> Antigen, Antibodies, ELISA, Western Blot > Primary Antibody > Polyclonal Antibodies > MPP5 AntibodyBrand |
Leading Biology | Catalog Number |
AMM06472G |
Product Type |
Polyclonal Antibodies | Field of Research |
|
Product Overview |
We constantly strive to ensure we provide our customers with the best antibodies. As a result of this work we offer this antibody in purified format.
We are in the process of updating our datasheets. If you have any questions regarding this update, please feel free to contact our technical support team.
This product is a high quality MPP5 antibody.
|
||
Molecular Weight |
77kDa
|
||
Cellular Localization |
Antigen Cellular Localization:
Cell membrane; Peripheral membrane protein. Endomembrane system; Peripheral membrane protein. Cell junction, tight junction. Note=Localized to the tight junctions of epithelial cells and a subset of intracellular vesicles. In the retina, detected at the outer limiting membrane (OLM), apical to the adherens junction (AJ), where it colocalizes with CRB1 Colocalizes with MPP1 in the retina at the outer limiting membrane (OLM). Localized to the Purkinje cell body and axon
|
||
Host |
Rabbit
|
||
Species Reactivity |
Human
|
||
Target |
Human MPP5.
|
||
GeneID |
|||
UniProt ID |
|||
Function |
May play a role in tight junctions biogenesis and in the establishment of cell polarity in epithelial cells. May modulate SC6A1/GAT1-mediated GABA uptake by stabilizing the transporter. Required for localization of EZR to the apical membrane of parietal cells and may play a role in the dynamic remodeling of the apical cytoskeleton (By similarity).
|
||
Summary |
May play a role in tight junctions biogenesis and in the establishment of cell polarity in epithelial cells. May modulate SC6A1/GAT1-mediated GABA uptake by stabilizing the transporter. Required for localization of EZR to the apical membrane of parietal cells and may play a role in the dynamic remodeling of the apical cytoskeleton (By similarity).
|
||
Form |
Liquid. In PBS containing 0.02% sodium azide. |
||
Storage & Stability |
Store at +4°C short term. For long-term storage, aliquot and store at -20°C or below. Stable for 12 months at -20°C. Avoid repeated freeze-thaw cycles.
|
||
Applications |
WB, IHC-P
|
||
Dilution |
IHC-P (10 μg/ml), WB (1:500-1:3000),
|
||
Synonyms |
MAGUK p55 subfamily member 5, MPP5
|
||
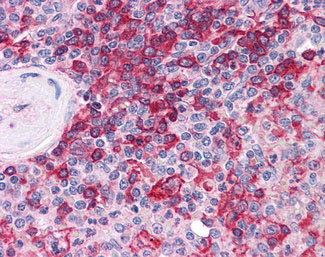
Images |
Sample (30 ug of whole cell lysate). A: 293T. 7.5% SDS PAGE. MPP5 antibody diluted at 1:500.
Anti-MPP5 antibody IHC of human spleen. |
||
Specification |
|||
Quantity |
|
||
| Select | Brand | Catalog No. | Product Name | Pack Size | Type | Field of Research | Specification | Quantity | Price(USD) | |
| 1 | Leading Biology | APR03440G | ITGA11 Antibody (N-term) | 100 μl | Polyclonal Antibodies |
|
$495.00 | Add Ask | ||
| 2 | Leading Biology | APR04537G | CMIP Antibody (C-term) | 100 μl | Polyclonal Antibodies |
|
$495.00 | Add Ask | ||
| 3 | Leading Biology | APR12422G | Human H4 Histamine Receptor (extracellular) Antibody | 50 μl | Polyclonal Antibodies |
|
$695.00 | Add Ask | ||
| 4 | Leading Biology | APR03844G | UBE2W Antibody (C-term) | 100 μl | Polyclonal Antibodies |
|
$495.00 | Add Ask | ||
| 5 | Leading Biology | APR04349G | HECTD2 Antibody (N-term) | 100 μl | Polyclonal Antibodies |
|
$495.00 | Add Ask | ||
| 6 | Leading Biology | APR03502G | IGHG1 Antibody (Center) | 100 μl | Polyclonal Antibodies |
|
$495.00 | Add Ask |
Leading Biology Inc.
2600 Hilltop DR, Building G, B Suite C138
Richmond, CA, 94806
Tel: 1-661-524(LBI)-0262
Email: info@leadingbiology.com
Complete this form and click send to ask us a question, request a quote or simply say hello.

You have 0 item in your cart

You have 0 item in your inquiry list