> Antigen, Antibodies, ELISA, Western Blot > Primary Antibody > Polyclonal Antibodies > GFPT1 / GFAT Antibody (C-Terminus)Brand |
Leading Biology | Catalog Number |
AMM04757G |
Product Type |
Polyclonal Antibodies | Field of Research |
|
Product Overview |
We constantly strive to ensure we provide our customers with the best antibodies. As a result of this work we offer this antibody in purified format.
We are in the process of updating our datasheets. If you have any questions regarding this update, please feel free to contact our technical support team.
This product is a high quality GFPT1 / GFAT antibody (C-Terminus).
|
||
Molecular Weight |
79kDa
|
||
Host |
Rabbit
|
||
Species Reactivity |
Human, Mouse, Monkey, Pig, Horse, Bovine, Guinea Pig
|
||
Target |
Human GFPT1. BLAST analysis of the peptide immunogen showed no homology with other human proteins.
|
||
Symbol |
GFAT, GFPT
|
||
GeneID |
|||
UniProt ID |
|||
Function |
Controls the flux of glucose into the hexosamine pathway. Most likely involved in regulating the availability of precursors for N- and O-linked glycosylation of proteins. Regulates the circadian expression of clock genes ARNTL/BMAL1 and CRY1.
|
||
Summary |
Controls the flux of glucose into the hexosamine pathway. Most likely involved in regulating the availability of precursors for N- and O-linked glycosylation of proteins. Regulates the circadian expression of clock genes ARNTL/BMAL1 and CRY1.
|
||
Form |
Liquid |
||
Storage & Stability |
Store at +4°C short term. For long-term storage, aliquot and store at -20°C or below. Stable for 12 months at -20°C. Avoid repeated freeze-thaw cycles.
|
||
Applications |
IHC-P
|
||
Dilution |
IHC-P (2.5-5 μg/ml)
|
||
Synonyms |
Glutamine--fructose-6-phosphate aminotransferase [isomerizing] 1, 2.6.1.16, D-fructose-6-phosphate amidotransferase 1, Glutamine:fructose-6-phosphate amidotransferase 1, GFAT 1, GFAT1, Hexosephosphate aminotransferase 1, GFPT1, GFAT, GFPT
|
||
Images |
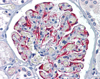
Anti-GFPT1 antibody AMM04757G IHC of human kidney.
Anti-GFPT1 antibody AMM04757G IHC of human liver.
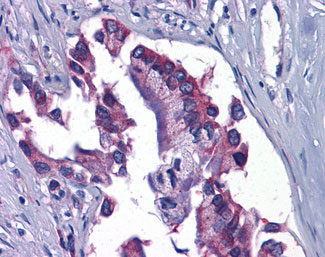
Anti-GFPT1 / GFAT antibody IHC of human Pancreas, Carcinoma. |
||
Specification |
|||
Quantity |
|
||
| Select | Brand | Catalog No. | Product Name | Pack Size | Type | Field of Research | Specification | Quantity | Price(USD) | |
| 1 | Leading Biology | APR03440G | ITGA11 Antibody (N-term) | 100 μl | Polyclonal Antibodies |
|
$495.00 | Add Ask | ||
| 2 | Leading Biology | APR04537G | CMIP Antibody (C-term) | 100 μl | Polyclonal Antibodies |
|
$495.00 | Add Ask | ||
| 3 | Leading Biology | APR12422G | Human H4 Histamine Receptor (extracellular) Antibody | 50 μl | Polyclonal Antibodies |
|
$695.00 | Add Ask | ||
| 4 | Leading Biology | APR03844G | UBE2W Antibody (C-term) | 100 μl | Polyclonal Antibodies |
|
$495.00 | Add Ask | ||
| 5 | Leading Biology | APR04349G | HECTD2 Antibody (N-term) | 100 μl | Polyclonal Antibodies |
|
$495.00 | Add Ask | ||
| 6 | Leading Biology | APR03502G | IGHG1 Antibody (Center) | 100 μl | Polyclonal Antibodies |
|
$495.00 | Add Ask |
Leading Biology Inc.
2600 Hilltop DR, Building G, B Suite C138
Richmond, CA, 94806
Tel: 1-661-524(LBI)-0262
Email: info@leadingbiology.com
Complete this form and click send to ask us a question, request a quote or simply say hello.

You have 0 item in your cart

You have 0 item in your inquiry list