> Antigen, Antibodies, ELISA, Western Blot > Primary Antibody > Polyclonal Antibodies > SLC7A5 / CD98 Light Chain Antibody (Internal)Brand |
Leading Biology | Catalog Number |
APR10146G |
Product Type |
Polyclonal Antibodies | Field of Research |
|
Product Overview |
We constantly strive to ensure we provide our customers with the best antibodies. As a result of this work we offer this antibody in purified format.
We are in the process of updating our datasheets. If you have any questions regarding this update, please feel free to contact our technical support team.
This product is a high quality SLC7A5 / CD98 Light Chain antibody (Internal).
|
||
Molecular Weight |
55kDa
|
||
Cellular Localization |
Antigen Cellular Localization:
Cytoplasm, cytosol. Apical cell membrane; Multi-pass membrane protein. Note=Located to the plasma membrane by SLC3A2/4F2hc. Localized to the apical membrane of placental syncytiophoblastic cells. Expressed in both luminal and abluminal membranes of brain capillary endothelial cells (By similarity)
|
||
Host |
Rabbit
|
||
Species Reactivity |
Human, Monkey, Dog
|
||
Target |
Human SLC7A5. BLAST analysis of the peptide immunogen showed no homology with other human proteins.
|
||
Symbol |
CD98LC, LAT1, MPE16
|
||
GeneID |
|||
UniProt ID |
|||
Function |
Sodium-independent, high-affinity transport of large neutral amino acids such as phenylalanine, tyrosine, leucine, arginine and tryptophan, when associated with SLC3A2/4F2hc. Involved in cellular amino acid uptake. Acts as an amino acid exchanger. Involved in the transport of L-DOPA across the blood- brain barrier, and that of thyroid hormones triiodothyronine (T3) and thyroxine (T4) across the cell membrane in tissues such as placenta. Plays a role in neuronal cell proliferation (neurogenesis) in brain. Involved in the uptake of methylmercury (MeHg) when administered as the L-cysteine or D,L-homocysteine complexes, and hence plays a role in metal ion homeostasis and toxicity. Involved in the cellular activity of small molecular weight nitrosothiols, via the stereoselective transport of L- nitrosocysteine (L-CNSO) across the transmembrane. May play an important role in high-grade gliomas. Mediates blood-to-retina L- leucine transport across the inner blood-retinal barrier which in turn may play a key role in maintaining large neutral amino acids as well as neurotransmitters in the neural retina. Acts as the major transporter of tyrosine in fibroblasts.
|
||
Summary |
Sodium-independent, high-affinity transport of large neutral amino acids such as phenylalanine, tyrosine, leucine, arginine and tryptophan, when associated with SLC3A2/4F2hc. Involved in cellular amino acid uptake. Acts as an amino acid exchanger. Involved in the transport of L-DOPA across the blood- brain barrier, and that of thyroid hormones triiodothyronine (T3) and thyroxine (T4) across the cell membrane in tissues such as placenta. Plays a role in neuronal cell proliferation (neurogenesis) in brain. Involved in the uptake of methylmercury (MeHg) when administered as the L-cysteine or D,L-homocysteine complexes, and hence plays a role in metal ion homeostasis and toxicity. Involved in the cellular activity of small molecular weight nitrosothiols, via the stereoselective transport of L- nitrosocysteine (L-CNSO) across the transmembrane. May play an important role in high-grade gliomas. Mediates blood-to-retina L- leucine transport across the inner blood-retinal barrier which in turn may play a key role in maintaining large neutral amino acids as well as neurotransmitters in the neural retina. Acts as the major transporter of tyrosine in fibroblasts.
|
||
Form |
Liquid |
||
Storage & Stability |
Store at +4°C short term. For long-term storage, aliquot and store at -20°C or below. Stable for 12 months at -20°C. Avoid repeated freeze-thaw cycles.
|
||
Applications |
IHC-P
|
||
Dilution |
IHC-P (7 μg/ml)
|
||
Synonyms |
Large neutral amino acids transporter small subunit 1, 4F2 light chain, 4F2 LC, 4F2LC, CD98 light chain, Integral membrane protein E16, L-type amino acid transporter 1, hLAT1, Solute carrier family 7 member 5, y+ system cationic amino acid transporter, SLC7A5, CD98LC, LAT1, MPE16
|
||
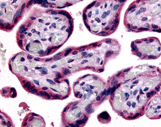
Images |
Anti-SLC7A5 antibody APR10146G IHC of human placenta, terminal villi. |
||
Specification |
|||
Quantity |
|
||
| Select | Brand | Catalog No. | Product Name | Pack Size | Type | Field of Research | Specification | Quantity | Price(USD) | |
| 1 | Leading Biology | APR03440G | ITGA11 Antibody (N-term) | 100 μl | Polyclonal Antibodies |
|
$495.00 | Add Ask | ||
| 2 | Leading Biology | APR04537G | CMIP Antibody (C-term) | 100 μl | Polyclonal Antibodies |
|
$495.00 | Add Ask | ||
| 3 | Leading Biology | APR12422G | Human H4 Histamine Receptor (extracellular) Antibody | 50 μl | Polyclonal Antibodies |
|
$695.00 | Add Ask | ||
| 4 | Leading Biology | APR03844G | UBE2W Antibody (C-term) | 100 μl | Polyclonal Antibodies |
|
$495.00 | Add Ask | ||
| 5 | Leading Biology | APR04349G | HECTD2 Antibody (N-term) | 100 μl | Polyclonal Antibodies |
|
$495.00 | Add Ask | ||
| 6 | Leading Biology | APR03502G | IGHG1 Antibody (Center) | 100 μl | Polyclonal Antibodies |
|
$495.00 | Add Ask |
Leading Biology Inc.
2600 Hilltop DR, Building G, B Suite C138
Richmond, CA, 94806
Tel: 1-661-524(LBI)-0262
Email: info@leadingbiology.com
Complete this form and click send to ask us a question, request a quote or simply say hello.

You have 0 item in your cart

You have 0 item in your inquiry list