> Antigen, Antibodies, ELISA, Western Blot > Primary Antibody > Polyclonal Antibodies > SLC1A5 / ASCT2 Antibody (Internal)Brand |
Leading Biology | Catalog Number |
APR10003G |
Product Type |
Polyclonal Antibodies | Field of Research |
|
Product Overview |
We constantly strive to ensure we provide our customers with the best antibodies. As a result of this work we offer this antibody in purified format.
We are in the process of updating our datasheets. If you have any questions regarding this update, please feel free to contact our technical support team.
This product is a high quality SLC1A5 / ASCT2 antibody (Internal).
|
||
Molecular Weight |
57kDa
|
||
Cellular Localization |
Antigen Cellular Localization:
Cell membrane; Multi-pass membrane protein. Melanosome. Note=Identified by mass spectrometry in melanosome fractions from stage I to stage IV
|
||
Host |
Rabbit
|
||
Species Reactivity |
Human, Monkey
|
||
Target |
Human SLC1A5. BLAST analysis of the peptide immunogen showed no homology with other human proteins.
|
||
Symbol |
ASCT2, M7V1, RDR, RDRC
|
||
GeneID |
|||
UniProt ID |
|||
Function |
Sodium-dependent amino acids transporter that has a broad substrate specificity, with a preference for zwitterionic amino acids. It accepts as substrates all neutral amino acids, including glutamine, asparagine, and branched-chain and aromatic amino acids, and excludes methylated, anionic, and cationic amino acids. May also be activated by insulin. Through binding of the fusogenic protein syncytin-1/ERVW-1 may mediate trophoblasts syncytialization, the spontaneous fusion of their plasma membranes, an essential process in placental development (PubMed:10708449, PubMed:23492904). Acts as a cell surface receptor for feline endogenous virus RD114, baboon M7 endogenous virus and type D simian retroviruses (PubMed:10051606, PubMed:10196349).
|
||
Summary |
Sodium-dependent amino acids transporter that has a broad substrate specificity, with a preference for zwitterionic amino acids. It accepts as substrates all neutral amino acids, including glutamine, asparagine, and branched-chain and aromatic amino acids, and excludes methylated, anionic, and cationic amino acids. May also be activated by insulin. Through binding of the fusogenic protein syncytin-1/ERVW-1 may mediate trophoblasts syncytialization, the spontaneous fusion of their plasma membranes, an essential process in placental development (PubMed:10708449, PubMed:23492904). Acts as a cell surface receptor for feline endogenous virus RD114, baboon M7 endogenous virus and type D simian retroviruses (PubMed:10051606, PubMed:10196349).
|
||
Form |
Liquid |
||
Storage & Stability |
Store at +4°C short term. For long-term storage, aliquot and store at -20°C or below. Stable for 12 months at -20°C. Avoid repeated freeze-thaw cycles.
|
||
Applications |
IHC-P
|
||
Dilution |
IHC-P (15-20 μg/ml)
|
||
Synonyms |
Neutral amino acid transporter B(0), ATB(0), Baboon M7 virus receptor, RD114/simian type D retrovirus receptor, Sodium-dependent neutral amino acid transporter type 2, Solute carrier family 1 member 5, SLC1A5, ASCT2, M7V1, RDR, RDRC
|
||
Images |
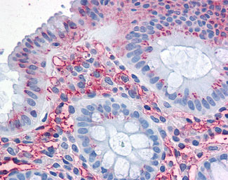
Anti-SLC1A5 antibody APR10003G IHC of human colon. |
||
Specification |
|||
Quantity |
|
||
| Select | Brand | Catalog No. | Product Name | Pack Size | Type | Field of Research | Specification | Quantity | Price(USD) | |
| 1 | Leading Biology | APR03440G | ITGA11 Antibody (N-term) | 100 μl | Polyclonal Antibodies |
|
$495.00 | Add Ask | ||
| 2 | Leading Biology | APR04537G | CMIP Antibody (C-term) | 100 μl | Polyclonal Antibodies |
|
$495.00 | Add Ask | ||
| 3 | Leading Biology | APR12422G | Human H4 Histamine Receptor (extracellular) Antibody | 50 μl | Polyclonal Antibodies |
|
$695.00 | Add Ask | ||
| 4 | Leading Biology | APR03844G | UBE2W Antibody (C-term) | 100 μl | Polyclonal Antibodies |
|
$495.00 | Add Ask | ||
| 5 | Leading Biology | APR04349G | HECTD2 Antibody (N-term) | 100 μl | Polyclonal Antibodies |
|
$495.00 | Add Ask | ||
| 6 | Leading Biology | APR03502G | IGHG1 Antibody (Center) | 100 μl | Polyclonal Antibodies |
|
$495.00 | Add Ask |
Leading Biology Inc.
2600 Hilltop DR, Building G, B Suite C138
Richmond, CA, 94806
Tel: 1-661-524(LBI)-0262
Email: info@leadingbiology.com
Complete this form and click send to ask us a question, request a quote or simply say hello.

You have 0 item in your cart

You have 0 item in your inquiry list