> Antigen, Antibodies, ELISA, Western Blot > Primary Antibody > Polyclonal Antibodies > Goat Anti-MID2 / TRIM1 AntibodyBrand |
Leading Biology | Catalog Number |
APR12150G |
Product Type |
Polyclonal Antibodies | Field of Research |
|
Product Overview |
We constantly strive to ensure we provide our customers with the best antibodies. As a result of this work we offer this antibody in purified format.
We are in the process of updating our datasheets. If you have any questions regarding this update, please feel free to contact our technical support team.
This product is a high quality Goat Anti-MID2 / TRIM1 antibody.
|
||
Molecular Weight |
83210 Da
|
||
Cellular Localization |
Antigen Cellular Localization:
Cytoplasm. Cytoplasm, cytoskeleton. Note=Microtubule-associated
|
||
Host |
Goat
|
||
Species Reactivity |
Human, Mouse
|
||
Isotype |
IgG
|
||
Symbol |
FXY2, RNF60, TRIM1
|
||
GeneID |
|||
UniProt ID |
|||
Function |
May play a role in microtubule stabilization.
|
||
Summary |
The protein encoded by this gene is a member of the tripartite motif (TRIM) family. The TRIM motif includes three zinc-binding domains, a RING, a B-box type 1 and a B-box type 2, and a coiled-coil region. The protein localizes to microtubular structures in the cytoplasm. Alternate splicing of this gene results in two transcript variants encoding different isoforms.
|
||
Form |
0.5 mg IgG/ml in Tris saline (20mM Tris pH7.3, 150mM NaCl), 0.02% sodium azide, with 0.5% bovine serum albumin |
||
Storage & Stability |
Store at +4°C short term. For long-term storage, aliquot and store at -20°C or below. Stable for 12 months at -20°C. Avoid repeated freeze-thaw cycles.
|
||
Applications |
WB, IHC, E
|
||
Synonyms |
Probable E3 ubiquitin-protein ligase MID2, 6.3.2.-, Midin-2, Midline defect 2, Midline-2, RING finger protein 60, Tripartite motif-containing protein 1, MID2, FXY2, RNF60, TRIM1
|
||
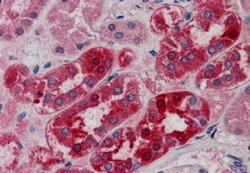
Images |
APR12150G (1 μg/ml) staining of mouse heart lysate (RIPA buffer, 35 μg total protein per lane). Primary incubated for 1 hour. Detected by western blot using chemiluminescence.
APR12150G (5 μg/ml) staining of paraffin embedded Human Kidney. Steamed antigen retrieval with citrate buffer pH 6, AP-staining. |
||
Specification |
|||
Quantity |
|
||
| Select | Brand | Catalog No. | Product Name | Pack Size | Type | Field of Research | Specification | Quantity | Price(USD) | |
| 1 | Leading Biology | APR03440G | ITGA11 Antibody (N-term) | 100 μl | Polyclonal Antibodies |
|
$495.00 | Add Ask | ||
| 2 | Leading Biology | APR04537G | CMIP Antibody (C-term) | 100 μl | Polyclonal Antibodies |
|
$495.00 | Add Ask | ||
| 3 | Leading Biology | APR12422G | Human H4 Histamine Receptor (extracellular) Antibody | 50 μl | Polyclonal Antibodies |
|
$695.00 | Add Ask | ||
| 4 | Leading Biology | APR03844G | UBE2W Antibody (C-term) | 100 μl | Polyclonal Antibodies |
|
$495.00 | Add Ask | ||
| 5 | Leading Biology | APR04349G | HECTD2 Antibody (N-term) | 100 μl | Polyclonal Antibodies |
|
$495.00 | Add Ask | ||
| 6 | Leading Biology | APR03502G | IGHG1 Antibody (Center) | 100 μl | Polyclonal Antibodies |
|
$495.00 | Add Ask |
Leading Biology Inc.
2600 Hilltop DR, Building G, B Suite C138
Richmond, CA, 94806
Tel: 1-661-524(LBI)-0262
Email: info@leadingbiology.com
Complete this form and click send to ask us a question, request a quote or simply say hello.

You have 0 item in your cart

You have 0 item in your inquiry list