> Antigen, Antibodies, ELISA, Western Blot > Primary Antibody > Monoclonal Antibodies > FOXA2 AntibodyBrand |
Leading Biology | Catalog Number |
APR11092G |
Product Type |
Monoclonal Antibodies | Field of Research |
|
Product Overview |
We constantly strive to ensure we provide our customers with the best antibodies. As a result of this work we offer this antibody in purified format.
We are in the process of updating our datasheets. If you have any questions regarding this update, please feel free to contact our technical support team.
This product is a high quality FOXA2 antibody.
|
||
Molecular Weight |
48kDa
|
||
Cellular Localization |
Antigen Cellular Localization:
Nucleus {ECO:0000255|PROSITE- ProRule:PRU00089, ECO:0000269|PubMed:14500912}. Cytoplasm. Note=Shuttles between the nucleus and cytoplasm in a CRM1-dependent manner; in response to insulin signaling via AKT1 is exported from the nucleus
|
||
Host |
Mouse
|
||
Species Reactivity |
Human
|
||
Clone |
7H4B7
|
||
Isotype |
IgG1
|
||
Symbol |
HNF3B, TCF3B
|
||
GeneID |
|||
UniProt ID |
|||
Function |
Transcription factor that is involved in embryonic development, establishment of tissue-specific gene expression and regulation of gene expression in differentiated tissues. Is thought to act as a 'pioneer' factor opening the compacted chromatin for other proteins through interactions with nucleosomal core histones and thereby replacing linker histones at target enhancer and/or promoter sites. Binds DNA with the consensus sequence 5'-[AC]A[AT]T[AG]TT[GT][AG][CT]T[CT]-3' (By similarity). In embryonic development is required for notochord formation. Involved in the development of multiple endoderm-derived organ systems such as the liver, pancreas and lungs; FOXA1 and FOXA2 seem to have at least in part redundant roles. Originally described as a transcription activator for a number of liver genes such as AFP, albumin, tyrosine aminotransferase, PEPCK, etc. Interacts with the cis-acting regulatory regions of these genes. Involved in glucose homeostasis; regulates the expression of genes important for glucose sensing in pancreatic beta-cells and glucose homeostasis. Involved in regulation of fat metabolism. Binds to fibrinogen beta promoter and is involved in IL6-induced fibrinogen beta transcriptional activation.
|
||
Form |
Liquid. In PBS containing 0.02% sodium azide. |
||
Storage & Stability |
Store at +4°C short term. For long-term storage, aliquot and store at -20°C or below. Stable for 12 months at -20°C. Avoid repeated freeze-thaw cycles.
|
||
Applications |
WB, IHC, E
|
||
Dilution |
WB~~1/500 - 1/2000
IHC~~1/200 - 1/1000
FC~~1:200~~400
ICC~~1:200~~1000
IF~~1:200~1000.
|
||
Synonyms |
Hepatocyte nuclear factor 3-beta, HNF-3-beta, HNF-3B, Forkhead box protein A2, Transcription factor 3B, TCF-3B, FOXA2, HNF3B, TCF3B
|
||
Images |
Figure 1: Western blot analysis using FOXA2 mouse mAb against A549 (1) cell lysate.
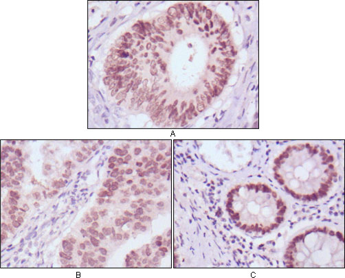
Figure 2: Immunohistochemical analysis of paraffin-embedded human colon cancer (A), gastric cancer (B) and rectal cancer (C) tissues using FOXA2 mouse mAb with DAB staining.
Figure 4: Flow cytometric analysis of Hela cells using DAXX mouse mAb (green) and negative control (purple). |
||
Specification |
|||
Quantity |
|
||
| Select | Brand | Catalog No. | Product Name | Pack Size | Type | Field of Research | Specification | Quantity | Price(USD) | |
| 1 | Leading Biology | APG02467G | CCK4 / PTK7 Antibody (clone 4F9) | 50 μl | Monoclonal Antibodies |
|
$495.00 | Add Ask | ||
| 2 | Leading Biology | AMM04683G | GALT Antibody (clone 4C11) | 50 μg | Monoclonal Antibodies |
|
$545.00 | Add Ask | ||
| 3 | Leading Biology | AMM01402G | Vimentin (Mesenchymal Cell Marker) Antibody - With BSA and Azide | 50 ug | Monoclonal Antibodies |
|
$395.00 | Add Ask | ||
| 4 | Leading Biology | APR08280G | LTA4H / LTA4 Antibody (clone 9G8) | 50 μl | Monoclonal Antibodies |
|
$495.00 | Add Ask | ||
| 5 | Leading Biology | AMM00172G | CD1a / HTA1 (Mature Langerhans Cells Marker) Antibody - With BSA and Azide | 50 ug | Monoclonal Antibodies |
|
$395.00 | Add Ask | ||
| 6 | Leading Biology | AMM05750G | CEBPA Antibody | 100 μl | Monoclonal Antibodies |
|
$545.00 | Add Ask |
Leading Biology Inc.
2600 Hilltop DR, Building G, B Suite C138
Richmond, CA, 94806
Tel: 1-661-524(LBI)-0262
Email: info@leadingbiology.com
Complete this form and click send to ask us a question, request a quote or simply say hello.

You have 0 item in your cart

You have 0 item in your inquiry list