required for normal excitatory and inhibitory synaptic transmission (By similarity). Binds to membranes via its F-BAR domain and mediates membrane tubulation.
|
||
Summary |
Plays a role in the reorganization of the microtubule cytoskeleton via its interaction with MAPT; this decreases microtubule stability and inhibits MAPT-induced microtubule polymerization. Plays a role in cellular transport processes by recruiting DNM1, DNM2 and DNM3 to membranes. Plays a role in the reorganization of the actin cytoskeleton and in neuron morphogenesis via its interaction with COBL and WASL, and by recruiting COBL to the cell cortex. Plays a role in the regulation of neurite formation, neurite branching and the regulation of neurite length. Required for normal synaptic vesicle endocytosis; this process retrieves previously released neurotransmitters to accommodate multiple cycles of neurotransmission. Required for normal excitatory and inhibitory synaptic transmission (By similarity). Binds to membranes via its F-BAR domain and mediates membrane tubulation.
|
||
Form |
Liquid |
||
Storage & Stability |
Store at +4°C short term. For long-term storage, aliquot and store at -20°C or below. Stable for 12 months at -20°C. Avoid repeated freeze-thaw cycles.
|
||
Applications |
WB, IHC-P, E
|
||
Dilution |
ELISA (1:32000), IHC-P (2.5-3.75 μg/ml), WB (0.03-0.1 μg/ml)
|
||
Synonyms |
Protein kinase C and casein kinase substrate in neurons protein 1, Syndapin-1, PACSIN1, KIAA1379
|
||
Images |
PACSIN1 antibody (1 ug/ml) staining of Human Brain (hippocampus) lysate (35 ug protein/ml in...
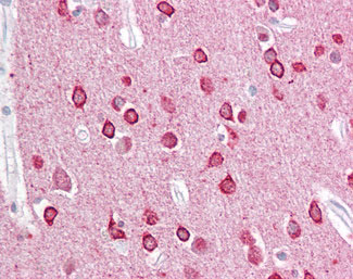
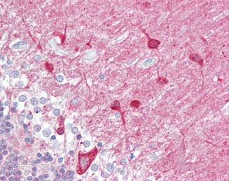
Anti-PACSIN1 antibody IHC of human brain, cerebellum.
Anti-PACSIN1 antibody IHC of human brain, cortex. |
||
Specification |
|||
Quantity |
|
||
| Select | Brand | Catalog No. | Product Name | Pack Size | Type | Field of Research | Specification | Quantity | Price(USD) | |
| 1 | Leading Biology | APR03440G | ITGA11 Antibody (N-term) | 100 μl | Polyclonal Antibodies |
|
$495.00 | Add Ask | ||
| 2 | Leading Biology | APR04537G | CMIP Antibody (C-term) | 100 μl | Polyclonal Antibodies |
|
$495.00 | Add Ask | ||
| 3 | Leading Biology | APR12422G | Human H4 Histamine Receptor (extracellular) Antibody | 50 μl | Polyclonal Antibodies |
|
$695.00 | Add Ask | ||
| 4 | Leading Biology | APR03844G | UBE2W Antibody (C-term) | 100 μl | Polyclonal Antibodies |
|
$495.00 | Add Ask | ||
| 5 | Leading Biology | APR04349G | HECTD2 Antibody (N-term) | 100 μl | Polyclonal Antibodies |
|
$495.00 | Add Ask | ||
| 6 | Leading Biology | APR03502G | IGHG1 Antibody (Center) | 100 μl | Polyclonal Antibodies |
|
$495.00 | Add Ask |
Leading Biology Inc.
2600 Hilltop DR, Building G, B Suite C138
Richmond, CA, 94806
Tel: 1-661-524(LBI)-0262
Email: info@leadingbiology.com
Complete this form and click send to ask us a question, request a quote or simply say hello.

You have 0 item in your cart

You have 0 item in your inquiry list