> Antigen, Antibodies, ELISA, Western Blot > Primary Antibody > Polyclonal Antibodies > GOLPH3 Antibody (N-Terminus)Brand |
Leading Biology | Catalog Number |
APR16450G |
Product Type |
Polyclonal Antibodies | Field of Research |
|
Product Overview |
We constantly strive to ensure we provide our customers with the best antibodies. As a result of this work we offer this antibody in purified format.
We are in the process of updating our datasheets. If you have any questions regarding this update, please feel free to contact our technical support team.
This product is a high quality GOLPH3 antibody (N-Terminus).
|
||
Molecular Weight |
34kDa
|
||
Cellular Localization |
Antigen Cellular Localization:
Golgi apparatus, Golgi stack membrane; Peripheral membrane protein; Cytoplasmic side. Golgi apparatus, trans-Golgi network membrane; Peripheral membrane protein; Cytoplasmic side. Mitochondrion intermembrane space. Cell membrane. Endosome. Note=Phosphatidylinositol 4-phosphate-binding and oligomerization participate in the recruitment onto Golgi membranes.
|
||
Host |
Rabbit
|
||
Species Reactivity |
Human, Mouse, Rat
|
||
Target |
Human GOLPH3
|
||
Symbol |
GPP34
|
||
GeneID |
|||
UniProt ID |
|||
Function |
Phosphatidylinositol-4-phosphate-binding protein that links Golgi membranes to the cytoskeleton and may participate in the tensile force required for vesicle budding from the Golgi. Thereby, may play a role in Golgi membrane trafficking and could indirectly give its flattened shape to the Golgi apparatus. May also bind to the coatomer to regulate Golgi membrane trafficking. May play a role in anterograde transport from the Golgi to the plasma membrane and regulate secretion. Has also been involved in the control of the localization of Golgi enzymes through interaction with their cytoplasmic part. May play an indirect role in cell migration. Has also been involved in the modulation of mTOR signaling. May also be involved in the regulation of mitochondrial lipids biosynthesis.
|
||
Summary |
Phosphatidylinositol-4-phosphate-binding protein that links Golgi membranes to the cytoskeleton and may participate in the tensile force required for vesicle budding from the Golgi. Thereby, may play a role in Golgi membrane trafficking and could indirectly give its flattened shape to the Golgi apparatus. May also bind to the coatomer to regulate Golgi membrane trafficking. May play a role in anterograde transport from the Golgi to the plasma membrane and regulate secretion. Has also been involved in the control of the localization of Golgi enzymes through interaction with their cytoplasmic part. May play an indirect role in cell migration. Has also been involved in the modulation of mTOR signaling. May also be involved in the regulation of mitochondrial lipids biosynthesis.
|
||
Form |
Liquid |
||
Storage & Stability |
Store at +4°C short term. For long-term storage, aliquot and store at -20°C or below. Stable for 12 months at -20°C. Avoid repeated freeze-thaw cycles.
|
||
Applications |
WB, IHC-P, IF, E
|
||
Dilution |
IHC-P (5 μg/ml), WB (0.5-1 μg/ml),
|
||
Synonyms |
Golgi phosphoprotein 3, Coat protein GPP34, Mitochondrial DNA absence factor, MIDAS, GOLPH3, GPP34
|
||
Images |
Immunofluorescence of GOLPH3 in Rat Lung cells with GOLPH3 antibody at 20 ug/ml.
Western blot of GOLPH3 in rat lung tissue lysate with GOLPH3 antibody at (A) 0.5 and (B) 1 ug/ml.
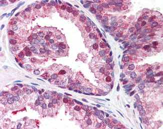
Anti-GOLPH3 antibody IHC of human prostate. |
||
Specification |
|||
Quantity |
|
||
| Select | Brand | Catalog No. | Product Name | Pack Size | Type | Field of Research | Specification | Quantity | Price(USD) | |
| 1 | Leading Biology | APR03440G | ITGA11 Antibody (N-term) | 100 μl | Polyclonal Antibodies |
|
$495.00 | Add Ask | ||
| 2 | Leading Biology | APR04537G | CMIP Antibody (C-term) | 100 μl | Polyclonal Antibodies |
|
$495.00 | Add Ask | ||
| 3 | Leading Biology | APR12422G | Human H4 Histamine Receptor (extracellular) Antibody | 50 μl | Polyclonal Antibodies |
|
$695.00 | Add Ask | ||
| 4 | Leading Biology | APR03844G | UBE2W Antibody (C-term) | 100 μl | Polyclonal Antibodies |
|
$495.00 | Add Ask | ||
| 5 | Leading Biology | APR04349G | HECTD2 Antibody (N-term) | 100 μl | Polyclonal Antibodies |
|
$495.00 | Add Ask | ||
| 6 | Leading Biology | APR03502G | IGHG1 Antibody (Center) | 100 μl | Polyclonal Antibodies |
|
$495.00 | Add Ask |
Leading Biology Inc.
2600 Hilltop DR, Building G, B Suite C138
Richmond, CA, 94806
Tel: 1-661-524(LBI)-0262
Email: info@leadingbiology.com
Complete this form and click send to ask us a question, request a quote or simply say hello.

You have 0 item in your cart

You have 0 item in your inquiry list