> Antigen, Antibodies, ELISA, Western Blot > Primary Antibody > Polyclonal Antibodies > UBE2K / LIG Antibody (C-Terminus)Brand |
Leading Biology | Catalog Number |
APR13899G |
Product Type |
Polyclonal Antibodies | Field of Research |
|
Product Overview |
We constantly strive to ensure we provide our customers with the best antibodies. As a result of this work we offer this antibody in purified format.
We are in the process of updating our datasheets. If you have any questions regarding this update, please feel free to contact our technical support team.
This product is a high quality UBE2K / LIG antibody (C-Terminus).
|
||
Molecular Weight |
22kDa
|
||
Cellular Localization |
Antigen Cellular Localization:
Cytoplasm.
|
||
Host |
Goat
|
||
Species Reactivity |
Human, Mouse, Rat, Rabbit, Zebrafish, Hamster, Monkey, Pig, Chicken, Goat, Horse, Xenopus, Bovine, Dog
|
||
Target |
Human UBE2K / HIP2. This antibody is expected to recognise isoform 1 (NP_005330.1), isoform 2 (NP_001104582.1) and isoform 3 (NP_001104583.1).
|
||
Symbol |
HIP2, LIG
|
||
GeneID |
|||
UniProt ID |
|||
Function |
Accepts ubiquitin from the E1 complex and catalyzes its covalent attachment to other proteins. In vitro, in the presence or in the absence of BRCA1-BARD1 E3 ubiquitin-protein ligase complex, catalyzes the synthesis of 'Lys-48'-linked polyubiquitin chains. Does not transfer ubiquitin directly to but elongates monoubiquitinated substrate protein. Mediates the selective degradation of short-lived and abnormal proteins, such as the endoplasmic reticulum-associated degradation (ERAD) of misfolded lumenal proteins. Ubiquitinates huntingtin. May mediate foam cell formation by the suppression of apoptosis of lipid-bearing macrophages through ubiquitination and subsequence degradation of p53/TP53. Proposed to be involved in ubiquitination and proteolytic processing of NF-kappa-B; in vitro supports ubiquitination of NFKB1. In case of infection by cytomegaloviruses may be involved in the US11-dependent degradation of MHC class I heavy chains following their export from the ER to the cytosol. In case of viral infections may be involved in the HPV E7 protein- dependent degradation of RB1.
|
||
Summary |
Accepts ubiquitin from the E1 complex and catalyzes its covalent attachment to other proteins. In vitro, in the presence or in the absence of BRCA1-BARD1 E3 ubiquitin-protein ligase complex, catalyzes the synthesis of 'Lys-48'-linked polyubiquitin chains. Does not transfer ubiquitin directly to but elongates monoubiquitinated substrate protein. Mediates the selective degradation of short-lived and abnormal proteins, such as the endoplasmic reticulum-associated degradation (ERAD) of misfolded lumenal proteins. Ubiquitinates huntingtin. May mediate foam cell formation by the suppression of apoptosis of lipid-bearing macrophages through ubiquitination and subsequence degradation of p53/TP53. Proposed to be involved in ubiquitination and proteolytic processing of NF-kappa-B; in vitro supports ubiquitination of NFKB1. In case of infection by cytomegaloviruses may be involved in the US11-dependent degradation of MHC class I heavy chains following their export from the ER to the cytosol. In case of viral infections may be involved in the HPV E7 protein- dependent degradation of RB1.
|
||
Form |
Liquid |
||
Storage & Stability |
Store at +4°C short term. For long-term storage, aliquot and store at -20°C or below. Stable for 12 months at -20°C. Avoid repeated freeze-thaw cycles.
|
||
Applications |
WB, IHC-P, E
|
||
Dilution |
ELISA (1:2000), IHC-P (3.75 μg/ml), WB (1:2000)
|
||
Synonyms |
Ubiquitin-conjugating enzyme E2 K, 6.3.2.19, Huntingtin-interacting protein 2, HIP-2, Ubiquitin carrier protein, Ubiquitin-conjugating enzyme E2-25 kDa, Ubiquitin-conjugating enzyme E2(25K), Ubiquitin-conjugating enzyme E2-25K, Ubiquitin-protein ligase, UBE2K, HIP2, LIG
|
||
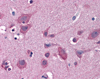
Images |
Anti-UBE2K / HIP2 antibody IHC of human brain, cortex. |
||
Specification |
|||
Quantity |
|
||
| Select | Brand | Catalog No. | Product Name | Pack Size | Type | Field of Research | Specification | Quantity | Price(USD) | |
| 1 | Leading Biology | APR03440G | ITGA11 Antibody (N-term) | 100 μl | Polyclonal Antibodies |
|
$495.00 | Add Ask | ||
| 2 | Leading Biology | APR04537G | CMIP Antibody (C-term) | 100 μl | Polyclonal Antibodies |
|
$495.00 | Add Ask | ||
| 3 | Leading Biology | APR12422G | Human H4 Histamine Receptor (extracellular) Antibody | 50 μl | Polyclonal Antibodies |
|
$695.00 | Add Ask | ||
| 4 | Leading Biology | APR03844G | UBE2W Antibody (C-term) | 100 μl | Polyclonal Antibodies |
|
$495.00 | Add Ask | ||
| 5 | Leading Biology | APR04349G | HECTD2 Antibody (N-term) | 100 μl | Polyclonal Antibodies |
|
$495.00 | Add Ask | ||
| 6 | Leading Biology | APR03502G | IGHG1 Antibody (Center) | 100 μl | Polyclonal Antibodies |
|
$495.00 | Add Ask |
Leading Biology Inc.
2600 Hilltop DR, Building G, B Suite C138
Richmond, CA, 94806
Tel: 1-661-524(LBI)-0262
Email: info@leadingbiology.com
Complete this form and click send to ask us a question, request a quote or simply say hello.

You have 0 item in your cart

You have 0 item in your inquiry list