> Antigen, Antibodies, ELISA, Western Blot > Primary Antibody > Polyclonal Antibodies > GPR3 Antibody (Extracellular Domain)Brand |
Leading Biology | Catalog Number |
APR16546G |
Product Type |
Polyclonal Antibodies | Field of Research |
|
Product Overview |
We constantly strive to ensure we provide our customers with the best antibodies. As a result of this work we offer this antibody in purified format.
We are in the process of updating our datasheets. If you have any questions regarding this update, please feel free to contact our technical support team.
This product is a high quality GPR3 antibody (Extracellular Domain).
|
||
Molecular Weight |
35kDa
|
||
Cellular Localization |
Antigen Cellular Localization:
Cell membrane; Multi-pass membrane protein.
|
||
Host |
Rabbit
|
||
Species Reactivity |
Human, Rabbit, Monkey, Bovine
|
||
Target |
Human GPR3. BLAST analysis of the peptide immunogen showed no homology with other human proteins, except TKT (44%).
|
||
Symbol |
ACCA
|
||
GeneID |
|||
UniProt ID |
|||
Function |
Orphan receptor with constitutive G(s) signaling activity that activate cyclic AMP. Has a potential role in modulating a number of brain functions, including behavioral responses to stress (By similarity), amyloid-beta peptide generation in neurons and neurite outgrowth (By similarity). Maintains also meiotic arrest in oocytes (By similarity).
|
||
Summary |
Orphan receptor with constitutive G(s) signaling activity that activate cyclic AMP. Has a potential role in modulating a number of brain functions, including behavioral responses to stress (By similarity), amyloid-beta peptide generation in neurons and neurite outgrowth (By similarity). Maintains also meiotic arrest in oocytes (By similarity).
|
||
Form |
Liquid |
||
Storage & Stability |
Store at +4°C short term. For long-term storage, aliquot and store at -20°C or below. Stable for 12 months at -20°C. Avoid repeated freeze-thaw cycles.
|
||
Applications |
IHC-P, E
|
||
Dilution |
IHC-P (40 μg/ml)
|
||
Synonyms |
G-protein coupled receptor 3, ACCA orphan receptor, GPR3, ACCA
|
||
Images |
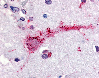
Anti-GPR3 antibody APR16546G IHC of human brain. |
||
Specification |
|||
Quantity |
|
||
| Select | Brand | Catalog No. | Product Name | Pack Size | Type | Field of Research | Specification | Quantity | Price(USD) | |
| 1 | Leading Biology | APR03440G | ITGA11 Antibody (N-term) | 100 μl | Polyclonal Antibodies |
|
$495.00 | Add Ask | ||
| 2 | Leading Biology | APR04537G | CMIP Antibody (C-term) | 100 μl | Polyclonal Antibodies |
|
$495.00 | Add Ask | ||
| 3 | Leading Biology | APR12422G | Human H4 Histamine Receptor (extracellular) Antibody | 50 μl | Polyclonal Antibodies |
|
$695.00 | Add Ask | ||
| 4 | Leading Biology | APR03844G | UBE2W Antibody (C-term) | 100 μl | Polyclonal Antibodies |
|
$495.00 | Add Ask | ||
| 5 | Leading Biology | APR04349G | HECTD2 Antibody (N-term) | 100 μl | Polyclonal Antibodies |
|
$495.00 | Add Ask | ||
| 6 | Leading Biology | APR03502G | IGHG1 Antibody (Center) | 100 μl | Polyclonal Antibodies |
|
$495.00 | Add Ask |
Leading Biology Inc.
2600 Hilltop DR, Building G, B Suite C138
Richmond, CA, 94806
Tel: 1-661-524(LBI)-0262
Email: info@leadingbiology.com
Complete this form and click send to ask us a question, request a quote or simply say hello.

You have 0 item in your cart

You have 0 item in your inquiry list