> Antigen, Antibodies, ELISA, Western Blot > Primary Antibody > Polyclonal Antibodies > APLNR/ Apelin Receptor / APJ Antibody (Cytoplasmic Domain)Brand |
Leading Biology | Catalog Number |
APG01929G |
Product Type |
Polyclonal Antibodies | Field of Research |
|
Product Overview |
We constantly strive to ensure we provide our customers with the best antibodies. As a result of this work we offer this antibody in purified format.
We are in the process of updating our datasheets. If you have any questions regarding this update, please feel free to contact our technical support team.
This product is a high quality APLNR/ Apelin Receptor / APJ antibody (Cytoplasmic Domain).
|
||
Molecular Weight |
43kDa
|
||
Cellular Localization |
Antigen Cellular Localization:
Cell membrane; Multi-pass membrane protein.
|
||
Host |
Rabbit
|
||
Species Reactivity |
Human
|
||
Target |
Human Apelin Receptor. BLAST analysis of the peptide immunogen showed no homology with other human proteins.
|
||
Symbol |
AGTRL1, APJ
|
||
GeneID |
|||
UniProt ID |
|||
Function |
Receptor for apelin coupled to G proteins that inhibit adenylate cyclase activity and plays a role in various processes in adults such as regulation of blood pressure, heart contractility, and heart failure. Also plays a key role in early development such as gastrulation and heart morphogenesis by acting as a receptor for APELA hormone. Alternative coreceptor with CD4 for HIV-1 infection; may be involved in the development of AIDS dementia.
|
||
Summary |
Receptor for apelin coupled to G proteins that inhibit adenylate cyclase activity and plays a role in various processes in adults such as regulation of blood pressure, heart contractility, and heart failure. Also plays a key role in early development such as gastrulation and heart morphogenesis by acting as a receptor for APELA hormone. Alternative coreceptor with CD4 for HIV-1 infection; may be involved in the development of AIDS dementia.
|
||
Form |
Liquid |
||
Storage & Stability |
Store at +4°C short term. For long-term storage, aliquot and store at -20°C or below. Stable for 12 months at -20°C. Avoid repeated freeze-thaw cycles.
|
||
Applications |
IHC-P
|
||
Dilution |
IHC-P (20 μg/ml)
|
||
Synonyms |
Apelin receptor, Angiotensin receptor-like 1, G-protein coupled receptor APJ, G-protein coupled receptor HG11, APLNR, AGTRL1, APJ
|
||
Images |
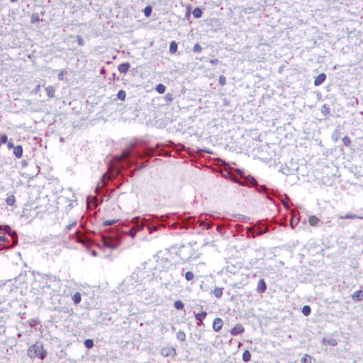
Human Prostate: Formalin-Fixed, Paraffin-Embedded (FFPE)
Anti-APLNR/ Apelin Receptor / APJ antibody IHC of human brain vessel. |
||
Specification |
|||
Quantity |
|
||
| Select | Brand | Catalog No. | Product Name | Pack Size | Type | Field of Research | Specification | Quantity | Price(USD) | |
| 1 | Leading Biology | APR03440G | ITGA11 Antibody (N-term) | 100 μl | Polyclonal Antibodies |
|
$495.00 | Add Ask | ||
| 2 | Leading Biology | APR04537G | CMIP Antibody (C-term) | 100 μl | Polyclonal Antibodies |
|
$495.00 | Add Ask | ||
| 3 | Leading Biology | APR12422G | Human H4 Histamine Receptor (extracellular) Antibody | 50 μl | Polyclonal Antibodies |
|
$695.00 | Add Ask | ||
| 4 | Leading Biology | APR03844G | UBE2W Antibody (C-term) | 100 μl | Polyclonal Antibodies |
|
$495.00 | Add Ask | ||
| 5 | Leading Biology | APR04349G | HECTD2 Antibody (N-term) | 100 μl | Polyclonal Antibodies |
|
$495.00 | Add Ask | ||
| 6 | Leading Biology | APR03502G | IGHG1 Antibody (Center) | 100 μl | Polyclonal Antibodies |
|
$495.00 | Add Ask |
Leading Biology Inc.
2600 Hilltop DR, Building G, B Suite C138
Richmond, CA, 94806
Tel: 1-661-524(LBI)-0262
Email: info@leadingbiology.com
Complete this form and click send to ask us a question, request a quote or simply say hello.

You have 0 item in your cart

You have 0 item in your inquiry list