> Antigen, Antibodies, ELISA, Western Blot > Primary Antibody > Polyclonal Antibodies > BANF1 / BAF / BCRP1 Antibody (C-Terminus)Brand |
Leading Biology | Catalog Number |
APR11004G |
Product Type |
Polyclonal Antibodies | Field of Research |
|
Product Overview |
We constantly strive to ensure we provide our customers with the best antibodies. As a result of this work we offer this antibody in purified format.
We are in the process of updating our datasheets. If you have any questions regarding this update, please feel free to contact our technical support team.
This product is a high quality BANF1 / BAF / BCRP1 antibody (C-Terminus).
|
||
Molecular Weight |
10kDa
|
||
Cellular Localization |
Antigen Cellular Localization:
Nucleus. Cytoplasm. Chromosome. Note=Significantly enriched at the nuclear inner membrane, diffusely throughout the nucleus during interphase and concentrated at the chromosomes during the M-phase May be included in HIV-1 virions via its interaction with viral GAG polyprotein. The phosphorylated form (by VRK1) shows a cytoplasmic localization
|
||
Host |
Rabbit
|
||
Species Reactivity |
Human, Mouse, Rat
|
||
Target |
15 amino acid peptide from near the carboxy terminus of human BANF1.
|
||
Symbol |
BAF, BCRG1
|
||
GeneID |
|||
UniProt ID |
|||
Function |
Plays fundamental roles in nuclear assembly, chromatin organization, gene expression and gonad development. May potently compress chromatin structure and be involved in membrane recruitment and chromatin decondensation during nuclear assembly. Contains 2 non-specific dsDNA-binding sites which may promote DNA cross-bridging. Exploited by retroviruses for inhibiting self- destructing autointegration of retroviral DNA, thereby promoting integration of viral DNA into the host chromosome. EMD and BAF are cooperative cofactors of HIV-1 infection. Association of EMD with the viral DNA requires the presence of BAF and viral integrase. The association of viral DNA with chromatin requires the presence of BAF and EMD.
|
||
Summary |
Plays fundamental roles in nuclear assembly, chromatin organization, gene expression and gonad development. May potently compress chromatin structure and be involved in membrane recruitment and chromatin decondensation during nuclear assembly. Contains 2 non-specific dsDNA-binding sites which may promote DNA cross-bridging. Exploited by retroviruses for inhibiting self- destructing autointegration of retroviral DNA, thereby promoting integration of viral DNA into the host chromosome. EMD and BAF are cooperative cofactors of HIV-1 infection. Association of EMD with the viral DNA requires the presence of BAF and viral integrase. The association of viral DNA with chromatin requires the presence of BAF and EMD.
|
||
Form |
Liquid |
||
Storage & Stability |
Store at +4°C short term. For long-term storage, aliquot and store at -20°C or below. Stable for 12 months at -20°C. Avoid repeated freeze-thaw cycles.
|
||
Applications |
WB, IHC-P
|
||
Dilution |
IHC-P (2.5 μg/ml)
|
||
Synonyms |
Barrier-to-autointegration factor, Breakpoint cluster region protein 1, Barrier-to-autointegration factor, N-terminally processed, BANF1, BAF, BCRG1
|
||
Images |
Western blot of BANF1 in mouse kidney tissue lysate with BANF1 antibody at (A) 0.5, (B) 1 and...
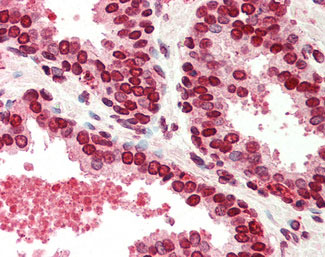
Anti-BANF1 antibody IHC of human prostate. |
||
Specification |
|||
Quantity |
|
||
| Select | Brand | Catalog No. | Product Name | Pack Size | Type | Field of Research | Specification | Quantity | Price(USD) | |
| 1 | Leading Biology | APR03440G | ITGA11 Antibody (N-term) | 100 μl | Polyclonal Antibodies |
|
$495.00 | Add Ask | ||
| 2 | Leading Biology | APR04537G | CMIP Antibody (C-term) | 100 μl | Polyclonal Antibodies |
|
$495.00 | Add Ask | ||
| 3 | Leading Biology | APR12422G | Human H4 Histamine Receptor (extracellular) Antibody | 50 μl | Polyclonal Antibodies |
|
$695.00 | Add Ask | ||
| 4 | Leading Biology | APR03844G | UBE2W Antibody (C-term) | 100 μl | Polyclonal Antibodies |
|
$495.00 | Add Ask | ||
| 5 | Leading Biology | APR04349G | HECTD2 Antibody (N-term) | 100 μl | Polyclonal Antibodies |
|
$495.00 | Add Ask | ||
| 6 | Leading Biology | APR03502G | IGHG1 Antibody (Center) | 100 μl | Polyclonal Antibodies |
|
$495.00 | Add Ask |
Leading Biology Inc.
2600 Hilltop DR, Building G, B Suite C138
Richmond, CA, 94806
Tel: 1-661-524(LBI)-0262
Email: info@leadingbiology.com
Complete this form and click send to ask us a question, request a quote or simply say hello.

You have 0 item in your cart

You have 0 item in your inquiry list